搜索到 131 条记录

Tunel细胞凋亡检测
Tunel细胞凋亡检测实验步骤 1. 依次将切片放入二甲苯Ⅰ20min-二甲苯Ⅱ20min-无水乙醇Ⅰ10min-无水乙醇Ⅱ10min-95%酒精5min-90%酒精5min-80%酒精5min-70%酒精5min-蒸馏水洗。 2. 切片稍甩干后用组化笔在组织周围画圈(防止液体流
服务名称:Tunel细胞凋亡检测提供商:武汉恒意赛生物科技有限公司
询价

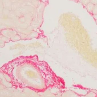
VonKossa染色实验服务
提供商: 上海研谨生物 服务名称: VonKossa染色实验服务 规格: 样本 价格: 60元 说明: 含包埋切片、拍照 实验周期:3周 VonKossa染色实验服务 VonKossa染色实验原理: 钙盐变化是骨细胞增殖分化和骨组织成骨潜能的标志之一。通过嗜银染色,钙离子受到强光
地区:全国服务名称:VonKossa染色代做服务
¥60

病理染色 免疫组织化
技术服务项目 我公司引进全套进口免疫组化设备,权威的病理学教授和化学专家为您提供专业的技术服务及漂亮的检测结果。 北京博胜经纬科技有限公司是一家专门从事抗体试剂研发、生产,销售,技术服务的综合型高新技术企业。为了满 足生命科学及医学领域科研工作及科研单位学者对免疫组织化学实验的需
服务名称:病理染色简介:病理染色 免疫组织化
询价

HE染色-伊红染色法
伊红染色法 ( hematoxylin-eosin staining ) ,简称HE染色法 ,石蜡切片技术里常用的染色法之一 。苏木jin染液为碱性 ,主要使细胞核内的染色质与胞质内的核酸着紫蓝色 ;伊红为酸性染料 ,主要使细胞质和细胞外基质中的成分着红色 。HE染色法是组织学、
地区:全国服务名称:HE染色-伊红染色法
¥10

专业动物药理毒理实验 各类动物模型建立实验
。工作人员均具有正规的从业上岗资格证书,理论知识扎实,技能熟练,经验丰富。 2 技术强项简介 a 精神、神经药物研究实验 ※抗抑郁、抗焦虑、学习记忆等方面的药物开发、药效和药理评价; b 抗肿瘤动物模型建立 ※抗鼠源肿瘤:Walker256、 EL4 、H22、Hepa1-6、B1
地区:北京服务名称:动物实验

扫描电镜
原理: 扫描电镜(SEM)利用电子和物质的相互作用,可以获取被测样品本身的各种物理、化学性质的信息,如形貌、组成、晶体结构、电子结构和内部电场或磁场等等。扫描电子显微镜对二次电子、背散射电子的采集,可直接利用样品表面材料的物质性能进行微观成像,可得到有关物质微观形貌的信息。扫描电
地区:武汉服务名称:武汉傲星生物科技有限公司
¥1000

全视野数字病理切片扫描(技术服务)
更加高效清晰精准的全视野数字切片扫描 2016年北京博奥森生物公司引进了全球三大数字病理厂商之一——匈牙利3DHISTECH公司的Pannoramic SCAN数字切片扫描仪,可分别做明场和荧光成像,单次玻片装载量150张,连续不停扫描,自动精准识别组织区域并自动聚焦,可进行完美的
地区:全国服务名称:全视野数字切片扫描技术服务

切片染色/HE/番红固绿/masson等
固绿(植物)染色 1-2周 20 21 24 T4103 番红固绿(软骨)染色 1-2周 30 32 35 T4104 masson染色 1-2周 20 21 24 T4105 天狼猩红染色 1-2周 20 21 24 T4106 PAS糖原染色 1-2周 20 21 24 T41
地区:上海服务名称:切片染色
¥15

病理实验服务
上海科敏生物科技有限公司病理实验服务指南 一、服务项目 1、病理切片的制作(HE,特殊染色,免疫组化白片); 2、免疫组化染色; 3、病理切片的读片服务; 4、三甲医院高级病理医师出具的病理分析报告(如有要求)。 二、服务优势 1、拥有专业的科研团队并配备专业的实验设备,这是确保
地区:上海服务名称:病理切片服务
¥100-9999

组织包埋与切片
服务介绍 组织包埋与切片 1.石蜡包埋及切片: 石蜡切片(paraffin section)的基本原理是用固定剂石蜡固定组织、细胞以及各种亚细胞器,保持组织微细结构,制成薄片,并用不同的染色方法增加各部分色差,在显微镜下观察组织、细胞的形态结构,或利用化学或物理方法显示组织、细胞
提供商:攸碧艾(上海)贸易有限公司
询价

多酚氧化酶同工酶的提取与分离试剂盒
多酚氧化酶同工酶的提取与分离试剂盒 产品详情: 在本试剂盒中,聚丙烯酰胺凝胶由丙烯酰胺(简称Acr)单体和少量交联剂甲叉双丙烯酰胺(简称Bis)通过化学催化剂(过硫酸铵),四甲基乙二胺(TEMED)作为加速剂形成的三维空间的高聚物。蛋白可通过聚丙烯酰胺凝胶电泳得到分离。本试剂盒具

甲苯.胺蓝染色实验服务
染色。 甲苯.胺蓝染色实验意义: 此类染色法可用于尖锐湿疣的初筛及肥大细胞的检测,例如色素性寻麻疹。能够清楚地显示软骨 形态潮线等结构,观察软骨组织是否有损伤。 实验步骤:甲苯.胺蓝染色简介: 这类染料一般含有两个发色团,一个是胺基,一个是醌型苯环,来构成色原显色。染料除有发色团
地区:浙江省服务名称:甲苯.胺蓝染色实验服务

研卉生物病理形态学检测技术服务
液氮保存; 2)石蜡切片:取下适当的组织块放于4%多ju甲醛保存; 3)细胞爬片:细胞爬片4%多ju甲醛固定30min,换PBS浸没4℃保存。 病理学检测技术服务 病理学是研究疾病发生发展中集体的形态,机能和代谢等方面的变化及其规律的科学,为诊断和防治疾病提供必要的理论基础。可进行
地区:全国服务名称:研卉生物病理形态学检测技术服务

特殊包埋
猫 部分显露肌梭包埋为例 固定 将取出的肌肉置于含 5% 戊er醛的 0.1mol/l 二甲SHEN酸Na缓冲液内,PH 值为 7.2, 原位固定 5 min(戊er醛常由 25% 溶液 稀释而成。因其易聚合,所以使用之前应保存于 4℃ 以下)。 将肌纤维切成 10 mm 长,以
地区:浙江省服务名称:特殊包埋

天狼猩红染色(实验代测)
,接着放入无水乙醇中脱水1分钟,然后放入二甲苯中脱水3次,每次1-2分钟,最后使用中性树胶封固。 实验流程: 脱蜡至水-天狼猩红染色-酒精脱水-封片。 结果判读: 在普通光学显微镜下胶原纤维呈红色,其他组织成分被染成黄色。 送样运输要求: 1.样本放置于20倍样本体积的固定液中固定
文献支持服务名称:天狼猩红染色(实验代测)提供商:上海信帆生物

EVG染色实验
EVG染色实验服务 产品介绍: 弹力纤维Verhoeff’s Van Gieson (EVG)染色,弹性纤维广泛分布与身体各处,特别在动脉壁、肺泡壁和皮肤中最为丰富。观察组织内弹性纤维是否有增生或断裂崩解等。组织被含有三氯化铁和碘的苏木精染色再用过量的媒染剂三氯化铁中断组织与染料
地区:上海 服务名称:EVG染色实验服务

病理图像分析系统 AP-TIME 软件功能
病理图像分析系统 AP-TIME 软件功能配置介绍 标准版 AP-TIME 的功能配置包括 1、4 项 AI 模块: ①明场 IHC 图像细胞自动识别; ②荧光图像细胞自动识别; ③肿瘤与间质的自动化区域分割; ④三级淋巴结构 TLS 自动化识别)。 2、7 大功能模块分析: ①
服务名称:病理图像提供商:古朵生物
询价

MicroCT扫描检测服务
MicroCT扫描检测服务 MicroCT又称微型CT或显微CT,是一种新型的采用X线成像原理进行超高分辨率三维成像技术,可以在不破坏样品的情况下,对骨骼、牙和各种生物材料进行超高分辨率X线成像,获得高精度三维图像,并进行结构、密度和力学的定量分析,是研究硬组织材料的强大工具。
文献支持地区:全国服务名称:骨组织MicroCT检测

吉姆萨染色(瑞氏吉姆染色)
吉姆萨染液由天青,伊红组成。染色原理和结果与瑞特染色法基本相同。嗜酸性颗粒为碱性蛋白质,与酸性染料伊红结合,染粉红色,称为嗜酸性物质;细胞核蛋白和淋巴细胞胞浆为酸性,与碱性染料美蓝或天青结合,染紫蓝色,称为嗜碱性物质;中性颗粒呈等电状态与伊红和美蓝均可结合,染淡紫色,称为中性物质。
¥20

类器官药敏检测
1. 利用患者肿瘤组织在体外培养成胰腺癌或卵巢癌类器官,对其进行抗肿瘤药物敏感性测试,并出具药敏检测科研报告。2. 通过病理检测和基因测序进行鉴定,确保所培养的类器官具有与原始组织的高度一致性。
询价












