搜索到 118 条记录

各类肿瘤组织石蜡切片
剂标记的特异性抗体在组织细胞原位通过抗原抗体反应和组织化学的呈色反应。 各类肿瘤组织石蜡切片 拥有胃.肠.食管、肝.肺.肾、胰腺、骨肉瘤等多种肿瘤组织石蜡蜡块及切片,病理信息完整。
品牌:安恺货号:COY0006
¥50-100

磷钨酸苏木素染色
一、技术简介 磷钨酸苏木素是对神经系统组织的一种好的常规染色。主要用来展示细胞核、纤维素、横纹肌纤维、肌胶质、胶原、骨基质及神经胶原和细胞质等结构。苏木素,它在被氧化后生成苏木精,同媒染剂(常用的是三价的铁或铝的盐)一起使用,能够使细胞核染色。 在染色时通常需要媒染剂比如,铁,明
地区:全国服务名称:磷钨酸苏木素染色

检测服务丨细胞HE染色实验
细胞HE染色实验 HE染色,全称为苏木-伊红染色法(hematoxylin-eosin staining),运用组织成分酸碱特性与染料选择性的差异,实现了对组织细胞多样成分的精确区分与形态结构的鲜明展示。此方法广泛应用于病理学领域,用于观察病变组织的特点和变化,包括但不限于细胞形态
地区:天津服务名称:细胞HE染色实验

扫描电镜SEM检测
专业快速提供各种测试:SEM、TEM、BET、XPS、固体核磁,吡啶红外,XRD、EA、RAMAN、ICP、GPC、AFM、TPDTG、DSC、等等
文献支持地区:上海服务名称:技术服务-材料检测

软组织与骨切片染色和免疫组化
一、技术简介 拥有组织病理学多种常规染色和特殊染色以及免疫组化专有技术。 二、服务项目明细表 项目编号 服务项目 技术规格 AR301 HE染色 HE染色,显示细胞及组织结构 AR302 甲苯-胺蓝染色 用于生长板软骨分析、成骨细胞计数及骨形态分析 AR303 masson三色法
地区:北京服务名称:软组织与骨切片染色和免疫组化

RNA荧光原位杂交(RNA-FISH)
荧光原位杂交(fluorescence in situ hybridization,FISH)是以荧光标记取代同位素标记而形成的一种新的原位杂交方法,具有安全、快速、灵敏度高、探针保存时间长、能同时显示多种颜色等优点。 RNA-FISH原理:如果待检测的细胞或组织切片上的靶核酸与
地区:不限服务名称:RNA荧光原位杂交(RNA-FISH)

组织病理切片(HE染色法)
组织病理切片HE染色法是病理学分析的“金标准”技术。其核心优势在于提供极其直观的形态学证据:将细胞核染成蓝紫色,伊红将细胞质染成粉红色,从而清晰呈现组织与细胞的精细结构。 该方法能直接显示病毒感染或治疗过程中发生的关键病理变化,如炎症细胞浸润、组织损伤坏死、肺泡结构破坏等。这些肉眼
地区:浙江杭州服务名称:细胞因子检测
¥150

标本处理预咨询
长期的研发、推广活动中,我们感到有些病理技术专业以外人士,对处理标本环节注意不够,结果,造成标本的不当处理,固定前、固定中、固定后都有问题出现,饲养的动物模型坏死等异常改变,浪费时间精力,浪费资金。我们可以为您提供预先咨询服务,很好的注意解决这些问题。 严谨的态度,精湛的技术,热

原位杂交技术服务
◆ 概述 原位杂交组织(或细胞)化学 (In situ Hybridization Histochemistry, ISHH) 简称原位杂交(In Situ Hybridization),属于固相分子杂交的范畴,它是用标记的DNA或RNA为探针,在原位检测组织细胞内特定核酸序列的
地区:全国服务名称:原位杂交技术服务

病理切片扫描服务
病理切片扫描是将切片在切片扫描仪的显微镜头下快速移动进行扫描成像并通过控制软件系统无缝拼接生成一整张全视野的数字化切片,该文件包含了组织切片上所有的组织信息。本公司提供针对各种染色,免疫组化,免疫荧光,组织芯片,原位杂交等所有切片数字切片扫描服务。 病理切片扫描的影像系统可以将传
地区:/服务名称:/
询价

石蜡包埋切片
产品简介: 石蜡切片(paraffin section)组织学常规制片技术中最为广泛应用的方法。石蜡切片不仅用于观察正常细胞组织的形态结构,也是病理学和法医学等学科用以研究、观察及判断细胞组织的形态变化的主要方法,而且也已相当广泛地用于其他许多学科领域的研究中。 公司简介: 深圳
地区:深圳服务名称:石蜡包埋切片

番红固绿染色 (动物组织)
1.服务介绍: 番红O是一种结合多个阴离子的阳离子染料,其显示软骨组织是基于阳离子染料与多糖中阴离子基团(硫酸软骨素或硫酸角质素)结合。番红O着色与阴离子的浓度近似成正比关系,简介反映了基质中蛋白多糖的含量和分部。当软骨组织受到损伤时,软骨中的糖蛋白会释放出来,使基质成分分布不均匀
地区:福建厦门服务名称:番红固绿染色 (动物组织)

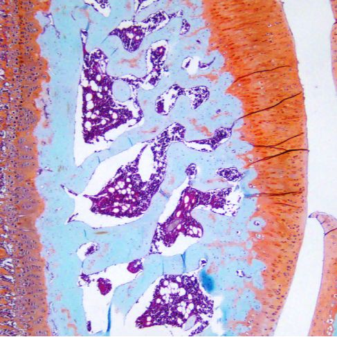
Trap染色
抗酒石酸酸性磷酸酶染色,又称Trap染色,是用于检测骨、骨细胞中破骨细胞的染色,使破骨细胞呈红色,细胞核浅蓝色,用以显示破骨细胞的分布及数量变化。 Trap染色是用于检测骨组织、骨细胞中特征物质的染色,使破骨细胞呈红色,背景呈绿色或蓝色。抗酒石酸酸性磷酸酶(Trap)为破骨细胞的
地区:全国服务名称:Trap染色
¥100

白光拍照
▶ 服务介绍 普通光学显微镜用于生物研究,其作用主要是将观察的标本放大,连接CCD后可以将观察的视野保存图片形式,以便留存和分析。 白光拍照可接收:石蜡切片、细胞爬片、冰冻切片等(切片盒保存运输)。 结果交付:3个视野,2个倍数,6张,常规同视野下200×3、400×3。默认图片不
地区:中国提供商:载基生物

核仁组织区嗜银染色-AGNOR染色实验
【实验原理】 细胞的核仁中有一种参与线粒体及蛋白质合成的酸性蛋白,具有嗜银性,称为核仁组成区相关睹银蛋白(AgNoRs),可以通过胶银染色法显示出来,从而反映细胞增殖、分化情况,对良、恶性肿瘤的鉴别、分型分级、癌前病变的研究具有一定价值。 【实验流程】 1.切片脱蜡入水,再至蒸馏

肝癌组织芯片(LVC1609)
、RNA 和蛋白质目标提供了靶。同时前后关联的单元可以迅速分析样本部分的几百个分子标记,以及构建未培养的人类肿瘤的相关遗传细胞型或表现型特征数据库。 简介描述肝癌及自体癌旁,80例,160芯(1.5mm),详尽生化指标,带有复发资料,5年生存期肝癌组织芯片,自体癌与癌旁配对,80例
地区:上海服务名称:组织芯片
¥6000-9000

普鲁士蓝染色服务
品牌 其他品牌 产地类别 国产 应用领域 医疗卫生,生物产业,综合 普鲁士蓝染色服务是非常经典的组织化学反应,是显示组织内三价铁的一种敏感、传统优良的方法,其染色原理为:三价铁离子从蛋白质中被稀盐酸分离出来,生成不溶解的蓝色化合物,即普鲁士蓝。 普鲁士蓝染色:又称含铁血黄素染色,
地区:上海服务名称:普鲁士蓝染色服务
询价

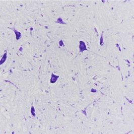
神经元尼氏染色实验代做
提供商: 上海研谨生物 服务名称: 神经元尼氏染色实验服务 规格: 样本 价格: 35元 实验周期: 3周 收费标准/服务周期/提供结果: 欢迎咨询详谈,我们会根据您的方案及需求制定详细的服务协议。 更多实验技术服务请浏览网站其他内容,或来电详询! 神经元尼氏染色实验服务 实验技
服务名称:神经元尼氏染色实验服务提供商:上海研谨生物

利用斑马鱼模型评价抗炎作用—机械性炎症
【评价原理】 炎症是免疫系统对组织损伤和感染的一种反应,主要特点就是白细胞(粒细胞、巨噬细胞)会聚集在感染组织周围。斑马鱼的免疫系统非常类似于哺乳动物。创伤发生时,中性粒细胞、巨噬细胞对创伤性炎症几乎同时作出应答,中性粒细胞迁移速度快,先募集到损伤部位,随后巨噬细胞才到达。数小时
地区:全国服务名称:临床前药效评价与药物筛选 / 抗炎模型评价

Masson染色
Masson染色masson染色是指用两种或三种阴离子染料混合,原纤维呈蓝色,肌纤维呈红色。用来显示组织中纤维以及炎性因子的染色方法之一。一、一般染色步骤1.石蜡切片脱蜡至水2.苏木素染色3.丽春红复染4.浸洗及分化5.苯胺蓝复染6.中性树胶封固7.镜下观察拍照结果:胶原纤维、粘液
地区:上海服务名称:Masson染色

毒理学实验
毒理学实验研究 简介: 天津科斯莫生物毒理学服务提供安全评估实验方案设计及其实施服务。支持小分子、生物制品、疫苗、保健食品、化学药品和介质等样本的毒理学评价。使用包括大鼠、小鼠、家兔、比格犬、猪等多种动物。我们具有急性、亚慢性及慢性(期限超过1年)毒理课题研究的丰富经验。 课题类
地区:天津服务名称:毒理学实验
¥100-1000













