搜索到 86 条记录

硬组织切片/骨磨片/骨形态计量分析/特殊染色
一、技术简介 提供制备不脱钙硬组织切磨片服务。硬组织切磨技术具有特殊的技术特点、技术配置和工艺方法,均与软组织病理制片不同。新鲜的不脱钙骨组织(或带有内植物/种植体)标本经过固定及脱水处理后,用树脂浸透、包埋、干燥和聚合,再行切片或和锯片、磨片抛光等步骤,最后制成厚约5μm以上的
地区:北京服务名称:硬组织切磨片 硬组织特殊染色

组织标本处理(取材、脱水、包埋、切片、HE染色、特殊染色、大标本制作)
组织标本基本处理,取材、脱水、包埋、切片、HE染色、特染、大标本制作等。 严谨的态度,精湛的技术,热情的服务——我们追求的理想境界!

检测服务丨细胞HE染色实验
细胞HE染色实验 HE染色,全称为苏木-伊红染色法(hematoxylin-eosin staining),运用组织成分酸碱特性与染料选择性的差异,实现了对组织细胞多样成分的精确区分与形态结构的鲜明展示。此方法广泛应用于病理学领域,用于观察病变组织的特点和变化,包括但不限于细胞形态
地区:天津服务名称:细胞HE染色实验

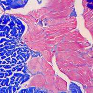
Masson-goldener三色染色-骨缺损材料修复
硬组织染色 观察骨生成 软组织染色 观察新生骨 艾佧科技(北京)有限公司位于最具活力的北京市经济技术开发区,是一家专业从事医学软组织、脱钙骨组织、不脱钙硬组织、种植体、含有植入物(金属、骨水泥、塑料、陶瓷、生物材料等)骨组织、血管支架组织、结石组织等病理组织的处理、样本切磨片、常
地区:全国服务名称:Masson-goldener三色染色

邻位连接技术(PLA)
邻位连接技术(Proximity Ligation Assay, PLA)是一种高特异性、高灵敏度的蛋白互作原位检测技术,通过抗体介导的探针邻近连接与信号扩增,实现对蛋白质相互作用(或翻译后修饰)的可视化与定量。其核心优势在于保留细胞原位结构,直接检测生理状态下的近距离互作,弥补
地区:不限服务名称:邻位连接技术(PLA)

组织病理切片(HE染色法)
组织病理切片HE染色法是病理学分析的“金标准”技术。其核心优势在于提供极其直观的形态学证据:将细胞核染成蓝紫色,伊红将细胞质染成粉红色,从而清晰呈现组织与细胞的精细结构。 该方法能直接显示病毒感染或治疗过程中发生的关键病理变化,如炎症细胞浸润、组织损伤坏死、肺泡结构破坏等。这些肉眼
地区:浙江杭州服务名称:细胞因子检测
¥150

石蜡包埋切片
产品简介: 石蜡切片(paraffin section)组织学常规制片技术中最为广泛应用的方法。石蜡切片不仅用于观察正常细胞组织的形态结构,也是病理学和法医学等学科用以研究、观察及判断细胞组织的形态变化的主要方法,而且也已相当广泛地用于其他许多学科领域的研究中。 公司简介: 深圳
地区:深圳服务名称:石蜡包埋切片

硬组织切片染色
硬组织切片包括牙齿、骨骼、各种聚合物、陶瓷以及合金支架等材料质地坚硬的硬组织,它们被制备成切片时需特殊的切片机。我公司的硬组织切片机可将上述等硬组织制备成切片,便于组织的结构观察以及下游的染色实验等。 一、硬组织切片适用样品: 1、牙齿、骨骼等生物硬组织 2、骨科软硬组织联合切片
地区:/服务名称:/
询价

TRAP染色
TRAP染色 抗酒石酸酸性磷酸酶(Tartrate Resistant Acid Phosphatase,TRAP)是一种羰基化的含金属蛋白酶,在破骨细胞(Osteoclast)和破软骨细胞(Chondroclast)中高表达,为破骨细胞的标志酶,在活化的巨噬细胞和神经元中也有一
文献支持地区:江苏无锡服务名称:TRAP染色
¥80

网状纤维染色银染实验服务
金属银沉积于组织内及表面。用氯化金调色后,再用硫代硫酸钠液洗去未还原的银盐,从而将组织内的网状纤维清晰地显示出来。 实验操作流程: 1、切片脱蜡至水,蒸馏水洗, 2、用0.5%高.锰.酸.钾氧化5min, 3、自来水洗,继用蒸馏水洗, 4、用2%草酸漂白切片2min, 5、自来水洗
地区:全国服务名称:网状纤维染色银染实验服务
¥60

肝癌组织芯片(LVC1609)
、RNA 和蛋白质目标提供了靶。同时前后关联的单元可以迅速分析样本部分的几百个分子标记,以及构建未培养的人类肿瘤的相关遗传细胞型或表现型特征数据库。 简介描述肝癌及自体癌旁,80例,160芯(1.5mm),详尽生化指标,带有复发资料,5年生存期肝癌组织芯片,自体癌与癌旁配对,80例
地区:上海服务名称:组织芯片
¥6000-9000

肺组织HE染色实验
品牌 其他品牌 产地类别 国产 应用领域 医疗卫生,生物产业,综合 肺组织HE染色实验由达为科生物病理平台的实验员操作完成,是达为科生物的基础服务项目之一。 苏mu精-伊红染色法 ( hematoxylin-eosin staining ) ,简称HE染色法 ,石蜡切片技术里常用
地区:上海服务名称:肺组织HE染色实验

病理学技术服务
病理学技术服务 我们拥有专业的实验室、先进的实验设备和经验丰富的科研技术人员。技术团队包括研究员(博士后)2人,助理研究员(博士)4人,核心研究员(硕士)15人,主要致力于基因组学、转录组学、蛋白质组学、代谢组学、生物化学、病理检测、基因检测等技术在科研中的应用与推广。通过高度细
地区:上海服务名称:病理学技术服务

ROS染色
▶ 服务介绍 ROS染色原理是利用荧光探针(如Dihydroethidium,DHE)检测细胞内活性氧(ROS)的水平。ROS主要包括超氧阴离子自由基、过氧化氢、羟自由基等。这些活性氧分子在细胞内参与多种生理和病理过程。在病理条件下,由于活性氧的产生和清除失去了正常平衡,会对组织细
地区:中国提供商:载基生物

病理组织切片服务|病理切片服务科研|HE染色
病理切片作为一种实验技术已广泛应用于科研、教学、病理检验等工作中,有较高的使用价值。 切片可分为石蜡切片和冰冻切片两种形式: 石蜡切片:常用于观察正常细胞组织的形态结构,是病理学用以研究、观察及判断细胞组织的形态变化的主要方法。 冰冻切片:是一种在低温条件下使组织快速冷却
地区:山东服务名称: 病理组织切片服务|病理切片服务科研|HE染色

WB,Western Blotting 技术服务
Western Blotting技术服务 蛋白质印迹法(免疫印迹试验)即Western Blot。它是分子生物学、生物化学和免疫遗传学中常用的一种实验方法。其基本原理是通过特异性抗体对凝胶电泳处理过的细胞或生物组织样品进行着色。通过分析着色的位置和着色深度获得特定蛋白质在所分析的细
地区:全国服务名称:代做WB实验

毒理学实验
毒理学实验研究 简介: 天津科斯莫生物毒理学服务提供安全评估实验方案设计及其实施服务。支持小分子、生物制品、疫苗、保健食品、化学药品和介质等样本的毒理学评价。使用包括大鼠、小鼠、家兔、比格犬、猪等多种动物。我们具有急性、亚慢性及慢性(期限超过1年)毒理课题研究的丰富经验。 课题类
地区:天津服务名称:毒理学实验
¥100-1000

病理学分析服务
一、病理学分析: 描述各切片中典型的病变,包括:增生、肥大、萎缩、水肿、钙化、坏死、充血、瘀血、出血、炎症等,对病变部位做出标识并进行文字描述,并提供相应的word文档。 二、案例展示(HE/Masson): 肝100~200倍(HE) 肝100~200倍(Masson) 肝脏组织

包埋、切片、爬片
MDL-百奥思科可以提供组织石蜡包埋与樱花包埋服务、硬组织脱钙或者硬组织直接切片和细胞样品的爬片制备等各种病理学检测服务。 普通包埋 经固定后的组织 特殊包埋 细胞、眼球、材料等 石蜡切片 蜡头 樱花包埋 新鲜组织 冰冻切片 固定组织、新鲜组织 芯片切片 蜡头 脱钙 固定后的组织
地区:全国服务名称:包埋、切片、爬片

石蜡切片、冰冻切片
全套的病理技术服务取材、处理、包埋、切片、H&E染色、诊断。 石蜡切片20元/张,冰冻切片50元/张。 石蜡切片(paraffin section)组织学常规制片技术中最为广泛应用的方法。石蜡切片不仅用于观察正常细胞组织的形态结构,也是病理学和法医学等学科用以研究、观察及判断细胞
地区:全国服务名称:病理切片加工





