万千商家帮你免费找货
0 人在求购买到急需产品
- 详细信息
- 技术资料
- 提供商:
载基生物
- 规格:
张
▶ 服务介绍
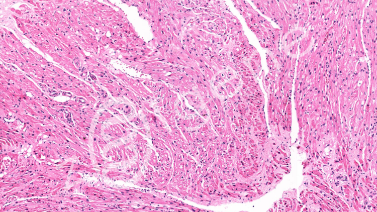
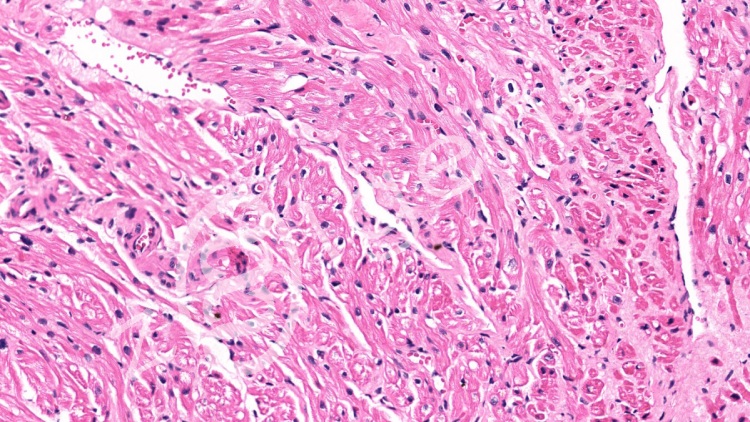
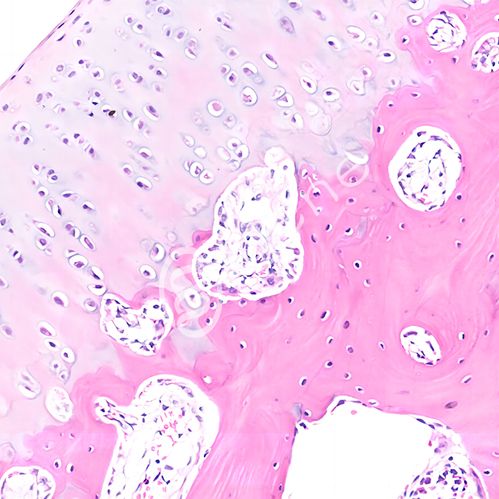
普通光学显微镜用于生物研究,其作用主要是将观察的标本放大,连接CCD后可以将观察的视野保存图片形式,以便留存和分析。
白光拍照可接收:石蜡切片、细胞爬片、冰冻切片等(切片盒保存运输)。
结果交付:3个视野,2个倍数,6张,常规同视野下200×3、400×3。默认图片不加标尺,需要请在交接单上注明。也可后期在图片的基础上加;如无拍照要求,即按常见的部位拍,例如:肝中央静脉、脑皮层海马、肾小球等,特殊染色以及免疫组化阳性部位。特殊要求请提前说明。
▶ 结果展示
200×

400×


400×

风险提示:丁香通仅作为第三方平台,为商家信息发布提供平台空间。用户咨询产品时请注意保护个人信息及财产安全,合理判断,谨慎选购商品,商家和用户对交易行为负责。对于医疗器械类产品,请先查证核实企业经营资质和医疗器械产品注册证情况。
技术资料暂无技术资料 索取技术资料
白光拍照
¥8









