万千商家帮你免费找货
0 人在求购买到急需产品
- 详细信息
- 技术资料
- 提供商:
上海达为科生物科技有限公司
- 服务名称:
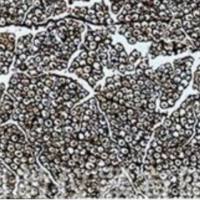
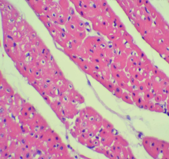
HE染色实验
HE染色法 ,石蜡切片技术里常用的染色法之一 。苏 精染液为碱性 ,主要使细胞核内的染色质与胞质内的核酸着紫蓝色 ;伊红为酸性染料 ,主要使细胞质和细胞外基质中的成分着红色 。HE染色法是组织学、胚胎学、病理学教学与科研中zui基本、使用zui广泛的技术方法。
HE染色实验步骤:一般包含取材固定,脱水透明,浸蜡包埋,切片与贴片,脱蜡染色,脱水透明,封固等步骤。
客户需要确认:样本的种属、样本类型(固定液固定的组织、蜡块、切片)、切片的方式(横切或纵切)、拍照要求
HE染色实验服务内容
1.包埋,切片,染色,拍照等
2.其他特殊染色,如普鲁士染色,Masson染色等等
原理:
易于被碱性或酸性染料着色的性质称为嗜碱性( basophilia )和嗜酸性( acidophilia );而对碱性染料和酸性染料亲和力都比较弱的现象称为中性(neutrophilia)。
构成组织内蛋白质的氨基酸的种类很多,它们有不同的等电点。在普通染色法中,染色液的酸碱度为pH6左右,细胞内的酸性物质如细胞核的染色质、腺细胞和神经细胞内的粗面内质网及透明软骨基质等均被碱性染料染色,这些物质称为嗜碱性。而细胞质中的其它蛋白质如红细胞中的血红蛋白、嗜酸粒细胞的颗粒及胶原纤维和肌纤维等被酸性染料染色,这些物质称为嗜酸型。如果改变染色液的酸碱度,pH值升高时,则原来被酸性染料染色的物质可变为嗜碱性;pH值降低时,原来被碱性染料染色的物质则可变为嗜酸性。所以说染色液的pH值可以影响染色的反应。
风险提示:丁香通仅作为第三方平台,为商家信息发布提供平台空间。用户咨询产品时请注意保护个人信息及财产安全,合理判断,谨慎选购商品,商家和用户对交易行为负责。对于医疗器械类产品,请先查证核实企业经营资质和医疗器械产品注册证情况。










