搜索到 37 条记录

检测实验丨油红O染色实验
油红O染色 油红O染色是一种常用于检测细胞中脂质积累的染色方法,尤其在研究脂肪细胞和肝脏病理学中具有重要应用。该染色方法通过油红O染料与细胞或组织内的脂质滴特异性结合,使脂质在显微镜下呈现出鲜明的红色,从而便于观察和分析。 一、染色原理: 油红O染色的原理基于油红O染料对脂质的亲
地区:天津服务名称:油红O染色实验

石蜡包埋切片
产品简介: 石蜡切片(paraffin section)组织学常规制片技术中最为广泛应用的方法。石蜡切片不仅用于观察正常细胞组织的形态结构,也是病理学和法医学等学科用以研究、观察及判断细胞组织的形态变化的主要方法,而且也已相当广泛地用于其他许多学科领域的研究中。 公司简介: 深圳
地区:深圳服务名称:石蜡包埋切片

透射电镜
透射电镜 Transmission Electron Microscope, 简称TEM,透射电镜可以观察样品的内部精细结构,这些结构即亚显微结构或者超微结构。透射电镜使用的是透射电子,并收集透过样品的电子,从而提供了样品的内部结构的信息,如晶体结构、形态以及应力状态的信息。目前
文献支持地区:全国服务名称:透射电镜实验服务
¥1200

特殊染色(威斯腾生物-中关村生物医学研发检测共享平台!)
液体应该由配制液体的人标明最初的日期。 ·使用时要注意防止液体交叉污染 ·用蒸馏水或双蒸馏水配制液体。 ·使用分等级的化学试剂。 ·使用组织技术专家证明合格的染料。 ·随时将装有液体的瓶子塞好。 ·冷藏液体应该倒入染色缸内,在室温下复温染色,液体瓶应该及时放回冰箱。 ·所有染液使用
地区: 全国服务名称:特殊染色

免疫组化(不含一抗)
进口abcam、CST、Santa、omnimabs抗体;2.具有多年免疫组化实验经验;3.可免费使用我司细胞库、组织库已有细胞或石蜡切片,无需购买;4.提供完整的实验数据及实验报告(包括实验仪器、试剂、方法步骤、结果、数据分析、结论等)。 ▶ 实验流程 客户提供:新鲜样本/固定后
地区:中国提供商:载基生物

标本处理预咨询
长期的研发、推广活动中,我们感到有些病理技术专业以外人士,对处理标本环节注意不够,结果,造成标本的不当处理,固定前、固定中、固定后都有问题出现,饲养的动物模型坏死等异常改变,浪费时间精力,浪费资金。我们可以为您提供预先咨询服务,很好的注意解决这些问题。 严谨的态度,精湛的技术,热

免疫组化(IHC)
免疫组织化学(Immunohistochemistry)又称免疫细胞化学,是根据抗原抗体反应和化学显色原理,组织切片或细胞标本中的抗原和一抗结合,再利用一抗与标记生物素的二抗进行反应,前者再用标记辣根过氧化物酶(HRP)或碱性磷酸酶(AKP)等的抗生物素(如链霉亲和素)结合,最后
地区:全国服务名称:免疫组化IHC

染色
HE染色 石蜡切片 masson染色 石蜡切片 油红O染色 冰冻切片 天狼猩红染色 石蜡切片 PAS染色 石蜡切片 AB-PAS染色 石蜡切片 番红-固绿染色(植物) 石蜡切片 番红-固绿染色(软骨) 石蜡切片 阿利新蓝染色 石蜡切片 LFB染色 石蜡切片 普鲁士蓝染色 石蜡切片
地区:北京服务名称:常规及特殊染色

病理学检测技术服务
病理学检测技术服务 病理学是研究疾病发生发展中集体的形态,机能和代谢等方面的变化及其规律的科学,为诊断和防治疾病提供必要的理论基础。可进行定性和半定量分析。 项目 价格(元) 说明 石蜡包埋 10/个 普通组织,特殊组织另计 HE染色 20/片 包括所有试剂和耗材 特殊染色 80
地区:上海服务名称:病理学检测技术服务

病理组织切片服务|病理切片服务科研|HE染色
病理切片作为一种实验技术已广泛应用于科研、教学、病理检验等工作中,有较高的使用价值。 切片可分为石蜡切片和冰冻切片两种形式: 石蜡切片:常用于观察正常细胞组织的形态结构,是病理学用以研究、观察及判断细胞组织的形态变化的主要方法。 冰冻切片:是一种在低温条件下使组织快速冷却
地区:山东服务名称: 病理组织切片服务|病理切片服务科研|HE染色

组织病理切片(HE染色法)
组织病理切片HE染色法是病理学分析的“金标准”技术。其核心优势在于提供极其直观的形态学证据:将细胞核染成蓝紫色,伊红将细胞质染成粉红色,从而清晰呈现组织与细胞的精细结构。 该方法能直接显示病毒感染或治疗过程中发生的关键病理变化,如炎症细胞浸润、组织损伤坏死、肺泡结构破坏等。这些肉眼
地区:浙江杭州服务名称:细胞因子检测
¥150

病理服务—TUNEL染色(DAB\荧光)
内注射、技术成熟稳定 12、肾脏缺血、肾移植、肾衰动物模型 肾脏缺血、肾移植、肾衰竭实验及检测平台 注:点击模型名称查看详细信息 检测平台 服务项目 服务承诺 服务周期 样本种类 病理切片、免疫组化 染色结果照片 2-3周 组织 Western blotting 胶片 1-2周 蛋
地区:全国服务名称:病理服务—TUNEL染色(DAB\荧光)

IF免疫荧光-荧光抗体标记检测-拓普生物一站式动物实验外包
免疫荧光技术(Immunofluorescence technique )又称荧光抗体技术,是标记免疫技术中发展最早的一种。是在免疫学、生物化学和显微镜技术的基础上建立起来的一项技术。利用抗原抗体反应进行组织或细胞内抗原物质的定位,用荧光抗体示踪或检查相应抗原的方法称荧光抗体法;
地区:全国服务名称: IF免疫荧光-荧光抗体标记检测
¥300

扫描透射电镜服务JEM-1400Flash
10月8日至12月31日,电镜检测服务限时68折优惠, 原价1000元/样,现680元/样(不含分析),每样可拍15-20张 欢迎来电咨询 设备名称:电子显微镜 生产厂家:日本电子株式会社 型号:JEM-1400Flash 设备介绍:扫描透射电子显微术(STEM),通过极细的汇聚
地区:全国服务名称:江苏艾菱菲生物科技有限公司

ALP 碱性磷酸酶染色
9.2~9.8的碱性条件下,细胞内碱性磷酸酶可使萘酚AS-BI磷酸酯水解,释放出磷酸与萘酚,后者与偶联重氮盐生成有蓝色产物,以此证明酶的定位。 正常的骨代谢是通过成骨细胞生长与破骨细胞骨吸收而维持平衡。成骨细胞的标记酶是碱性磷酸酶(ALP)。通常采用ALP碱性磷酸酶染色来直观反应
地区:福建厦门服务名称:ALP 碱性磷酸酶染色

TUNEL凋亡检测
一、TUNEL凋亡检测 TUNEL (TdT-mediated dUTP Nick-End Labeling)细胞凋亡检测是用来检测组织细胞在凋亡早期过程中细胞核DNA的断裂情况。其原理是荧光素标记的12-dUTP在末端脱氧核苷转移酶(TdT)的作用下,连接到凋亡细胞中断裂的DN
地区:上海服务名称:TUNEL凋亡检测

碱性磷酸酶染色实验服务
碱性磷酸酶染色实验服务 碱性磷酸酶染色实验技术简介: 碱性磷酸酶(AKP) 的显示方法zui早由Gomeri (1939) 提出,现在这种方法称为Gomeri法。碱性磷酸酶是指磷酸单酯酶I,它能在pH8. 6~10.0的zui适条件下分解磷酸单酯,对于与磷酸相接的醇基没有特异性,
服务名称:碱性磷酸酶染色实验代做提供商:上海研谨生物

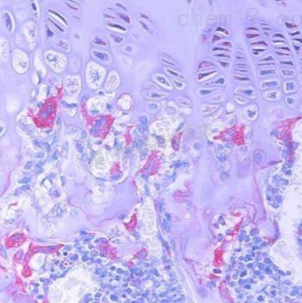
番红固绿染色(动物)
服务介绍: 番红-固绿染色(软骨)在涉及关节软骨及软骨下骨的形态学研究中,常需联合使用多种染料以显示其组织学结构。其中,起源于上世纪60年代的番红O(safranin O)-固绿(fast green)染色因可以直观反映关节软骨、软骨下骨和骨组织的结构而备受青睐。软骨呈红色,成骨
地区:武汉服务名称:傲星生物科技有限公司

肝癌生存期组织芯片 ZL-MEL361
ZL-MEL361 黑色素瘤组织芯片ZL-MEL361 黑色素瘤 36个人类各个部位黑色素瘤,1.5,mm直径 ZL-Cocsur1241 结肠癌预后组织芯片ZL-Cocsur1241 结肠 结肠癌及自体癌旁,69例,124芯(1.5mm),详尽生化指标,TNM分期、详尽复发资料
地区:上海服务名称:肝细胞肝癌预后组织芯片
¥11000

研卉生物病理形态学检测技术服务
液氮保存; 2)石蜡切片:取下适当的组织块放于4%多ju甲醛保存; 3)细胞爬片:细胞爬片4%多ju甲醛固定30min,换PBS浸没4℃保存。 病理学检测技术服务 病理学是研究疾病发生发展中集体的形态,机能和代谢等方面的变化及其规律的科学,为诊断和防治疾病提供必要的理论基础。可进行
地区:全国服务名称:研卉生物病理形态学检测技术服务





