万千商家帮你免费找货
0 人在求购买到急需产品
- 详细信息
- 询价记录
- 文献和实验
- 技术资料
- 提供商:
江苏艾菱菲生物科技有限公司
- 服务名称:
江苏艾菱菲生物科技有限公司
原价1000元/样,现680元/样(不含分析),每样可拍15-20张
欢迎来电咨询
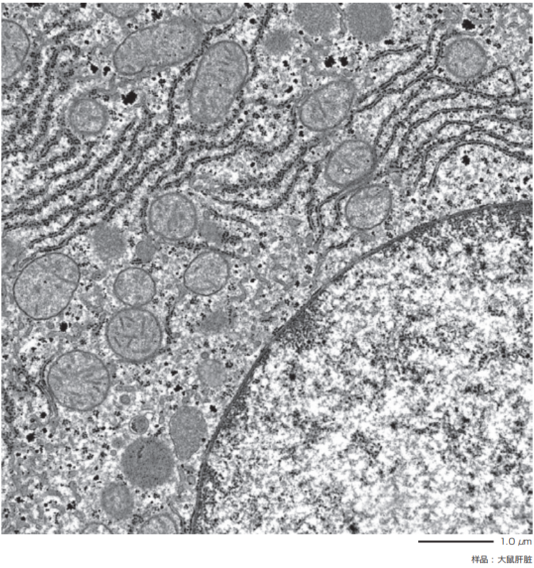
设备名称:电子显微镜
生产厂家:日本电子株式会社
型号:JEM-1400Flash
设备介绍:扫描透射电子显微术(STEM),通过极细的汇聚电子束在样品上扫描,探测透过样品的电子束密度成像的技术。STEM-BF 像获取的是透过电子像,STEM-DF 像获取的是透过的散射电子像。再与 EDS 相结合,可以获取元素面分布和连续元素点分析。
设备优势:
标配JEOL制造的高灵敏度sCMOS相机,瞬flsh相机。在保持与显示相同帧率的同时读出噪音非常低,可以轻松获得清晰图像。
在样品漂移的情况下进行拍摄,将由于样品随漂移获得的图像,JEM-1400Flash标配的功能可以再矫正漂移的同时进行图像积分,矫正漂移,获得清晰图像。
超广视野,可以通过移动样品台实现蒙太奇功能,可进行无极限区域拼接(LLP),拼接后的图像比较偏上获得图像质量更高。
光电联动功能,可在TEM图像上显示预先用光学显微镜等获取的数字图像。由于可以在重叠显示的图像中搜索视野,因此可以通过 TEM 图像简单的进行荧光点的高分辨观察。此外,通过 TEM 控制软件(TEM Center)和 Stage Navigation的并用,可以立即移动到目标视野。
设备规格信息:
风险提示:丁香通仅作为第三方平台,为商家信息发布提供平台空间。用户咨询产品时请注意保护个人信息及财产安全,合理判断,谨慎选购商品,商家和用户对交易行为负责。对于医疗器械类产品,请先查证核实企业经营资质和医疗器械产品注册证情况。
- 作者
- 内容
- 询问日期
文献和实验一、开机 1、接通两个空气开关。2、闭合电镜总电压柜开关,此时冷却循环水系统工作,设置水温为20℃。3、打开电镜主机电源和控制电脑,真空系统自动运行,约30分钟后真空度达到工作需要,仪器处于待用状态。二、样品安装 1、将装有铜网的样品杆插入样品室,打开预抽开关进行样品隔离室预抽,约2~3分钟后绿灯亮,然后顺时针转→推→转样品杆,最后缓慢送入观察位置。2、取出样品前,先关闭灯丝电流,然后向外抽→转→抽→转样品杆,关闭预抽开关,待放气后向外抽离镜筒。三、图像获得 1、打开高压,待束流数值稳定,生物
。另外,由于电子束的穿透力很弱,因此用于电镜的标本须制成厚度约50nm左右的超薄切片。这种切片需要用超薄切片机(ultramicrotome)制作。电子显微镜的放大倍数最高可达近百万倍、由电子照明系统、电磁透镜成像系统、真空系统、记录系统、电源系统等5部分构成。 图2-12 JEM-1011透射电子显微镜 2、制样技术 1)超薄切片 通常以锇酸和戊二醛固定样品,以环氧树脂包埋,以热膨胀或螺旋推进的方式推进样品切片(图2-13),切片厚度20~50nm,切片采用重金属盐染色,以增大反差(图2-14
连续扫描原理,光谱范围(900nm~1700nm)恰好是如今的近红外油料应用领域近红外仪器得很好的补充。富含了1000nm、1200nm、1400nm左右石油中有用的信息,同时样品池的可以直接应用光程1cm比色皿,因此样品需求量少。在用数据说明该种仪器效果前我先简单的介绍一下近红外建模分析的过程。 建立模型的前提是首先要建立一个在成份和性质变化范围上有代表性的标样集(化学值或类似数据)然后用化学计量学光谱分析软件建立模型。有了模型以后,分析未知样品性质只要先测量被测样品的近
技术资料暂无技术资料 索取技术资料










