万千商家帮你免费找货
0 人在求购买到急需产品
- 详细信息
- 询价记录
- 文献和实验
- 技术资料
- 提供商:
天津国晟中源科技有限责任公司
- 服务名称:
细胞HE染色实验
- 规格:
项
细胞HE染色实验
HE染色,全称为苏木-伊红染色法(hematoxylin-eosin staining),运用组织成分酸碱特性与染料选择性的差异,实现了对组织细胞多样成分的精确区分与形态结构的鲜明展示。此方法广泛应用于病理学领域,用于观察病变组织的特点和变化,包括但不限于细胞形态、组织结构等,为疾病的诊断与研究提供了强有力的视觉依据。
一、染色原理:
HE染色基于组织成分的酸碱性质与染料亲和力差异。
在pH约6的染色条件下,DNA的负电荷磷酸基团吸引苏木的正电荷,形成蓝色细胞核。
伊红则以其负电荷阴离子与细胞质内蛋白质的正电荷阳离子结合,染成不同程度的红色或粉红色,形成与蓝色细胞核的鲜明对比。
通过调整染色液pH值,可改变物质的染色性质,进一步证明酸碱度对染色反应的影响。HE染色通过这一原理,清晰区分并展示了组织细胞的不同成分及其形态结构特点,是病理诊断中的基础且关键的染色技术。
二、材料与仪器:
实验试剂:
无水乙醇、二甲苯、伊红染液、苏木素染液、酸性乙醇分化液、返蓝液、PBS缓冲液、中性树胶
实验仪器:
载玻片、盖玻片、OLYMPUS CKX43-LP显微镜、3DHISTECHP250FLASH全景扫描仪
三、实验步骤:
1、实验样品的制备:
将细胞接种于合适的培养板中(一般为24孔板或6孔板),使染色前细胞的融合度达到70%-80%,用PBS洗涤3次。
2、实验样品固定:
用乙醇固定样品20分钟,然后用PBS洗涤两次,每次1分钟。
3、细胞核染色:
Harris苏木素染5-10min,自来水洗,1%的盐酸酒精分化数秒,自来水冲洗10分钟,蓝化液返蓝5分钟,流水冲洗。
4、细胞质染色:
伊红染液中染色1-3min。自来水洗。
5、脱水透明封片:
无水乙醇快速脱水,二甲苯透明,中性树胶封片。
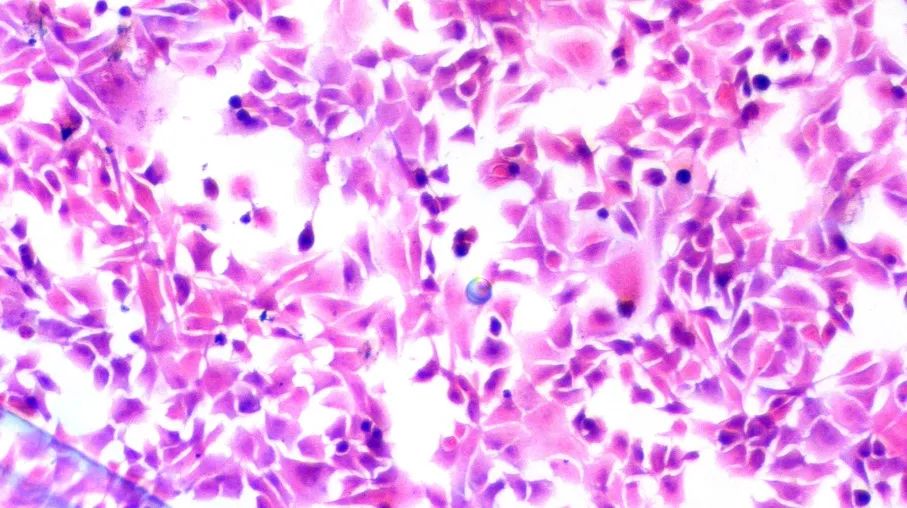
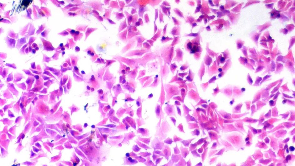
※实验结果示例:
正常情况下,苏木素染细胞核为蓝色,细胞质着色为粉红色。

四、注意事项
1、调节pH值:
染色过程中,调节溶液的pH值至关重要。长时间在福尔马林中固定的组织容易酸化,影响细胞核的着色。因此,在染色前,应确保组织块在自来水中充分冲洗,或在饱和碳酸锂水溶液中处理10-30min,以中和酸性,使细胞核着色更深。
染伊红时,如果胞浆着色不佳,可以尝试在伊红溶液中滴加1-2滴b醋酸,有助于改善胞浆染色效果。
2、分色控制:
切片染苏木后,分色步骤是确保细胞核清晰染色的关键。应在显微镜下进行精细控制,目标是使细胞核染色清晰而细胞质基本无色。若分色过度,会导致染色过浅,需重新染色后再行分色。
3、封固步骤:
最后封固时,应使用中性树脂,以防止切片日后褪色。盖玻片的选择应大于组织块的面积,以确保完全覆盖。封固过程中,要注意树脂的浓度要适当,避免产生气泡,这些气泡会影响观察并可能加速褪色。
风险提示:丁香通仅作为第三方平台,为商家信息发布提供平台空间。用户咨询产品时请注意保护个人信息及财产安全,合理判断,谨慎选购商品,商家和用户对交易行为负责。对于医疗器械类产品,请先查证核实企业经营资质和医疗器械产品注册证情况。
- 作者
- 内容
- 询问日期
文献和实验相关专题 本篇文章主要介绍了采用苏木素(Hematoxylin)-伊红(Eosin)染色法对细胞染色的实验原理、实验用品和具体实验步骤。 HE染色法 一、原理 苏木素(Hematoxylin)-伊红(Eosin)染色法,简称HE染色法。 HE染色法采用两种染料即碱性染料苏木素和酸性染料伊红分别于细胞核 和细胞质发生作用,使细胞的微细结构通过颜色而改变它的折光率,从而在光镜下能清晰地呈现出细胞图像。该染色过程既有化学
成正比。 目前 ELISA 法应用 1、免疫酶染色各种细胞内成份的定位。 2、研究抗酶抗体的合成。 3、显现微量的免疫沉淀反应。 4、定量检测体液中抗原或抗体成份。 小优 ELISA 实验检测服务 优宁维公司提供空白板,buffer 缓冲液等 客户只需提供样本 小优结果形式:统计结果,实验流程,全程提供疑问解答 优宁维是专业的抗体公司,我们的实验服务团队是由博士后领衔的团队。我们实验室拥有先进的实验仪器平台,服务的价格是实惠亲民
,经第8次传代后,平滑肌细胞仍生长迅速,未见衰老迹象。倒置显微镜下观察均呈“谷和峰”样结构(图1 对照组2周的细胞;图2 实验组培养2周的细胞)。细胞爬片HE染色见膀胱平滑肌细胞细胞核呈两端钝圆的卵圆形平滑肌细胞核型。电镜检查可见平滑肌细胞密班结构。免疫组化染色检测α-actin呈阳性反应。从细胞爬片HE染色和免疫组化染色检测α-actin呈阳性反应中我们发现该方法所的膀胱平滑肌细胞的纯度几乎99%。 图1 对照组2周的细胞图2 实验组培养2周的细胞
技术资料









