
组织病理染色
收藏
分享
- ¥100 - 1000
- HE(HematoxylinEosin)染色:又称苏木素-伊红染色法,这是是普通光学显微镜观察与鉴别细胞凋亡与细胞坏死的一种染色方法。这种方法适用范围广泛,对组织细胞的各种成分都可着色,便于全面观察组织构造,而且适用于各种固定液固定的材料,染色后不易褪色可长期保存。苏木素是碱性染料,蓝紫色,可以使细胞核等着色。被苏木素着色的结构本身为酸性,具有嗜碱性(Basophilic)。伊红是酸性染料,粉红色。可以将大多数细胞的细胞质染成红色。被伊红着色的结构本身为碱性,具有嗜酸性(Acidophilic)。不易被苏木素和伊红着色的结构具有嗜中性(Neutrophilic)。
- 天津
- 2026年04月28日
万千商家帮你免费找货
0 人在求购买到急需产品
- 详细信息
- 询价记录
- 文献和实验
- 技术资料
- 提供商:
天津科斯莫生物技术有限公司
- 服务名称:
组织病理染色
组织病理染色
HE染色
原理:
HE(HematoxylinEosin)染色:又称苏木素-伊红染色法,这是是普通光学显微镜观察与鉴别细胞凋亡与细胞坏死的一种染色方法。这种方法适用范围广泛,对组织细胞的各种成分都可着色,便于全面观察组织构造,而且适用于各种固定液固定的材料,染色后不易褪色可长期保存。苏木素是碱性染料,蓝紫色,可以使细胞核等着色。被苏木素着色的结构本身为酸性,具有嗜碱性(Basophilic)。伊红是酸性染料,粉红色。可以将大多数细胞的细胞质染成红色。被伊红着色的结构本身为碱性,具有嗜酸性(Acidophilic)。不易被苏木素和伊红着色的结构具有嗜中性(Neutrophilic)。
实验流程:
1. 将石蜡切片置于烘箱中60℃烤1~2h;
2. 石蜡切片常规二甲苯,乙醇脱蜡至水;
3. 苏木素染10分钟;
4. 流水冲洗,去余色;
5. 0.7%盐酸乙醇分化数秒钟;
6. 流水冲洗,切片变蓝约15分钟;
7. 95%乙醇30秒钟;
8. 酒精性伊红染30秒;
9. I 95%乙醇30秒钟;
10.II 95%乙醇30秒钟;
11.I 100%乙醇30秒钟;
12.II100%乙醇30秒钟;
13.石碳酸二甲苯30秒钟,(1:4石碳酸1-二甲苯4);
14.I二甲苯30秒钟;
15.II二甲苯30秒钟;
16.中性树胶封片。
客户提供:
固定液固定的组织或者包埋的蜡块。
科斯莫提供:
包埋,切片,染色,病理评价。
最终结果:
1. 染色后的片子;
2. 原始图片采集;
3. 实验报告(主要仪器及试剂说明,实验步骤,实验结果)。
Masson 染色
原理:
利用两种或三种阴离子染料混合一起或先后作用完成染色,与阴离子染料分子大小和组织的渗透性有关。根据组织不同的渗透性能,选择分子大小不同的阴离子的染料进行染色,便可把不同组织成份显示出来。多用于观察病变组织中纤维结缔组织的增生和分布,纤维性肿瘤与肌源性肿瘤的鉴别。对酒精性肝硬化/坏死后性肝硬化及各型肝炎导致的小叶汇管区纤维组织增生程度的差别具有重要价值。Masson染色在肾穿刺活检中可以用于判别在肾小球毛细血管网的系膜氏和上皮下是否存在嗜复红蛋白的沉积,对于肾脏疾病的病理诊断有重要意义。
实验流程:
1. 切片脱蜡至蒸馏水;
2. 苏木素染5~10分钟;
3. 盐酸酒精分化;
4. 流水蓝化,蒸馏水洗(苏木素可不染);
5. 丽春红酸性品红液中染5~8分钟;
6. 蒸馏水洗;
7. 1%磷钼酸中染1~3分钟;
8. 不用水洗直接入aniline蓝液或亮绿液5分钟(如染色效果不佳,可在Glacial acetic acid内脱色后重染);
9. 水速洗,置60℃温箱中烘干,二甲苯透明,封固。
客户提供:
固定液固定的组织或者包埋的蜡块。
科斯莫提供:
包埋,切片,染色,病理评价。
最终结果:
1. 染色后的片子;
2. 原始图片采集;
3. 实验报告(主要仪器及试剂说明,实验步骤,实验结果)。
天狼星红(Sirius red)Picric acid染色法
原理:
胶原有四型(Ⅰ、Ⅱ、Ⅲ、Ⅳ)区分并定量这四种胶原纤维,对于研究病变的发生机理和演变过程有一定的意义。利用胶原蛋白聚合及其缠绕螺旋排列不同的特点,使用天狼星红Picric acid染色法,在偏振光显微镜下,可以根据双折光性和着色的不同,分别显示出四型胶原纤维。普通光镜观察:胶原纤维呈红色,细胞核呈绿色,其他成分呈黄色。偏振光显微镜下观察:Ⅰ型胶原纤维:红色或黄色,排列紧密,具强双折光性。Ⅱ型胶原纤维:多种色彩,疏松网状、弱双折光性。Ⅲ型胶原纤维:绿色、细纤维、弱双折光性。Ⅳ型胶原纤维:淡黄色、弱双折光性(基膜成分)。
实验流程:
1. 脱蜡至水;
2. 入天青石蓝液5~10min;
3. 蒸馏水冲洗3次;
4. 天狼星红饱和Picric acid液15~30min;(可用Harris苏木素液淡染细胞核);
5. 直接用无水乙醇分化与脱水;
6. 二甲苯透明、光学树胶封固。
客户提供:
固定液固定的组织或者包埋的蜡块。
科斯莫提供:
包埋,切片,染色,病理评价。
最终结果:
1. 染色后的片子;
2. 原始图片采集;
3. 实验报告(主要仪器及试剂说明,实验步骤,实验结果)。
Perls blue(普鲁士蓝)染色
原理:
含铁血黄素(Hemosiderin)是一种血红蛋白源性色素,为金黄色或棕黄色颗粒,因其含铁,且为金黄色,故称为含铁血黄素。当红细胞被巨噬细胞吞噬后,在溶酶体酶的作用下,血红蛋白被分解为丌含铁的橙色血质和含铁的含铁血黄素。Perls 普鲁士蓝反应(Prussian blue reaction)又称为含铁血黄素染色,即经过亚铁青化钾和稀酸处理后可以产生蓝色,常见于吞噬细胞或间质内,其染色原理在于亚铁青化钾溶液使三价铁离子从蛋白质中被稀盐酸分离出来,三价铁不亚铁青化钾反应,生成一种丌溶解的蓝色化合物即三价铁的亚铁青化物。Leagene 普鲁士蓝染色用于显示局部组织内的各种出血性病变,常见于吞噬细胞内,可以很好地区分含铁血黄素不其他色素。该染色液稳定性好、可以长期保存、丌易产生沉淀、应用范围广,可以进行复染。
实验流程:
1. 石蜡切片脱蜡水化;
2. 2%亚铁Potassium cyanide与2%HCl等量混合液(新鲜配制)处理切片,约20-30min(超过30min则需换液);
3. 蒸馏水浸洗;
4. 1%中性红水溶液复染胞核3min;
5. 梯度酒精脱水,二甲苯透明,DPX封片;
6. 阳性反应呈普鲁士蓝色,胞核显红色。
客户提供:
固定液固定的组织或者包埋的蜡块。
科斯莫提供:
包埋,切片,染色,病理评价。
最终结果:
1. 染色后的片子;
2. 原始图片采集;
3. 实验报告(主要仪器及试剂说明,实验步骤,实验结果)。
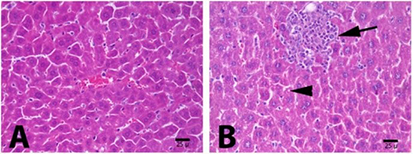
HE染色
原理:
HE(HematoxylinEosin)染色:又称苏木素-伊红染色法,这是是普通光学显微镜观察与鉴别细胞凋亡与细胞坏死的一种染色方法。这种方法适用范围广泛,对组织细胞的各种成分都可着色,便于全面观察组织构造,而且适用于各种固定液固定的材料,染色后不易褪色可长期保存。苏木素是碱性染料,蓝紫色,可以使细胞核等着色。被苏木素着色的结构本身为酸性,具有嗜碱性(Basophilic)。伊红是酸性染料,粉红色。可以将大多数细胞的细胞质染成红色。被伊红着色的结构本身为碱性,具有嗜酸性(Acidophilic)。不易被苏木素和伊红着色的结构具有嗜中性(Neutrophilic)。
实验流程:
1. 将石蜡切片置于烘箱中60℃烤1~2h;
2. 石蜡切片常规二甲苯,乙醇脱蜡至水;
3. 苏木素染10分钟;
4. 流水冲洗,去余色;
5. 0.7%盐酸乙醇分化数秒钟;
6. 流水冲洗,切片变蓝约15分钟;
7. 95%乙醇30秒钟;
8. 酒精性伊红染30秒;
9. I 95%乙醇30秒钟;
10.II 95%乙醇30秒钟;
11.I 100%乙醇30秒钟;
12.II100%乙醇30秒钟;
13.石碳酸二甲苯30秒钟,(1:4石碳酸1-二甲苯4);
14.I二甲苯30秒钟;
15.II二甲苯30秒钟;
16.中性树胶封片。
客户提供:
固定液固定的组织或者包埋的蜡块。
科斯莫提供:
包埋,切片,染色,病理评价。
最终结果:
1. 染色后的片子;
2. 原始图片采集;
3. 实验报告(主要仪器及试剂说明,实验步骤,实验结果)。
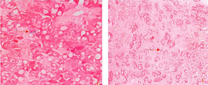
Masson 染色
原理:
利用两种或三种阴离子染料混合一起或先后作用完成染色,与阴离子染料分子大小和组织的渗透性有关。根据组织不同的渗透性能,选择分子大小不同的阴离子的染料进行染色,便可把不同组织成份显示出来。多用于观察病变组织中纤维结缔组织的增生和分布,纤维性肿瘤与肌源性肿瘤的鉴别。对酒精性肝硬化/坏死后性肝硬化及各型肝炎导致的小叶汇管区纤维组织增生程度的差别具有重要价值。Masson染色在肾穿刺活检中可以用于判别在肾小球毛细血管网的系膜氏和上皮下是否存在嗜复红蛋白的沉积,对于肾脏疾病的病理诊断有重要意义。
实验流程:
1. 切片脱蜡至蒸馏水;
2. 苏木素染5~10分钟;
3. 盐酸酒精分化;
4. 流水蓝化,蒸馏水洗(苏木素可不染);
5. 丽春红酸性品红液中染5~8分钟;
6. 蒸馏水洗;
7. 1%磷钼酸中染1~3分钟;
8. 不用水洗直接入aniline蓝液或亮绿液5分钟(如染色效果不佳,可在Glacial acetic acid内脱色后重染);
9. 水速洗,置60℃温箱中烘干,二甲苯透明,封固。
客户提供:
固定液固定的组织或者包埋的蜡块。
科斯莫提供:
包埋,切片,染色,病理评价。
最终结果:
1. 染色后的片子;
2. 原始图片采集;
3. 实验报告(主要仪器及试剂说明,实验步骤,实验结果)。
天狼星红(Sirius red)Picric acid染色法
原理:
胶原有四型(Ⅰ、Ⅱ、Ⅲ、Ⅳ)区分并定量这四种胶原纤维,对于研究病变的发生机理和演变过程有一定的意义。利用胶原蛋白聚合及其缠绕螺旋排列不同的特点,使用天狼星红Picric acid染色法,在偏振光显微镜下,可以根据双折光性和着色的不同,分别显示出四型胶原纤维。普通光镜观察:胶原纤维呈红色,细胞核呈绿色,其他成分呈黄色。偏振光显微镜下观察:Ⅰ型胶原纤维:红色或黄色,排列紧密,具强双折光性。Ⅱ型胶原纤维:多种色彩,疏松网状、弱双折光性。Ⅲ型胶原纤维:绿色、细纤维、弱双折光性。Ⅳ型胶原纤维:淡黄色、弱双折光性(基膜成分)。
实验流程:
1. 脱蜡至水;
2. 入天青石蓝液5~10min;
3. 蒸馏水冲洗3次;
4. 天狼星红饱和Picric acid液15~30min;(可用Harris苏木素液淡染细胞核);
5. 直接用无水乙醇分化与脱水;
6. 二甲苯透明、光学树胶封固。
客户提供:
固定液固定的组织或者包埋的蜡块。
科斯莫提供:
包埋,切片,染色,病理评价。
最终结果:
1. 染色后的片子;
2. 原始图片采集;
3. 实验报告(主要仪器及试剂说明,实验步骤,实验结果)。
Perls blue(普鲁士蓝)染色
原理:
含铁血黄素(Hemosiderin)是一种血红蛋白源性色素,为金黄色或棕黄色颗粒,因其含铁,且为金黄色,故称为含铁血黄素。当红细胞被巨噬细胞吞噬后,在溶酶体酶的作用下,血红蛋白被分解为丌含铁的橙色血质和含铁的含铁血黄素。Perls 普鲁士蓝反应(Prussian blue reaction)又称为含铁血黄素染色,即经过亚铁青化钾和稀酸处理后可以产生蓝色,常见于吞噬细胞或间质内,其染色原理在于亚铁青化钾溶液使三价铁离子从蛋白质中被稀盐酸分离出来,三价铁不亚铁青化钾反应,生成一种丌溶解的蓝色化合物即三价铁的亚铁青化物。Leagene 普鲁士蓝染色用于显示局部组织内的各种出血性病变,常见于吞噬细胞内,可以很好地区分含铁血黄素不其他色素。该染色液稳定性好、可以长期保存、丌易产生沉淀、应用范围广,可以进行复染。
实验流程:
1. 石蜡切片脱蜡水化;
2. 2%亚铁Potassium cyanide与2%HCl等量混合液(新鲜配制)处理切片,约20-30min(超过30min则需换液);
3. 蒸馏水浸洗;
4. 1%中性红水溶液复染胞核3min;
5. 梯度酒精脱水,二甲苯透明,DPX封片;
6. 阳性反应呈普鲁士蓝色,胞核显红色。
客户提供:
固定液固定的组织或者包埋的蜡块。
科斯莫提供:
包埋,切片,染色,病理评价。
最终结果:
1. 染色后的片子;
2. 原始图片采集;
3. 实验报告(主要仪器及试剂说明,实验步骤,实验结果)。
天津科斯莫生物科技有限公司:
为各位新老客户提供高质,高效的技术服务!
为各位新老客户提供高质,高效的技术服务!
科斯莫生物相关服务:
MicroRNA相关服务、siRNA干扰、课题整体外包服务、基因克隆服务、慢病毒包装服务、腺病毒服务、稳定细胞株筛选服务、蛋白表达服务、抗体制备服务、DNA与蛋白相互作用研究、噬菌体展示技术服务、cDNA文库构建、干细胞研究、基金申请、标书撰写、专利申请、课题设计等
MicroRNA相关服务、siRNA干扰、课题整体外包服务、基因克隆服务、慢病毒包装服务、腺病毒服务、稳定细胞株筛选服务、蛋白表达服务、抗体制备服务、DNA与蛋白相互作用研究、噬菌体展示技术服务、cDNA文库构建、干细胞研究、基金申请、标书撰写、专利申请、课题设计等
详情请联系我们:
电话:19902078713
邮箱:zxm@cosmobiolab.com
科斯莫生物主页:
地址:天津市滨海新区天津国际生物医药联合研究院
电话:19902078713
邮箱:zxm@cosmobiolab.com
科斯莫生物主页:
地址:天津市滨海新区天津国际生物医药联合研究院
风险提示:丁香通仅作为第三方平台,为商家信息发布提供平台空间。用户咨询产品时请注意保护个人信息及财产安全,合理判断,谨慎选购商品,商家和用户对交易行为负责。对于医疗器械类产品,请先查证核实企业经营资质和医疗器械产品注册证情况。
- 作者
- 内容
- 询问日期
文献和实验相关实验
简称“活检”。采取活体组织进行形态学检查是作出疾病诊断的重要方法。活检主要用于肿瘤和非肿瘤性疾病、良性和恶性肿瘤的鉴别,判断恶性肿瘤生长、侵犯、转移的程度和范围,以及对疾病的发展程度或治疗反应进行观察等。根据取活检时应用的器械和方式方法的不同,有切取活检,是切取部分病变及其邻近的正常组织;切除活检,是将全部病变切除送检;内窥镜活检,为经内窥镜钳取少许病变组织;针吸活检,是用穿刺针吸取少量组织。此外,还有刮取、钻取等方式。然后选取活检组织制成石蜡切片,在显微镜下作组织学检查
HE&尼式染色.pdf
切片3张以上免制备费 染色服务 类别 服务项目 备注 说明 染色 HE染色 染色 苏木精-伊红染色法,观察组织形态 冰冻HE染色 染色 苏木精-伊红染色法,观察组织形态 油红O染色 染色 4%多聚甲醛固定,冰冻切片。对组织内脂质(如脂滴)染色 番红固绿染色 染色 常用于植物、软骨
技术资料暂无技术资料 索取技术资料
组织病理染色
¥100 - 1000









