万千商家帮你免费找货
0 人在求购买到急需产品
- 详细信息
- 询价记录
- 文献和实验
- 技术资料
- 提供商:
上海研卉
- 服务名称:
研卉生物病理形态学检测技术服务
- 规格:
样本
1、 HE、特殊染色(PAS、MASSON等)
2、 电镜(透射、扫描、免疫透射等)
3、 免疫组化(阳性表达部位、阳性面积、阳性细胞计数、微血管密度、
淋巴管密度、光密度等)
4、 TUNEL研究细胞凋亡,常规病理细胞形态分析
5、 组织芯片
6、 原位杂交(DNA、RNA、MicroRNA等)
7、 细胞凋亡检测
病理标本收集及保存:
1)冰冻切片:取下适当的组织块放于液氮保存;
2)石蜡切片:取下适当的组织块放于4%多ju甲醛保存;
3)细胞爬片:细胞爬片4%多ju甲醛固定30min,换PBS浸没4℃保存。
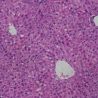
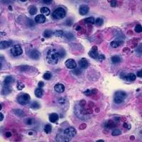
病理学检测技术服务
病理学是研究疾病发生发展中集体的形态,机能和代谢等方面的变化及其规律的科学,为诊断和防治疾病提供必要的理论基础。可进行定性和半定量分析。
| 项目 | 报价(元) | 说明 | |
| 石蜡包埋 | 10/个 | 普通组织,特殊组织另计 | |
| HE染色 | 20/片 | 包括所有试剂和耗材 | |
| 特殊染色 | 80-120/片 | 根据染色方法,价格再仪 | |
| 免疫组化 | 石蜡切片 | 85/片 | 包括部分一抗及所有试剂,特殊一抗另计,提供实验步骤,一张图片,分析数据。探针2000元/条,另拍照10元/每张 |
| 冰冻切片 | 110/片 | ||
| 原位杂交 | 石蜡切片 | 160/片 | |
| 冰冻切片 | 180/片 | ||
| MicroRNA | 180/片 | ||
| TUNEL | 石蜡切片 | 140/片 | 包括所有试剂,一张图片和分析数据,提供操作步骤 |
| 冰冻切片 | 160/片 | ||
| 细胞凋亡检测 | 客户提供试剂 | 35/例 | |
| 客户不提供试剂 | 55/例 | ||
| 图像分析 | 10-20元/片 | 出三个数据或者描述报告 | |
| 拍照 | 10元/张 | ||
风险提示:丁香通仅作为第三方平台,为商家信息发布提供平台空间。用户咨询产品时请注意保护个人信息及财产安全,合理判断,谨慎选购商品,商家和用户对交易行为负责。对于医疗器械类产品,请先查证核实企业经营资质和医疗器械产品注册证情况。
- 作者
- 内容
- 询问日期
文献和实验近年来,中国癌症患病人数与死亡人数不断增多,已成为全球第一「癌症大国」。在癌症的临床诊断中,病理诊断一直以来被称之为「金标准」。通过病理诊断准确反映疾病发生的本质、疾病过程中患病机体的形态结构和功能代谢的改变,对于癌症的诊断、个性化用药治疗、预后分析、疗效监测、早诊早筛都有很重要的参考意义。 图 1 中国全癌种发病人数(万人) 病理诊断常见方法中,主要包括组织病理、细胞病理、分子病理、免疫组化病理;其中组织病理和细胞病理主要为病理形态学观察后进行定性诊断,分子病理为从基因水平上检测细胞/组织
Cell Reports:复旦大学孙宁 / 李晓波团队发现 β-羟基丁酸对铁死亡的表观遗传学调控
急性肝脏衰竭 (ALF) 的患者并发急性胰腺炎 (AP) 早在 1973 年就被报道 1。到目前为止,文献报告的 ALF 患者中 AP 的发生率从 6% 到 41% 不等 2-5,然而其内在的病理生理学机制尚不清楚。 近日,复旦大学孙宁/李晓波团队联合海军军医大学杨田团队合作对这其中的机制进行了探索,结果表明,铁死亡在 ALF 中的胰腺损伤扮演了重要的角色。同时,ALF 导致的 β-羟基丁酸 (β-HB) 降低促进了胰腺组织的铁死亡。β-HB 能够修饰铁死亡抑制基因的组蛋白,使组蛋白 H3
患者活检或手术标本的研究对于阐明疾病尤其肿瘤的发病机制、指导治疗方案来说非常重要。但是活体组织一旦离体,血氧供应停止,就会产生一系列生物化学和组织形态学的改变,直至发生自溶,干缩,腐败,核酸和蛋白也会迅速降解,因此需要及时固定。福尔马林固定、石蜡包埋 (Formalin-Fixed and Parrffin-Embedded, FFPE) 技术能够在组织离体后最大程度地保存其原有的形态学结构及生物学信息,成为肿瘤研究领域中疾病诊断和科学研究中非常常见的生物学材料。 在分子病理学高速发展的今天
技术资料暂无技术资料 索取技术资料










