万千商家帮你免费找货
0 人在求购买到急需产品
- 详细信息
- 询价记录
- 文献和实验
- 技术资料
- 提供商:
上海达为科生物科技有限公司
- 服务名称:
动物组织肝脏HE染色实验
一、基本原理与实验目的
HE染色(苏mu精-伊红染色)是组织学和病理学中最基础的染色技术。其原理基于细胞组分对不同染料的亲和性差异:苏mu精(碱性染料)与细胞核内的DNA酸性成分结合,使核呈现蓝紫色;伊红(酸性染料)与细胞质中的碱性蛋白结合,使胞质呈粉红色。
在肝脏研究中,HE染色主要用于:
- 观察肝细胞形态:包括细胞膜完整性、核质比、核仁清晰度等,评估药物或疾病引起的肝损伤。
- 分析肝小叶结构:正常肝小叶呈多边形,肝细胞排列有序;异常时可见结构破坏、纤维增生或炎症浸润。
- 诊断病理变化:如脂肪变性(胞质内空泡)、坏死(核碎裂)、纤维化(胶原沉积)等,辅助诊断肝炎、肝硬化及肝癌。
二、实验材料与试剂清单
| 类别 | 具体试剂/材料 |
|---|---|
| 固定剂 | 4%多ju甲醛(常用)或95%乙醇 |
| 脱水试剂 | 梯度乙醇(70%、80%、90%、95%、100%) |
| 透明剂 | 二甲苯(C₈H₁₀) |
| 染色剂 | 苏mu精染液(含铵矾、甘油、冰cu酸)、伊红染液(水溶性) |
| 分化与返蓝 | 1%盐酸乙醇(分化)、0.5%an水(返蓝) |
| 包埋与封片 | 石蜡、中性树胶 |
| 工具 | 切片机、载玻片、盖玻片、显微镜、梯度乙醇缸、染色缸 |
三、具体操作步骤
-
组织固定与处理
- 固定:取肝脏组织后立即浸入4%多ju甲醛中,室温固定24小时,防止自溶。
- 脱水与透明:梯度乙醇(70%→100%)逐级脱水各2-5分钟,二甲苯透明处理(3次,每次5分钟)。
-
石蜡包埋与切片
- 浸蜡:60℃石蜡中浸渍2小时,包埋成块。
- 切片:切片厚度4 μm,烤片(60℃, 30分钟)增强附着力。
-
染色流程
- 脱蜡:二甲苯Ⅰ→Ⅱ→Ⅲ(各5分钟),梯度乙醇(100%→70%)复水。
- 苏mu精染色:5-10分钟,流水冲洗;1%盐酸乙醇分化30秒,去除非特异性结合。
- 返蓝:0.5%an水浸泡数秒,流水冲洗5分钟恢复核蓝色。
- 伊红复染:1-3分钟,梯度乙醇脱水(70%→100%),二甲苯透明。
- 封片:中性树胶封固,避免气泡。
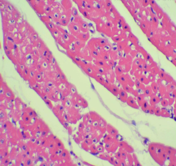
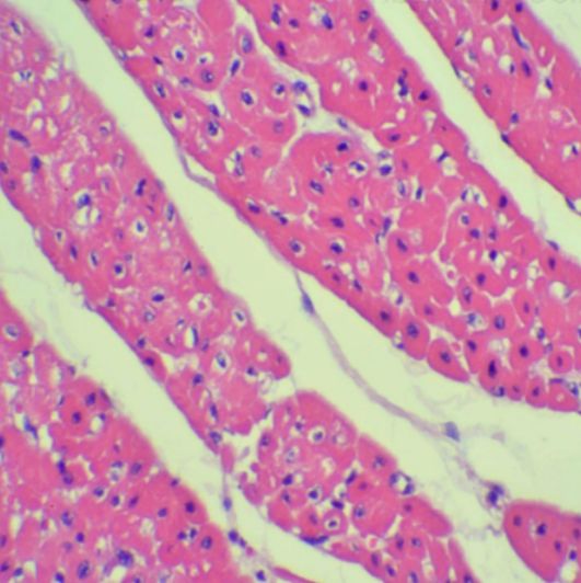
四、结果观察与分析
-
正常肝脏特征
- 肝小叶:低倍镜下呈多边形,中央静脉居中,肝索放射状排列。
- 肝细胞:高倍镜下呈立方形,胞质粉红色,核大而圆、蓝紫色,核仁清晰。
- 胆管与血管:门管区可见胆管(蓝色上皮)、肝动脉和门静脉(红色管腔)。
-
常见病理指标
- 脂肪变性:胞质内空泡(脂滴溶解),核偏位。
- 炎症浸润:门管区或肝窦内淋巴细胞聚集。
- 纤维化:胶原纤维增生(Masson染色更敏感),肝小叶结构破坏。
- 坏死:核固缩、碎裂,胞质嗜酸性增强。

风险提示:丁香通仅作为第三方平台,为商家信息发布提供平台空间。用户咨询产品时请注意保护个人信息及财产安全,合理判断,谨慎选购商品,商家和用户对交易行为负责。对于医疗器械类产品,请先查证核实企业经营资质和医疗器械产品注册证情况。
- 作者
- 内容
- 询问日期
文献和实验相关专题 本篇文章主要介绍了采用苏木素(Hematoxylin)-伊红(Eosin)染色法对细胞染色的实验原理、实验用品和具体实验步骤。 HE染色法 一、原理 苏木素(Hematoxylin)-伊红(Eosin)染色法,简称HE染色法。 HE染色法采用两种染料即碱性染料苏木素和酸性染料伊红分别于细胞核 和细胞质发生作用,使细胞的微细结构通过颜色而改变它的折光率,从而在光镜下能清晰地呈现出细胞图像。该染色过程既有化学
网络 二、实验动物肺和肝脏分叶数 表12-76 实验动物肺和肝脏分叶数 [3,29] 动物种类 肺 脏 肝 脏 右肺 左肺 总分叶数 右叶 左叶 后叶 总分叶数 狗 4 3 7 2 2
:1022个); 巨噬细胞4277个(17.2% total cell,Miz1∆hep:2934个,Miz1F/F:1343个) 实验分组 Miz1处理 POZ处理 不敲除基因 对照组 Miz1F/F POZF/F WT(untreated) 实验组 Miz1∆hep POZ∆hep WT 技术手段: 磁共振成像(MRI) HE染色 免疫荧光 免疫组化 免疫
技术资料暂无技术资料 索取技术资料










