万千商家帮你免费找货
0 人在求购买到急需产品
- 详细信息
- 文献和实验
- 技术资料
- 提供商:
上海达为科生物科技有限公司
- 服务名称:
肝组织HE检测实验
| 品牌 | 其他品牌 | 产地类别 | 国产 |
|---|---|---|---|
| 应用领域 | 医疗卫生,生物产业,综合 |
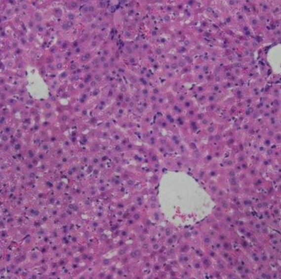
肝组织HE检测实验是达为科生物病理平台的基础服务项目之一,可以观察肝脏组织的形态结构变化。
HE染色法,即是苏mu精-伊红染色法。石蜡切片技术里常用的染色法之一。苏mu精染液为碱性,主要使细胞核内的染色质与胞质内的核糖体着紫蓝色;伊红为酸性染料,主要使细胞质和细胞外基质中的成分着红色。HE染色法是组织学、胚胎学、病理学教学与科研中基本、使用广泛的技术方法。
染色结果:细胞核被苏mu精染成鲜明的蓝色,软骨基质、钙盐颗粒呈深蓝色,粘液呈灰蓝色。细胞浆被伊红染成深浅不同的粉红色至桃红色,胞浆内嗜酸性颗粒呈反光强的鲜红色。胶原纤维呈淡粉红色,弹力纤维呈亮粉红色,红血球呈橘红色,蛋白性液体呈粉红色。
上海达为科生物科技有限公司,公司位于上海长江软件园,实验室面积600多平方米。我们拥有专业的实验室、先进的实验设备和经验丰富的科研技术人员。公司目前具备较好的生物学、医学技术服务平台,能够为广大客户提供医学科研样本检测、合作研究、开发及生产服务。
风险提示:丁香通仅作为第三方平台,为商家信息发布提供平台空间。用户咨询产品时请注意保护个人信息及财产安全,合理判断,谨慎选购商品,商家和用户对交易行为负责。对于医疗器械类产品,请先查证核实企业经营资质和医疗器械产品注册证情况。
文献和实验计算机断层成像技术(CT,Computed Tomography)作为一种无损成像技术,借助于 X 射线显微光学和 X 射线断层重构技术,可以在无创伤情况下提供被扫描对象的内部结构图像,其在临床医学上的应用是 20 世纪以来医疗技术进步的重要标志之一。而小动物模型在生物医学研究中有极为重要的地位,小动物、尤其是小型啮齿动物,已经成为生物和医学研究实验室用来建立人类疾病模型或者测试新药和治疗方法的动物选择。CT 技术在小动物成像中的应用,提供了小动物全身层面进行活体生物检测的有效
。 d) 取处理后的样品液,用微量进样器吸取适量样品液,将样品液缓缓加入凝胶板内地凹口部位(样品点入处)。注意不要冲散样品。 e)用二根导线连接电泳槽与电泳仪,注意红色与黑色电极的插头和插口相配。接通电源。控制电压在浓缩胶中为70—80V,这次实验我们控制在75V,走过浓缩胶后电压调为120V。电泳时观察凝胶板上的样品溴酚蓝的色条带走至近底端1cm 时,停止电泳。关闭电源。然后从电泳槽内小心取出凝胶板。 2) 染色 a) 用刀片或薄板将凝胶板外的两块玻璃板轻轻撬开,使凝胶倾
【原创】暗室实验(化学发光底物检测方法)及Western Blot实验优化方法
暗室实验 暗室实验的操作流程: 1. 新鲜配制1-2ml工作液(A液与B液1:1或1:40混合配制) 2. 进入暗室,在黑暗的条件下,加入1μl未稀释的二抗(HRP连接物) 3. 混合后,可立即在暗室中观察到蓝色光 暗室实验的注意事项: ? 工作液按正确比例混合,且新鲜配制 ? 在暗室中加入二抗 ? 直接使用未稀释的二抗 ? 加入二抗后,立即观察 注:暗室实验可同时检测底物是否有活性,以及二抗是否有活性。 如果暗室实验结果阴性: 更换其它二抗,再次进行检测











