万千商家帮你免费找货
0 人在求购买到急需产品
- 详细信息
- 技术资料
- 提供商:
上海达为科生物科技有限公司
- 服务名称:
尼氏染色检测
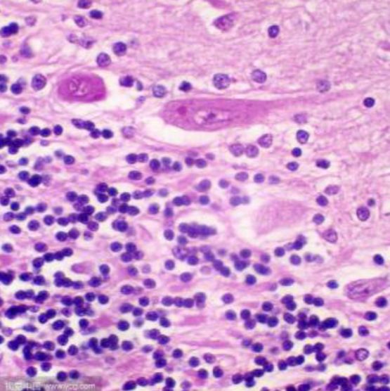
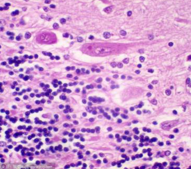
尼氏(Nissl)染色液(Nissl Staining Solution)是神经生物学家广泛使用的一种Nissl染色液,用于石蜡或冰冻切片神经元细胞浆中的尼氏小体(Nissl body)染色。尼氏染色检测是以德国的精神病学家和神经病理学家Franz Nissl的名字命名的。
一、实验原理
Nissl染色液染色后呈蓝紫色,常用于显示脑或脊髓的基本神经结构。Nissl小体大而数量多,说明神经细胞合成蛋白质的功能较强;相反在神经细胞受到损伤时,Nissl小体的数量会减少甚至消失。Nissl染色液染色的有效成分是碱性染料焦油紫(Cresyl violet),又名jia酚紫和克紫,它可以和RNA或DNA结合,可以染色粗面型内质网上的核糖体,也可以染色细胞核。染色后使细胞体呈现斑驳的(mottled)蓝紫色染色。也可以用thionine (硫荲);tolridine blue (甲苯胺蓝)等碱性染料。
二、实验流程:
1.样本处理
2.尼氏染色:染色3-10分钟,蒸馏水洗涤2次(每次数秒钟即可),95%乙醇约5s
3.脱水、透明、封片
三、客户提供
样本
四、公司提供
图片,结果及分析。
实验周期:3-4周。
上海达为科生物科技有限公司,公司位于上海长江软件园,实验室面积600多平方米。我们拥有专业的实验室、先进的实验设备和经验丰富的科研技术人员。公司目前具备较好的生物学、医学技术服务平台,能够为广大客户提供医学科研样本检测、合作研究、开发及生产服务。
风险提示:丁香通仅作为第三方平台,为商家信息发布提供平台空间。用户咨询产品时请注意保护个人信息及财产安全,合理判断,谨慎选购商品,商家和用户对交易行为负责。对于医疗器械类产品,请先查证核实企业经营资质和医疗器械产品注册证情况。
尼氏染色检测服务
询价










