万千商家帮你免费找货
0 人在求购买到急需产品
- 详细信息
- 询价记录
- 文献和实验
- 技术资料
- 提供商:
上海研谨生物
- 服务名称:
HE染色实验外包服务
欢迎咨询详谈,我们会根据您的方案及需求制定详细的服务协议。
更多实验技术服务请浏览网站其他内容,或来电详询!
HE染色实验外包服务
HE染色:即苏木素伊红染色法(hematoxylin-eosin staining),酸性染料伊红使细胞质以及胞外基质呈现红色,碱性染料苏木素则使细胞核内染色质和胞质中的核酸呈现蓝紫色。
实验意义
1. HE染色是石蜡切片技术中最基本、zui常用的染色方法之一-。可广泛应用于组织学、病理学检测及科学研究等。
2. HE染色可观察到组织、细胞成分以及病变的形态结构。
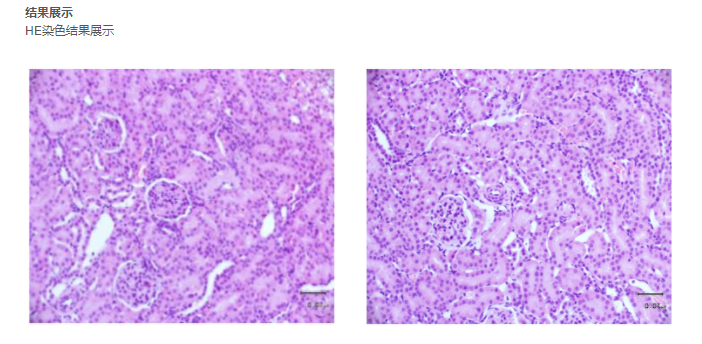
病理分析:肾小球轮廊不规则,弥漫性节段性硬化,大部分肾小表腔狭窄或消失,球袁粘连,肾小袁内无异物,肾小球内及*周可见少许淋巴细胞及中性粒细胞浸润,肾小管.集合管排列尚紧密整齐。肾小管上皮细胞部分空泡变性,完整胞核呈圆形。肾间质少许淋巴细胞浸润,小动脉管壁增厚,管腔狭窄,玻璃样变性、硬化。
实验完成周期及交付标准
1.实验周期: 1-2周
2.交付标准:蜡块、切片、染色图片.实验报告(试剂、仪器、材料等)
需确认的信息
1.样本种属?
2.样本类型(固定液固定组织or蜡块or切片)
3.取材要求?横切还是纵切?
4.拍照要求,需要几个倍数,是否需要扫描?
免疫组化IHC染色实验服务
细胞、组织TUNEL凋亡染色实验服务
风险提示:丁香通仅作为第三方平台,为商家信息发布提供平台空间。用户咨询产品时请注意保护个人信息及财产安全,合理判断,谨慎选购商品,商家和用户对交易行为负责。对于医疗器械类产品,请先查证核实企业经营资质和医疗器械产品注册证情况。
- 作者
- 内容
- 询问日期
文献和实验苏木素-伊红染色(HE染色法)整个染色过程包括五个内容:脱蜡,染色,脱水,透明和封固。(一)脱蜡:1.从温箱中取出烤干的切片,立即投入二甲苯中脱蜡5~10min(可在二瓶中进行),脱蜡时间长短取决于蜡是不彻底溶解。气温低可延长时间,气温高可适当缩短时间或在温箱中加速脱蜡。2.移入无水酒精(100%)(二瓶)中,约2min。3.移入90%酒精中(二瓶),约2min。4.移入80%酒精中(二瓶),约2min。5.移入70%酒精中,约2min。6.移入水中,洗去酒精,约2~3min。7.移入蒸馏
相关专题 本篇文章主要介绍了采用苏木素(Hematoxylin)-伊红(Eosin)染色法对细胞染色的实验原理、实验用品和具体实验步骤。 HE染色法 一、原理 苏木素(Hematoxylin)-伊红(Eosin)染色法,简称HE染色法。 HE染色法采用两种染料即碱性染料苏木素和酸性染料伊红分别于细胞核 和细胞质发生作用,使细胞的微细结构通过颜色而改变它的折光率,从而在光镜下能清晰地呈现出细胞图像。该染色过程既有化学
陈中超 西南交通大学 05级生物工程1班20054886 摘 要:HE是苏木精(hematoxylin)和伊红(eosin)的首个字母缩写。苏木精是碱性染料,使细胞核染色质和胞质内的核糖体呈紫蓝色。伊红是酸性染料,使细胞质和细胞外基质中带较强碱基的蛋白质成份着红色。通过本实验掌握石蜡切片HE染色技术,探讨一种适合动物材料的最佳HE染色方法。我们分别用不同固定
技术资料暂无技术资料 索取技术资料










