万千商家帮你免费找货
0 人在求购买到急需产品
- 详细信息
- 文献和实验
- 技术资料
- 提供商:
上海达为科生物科技有限公司
- 服务名称:
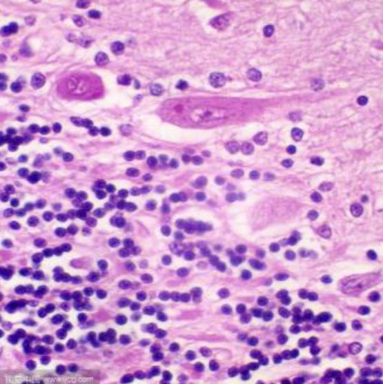
尼氏染色
尼氏染色是上海达为科生物病理平台实验组成之一, 作为常见病理实验,日常实验之一。病理实验由从事生物实验专业,经验丰富的人员进行操作。
尼氏染色主要是进行组织形态观察,其结果通过照片形式展现。通过对组织形态观察,了解实验结果,验证实验结果,对后续实验进行把控等。
公司投资建立了1800平方米的动物中心,能够为广大客户提供更为专业的实验动物饲养及造模服务。
通过全体员工的共同努力,公司具备从上游的高通量筛选到下游特定基因功能解析的完善整合技术平台,能够真正为客户提供专业、完善的技术解决方案和服务。我们拥有专业的实验室、先进的实验设备和经验丰富的科研技术人员。通过高度细分、较好的的服务平台,为广大客户提供了完善的技术解决方案和服务。
风险提示:丁香通仅作为第三方平台,为商家信息发布提供平台空间。用户咨询产品时请注意保护个人信息及财产安全,合理判断,谨慎选购商品,商家和用户对交易行为负责。对于医疗器械类产品,请先查证核实企业经营资质和医疗器械产品注册证情况。
文献和实验大脑皮质的这些神经元是以分层方式排列的,除大脑的个别区域外,一般可分为6层,从表面至深层的结构如下(图7-31): 图7-31 大脑皮质6层结构 (1)银染法示神经元形态 (2)尼氏染色示6层结构 (3)髓鞘染色示神经纤维的分布 (1)分子层(molecular layer):神经元小而少,主要是水平细胞和星形细胞,还有许多与皮质表面平行的神经纤维。 (2)外颗粒层(external granular layer):主要由许多星形细胞和少量小型锥体
。 尼氏染色 染色 观察脑或脊髓等中枢神经系统内神经元尼氏体的变化 LFB髓鞘染色 染色 观察神经髓鞘的形态及变化 普鲁士蓝染色 染色 常用于吞噬细胞内铁粒子的含量和定位 VG染色 染色 显示组织胶原纤维及肌纤维的形态及变化 EVG染色 染色 观察血管弹性纤维的形态及变化 VonKossa染色 染色 观察组织内病理性钙沉积情况
因子的破膜 【求助】免疫组化检测VEGF 【求助】免疫电镜的切片问题,请教 【求助】ECM1(细胞外基质蛋白1)方面的试验 【求助】酶标板能否用洗液洗涤 【求助】P物质在脊髓中的分布 【求助】CK18与TPS的区别 【求助】尼氏染色的详细步骤 【求助】关于磷酸化CDK1免疫荧光的问题 【求助】检测肾脏石蜡切片的MCP-1含量 【求助】关于皮肤基底膜的染色方法 【求助】关于AEC染色 【求助】寻求噬菌体抗体库! 【求助】帮帮










