万千商家帮你免费找货
0 人在求购买到急需产品
- 详细信息
- 技术资料
- 提供商:
上海达为科生物科技有限公司
- 服务名称:
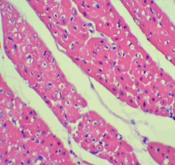
上海肝脏HE染色实验
常规组织切片基本为无色透明,在一般光镜下不易观察,因此要根据组织不同结构的特异性来选择不同的实验方法。苏mu精—伊红染色法,简称HE染色法,病理技中常用的染色法之一 。苏mu精染液为碱性,使细胞核着紫蓝色;伊红为酸性,使细胞质着红色,HE染色法是组织学、病理学研究中使用广泛的技术方法,用来观察组织的基本结构。
整个染色过程包括五个内容:脱蜡,染色,脱水,透明和封固。
(一)脱蜡:
1.从温箱中取出烤干的切片,立即投入二甲苯中脱蜡5~10min(可在二瓶中进行),脱蜡时间长短取决于蜡是不溶解。气温低可延长时间,气温高可适当缩短时间或在温箱中加速脱蜡。
2.移入无水jiu精(二瓶)中,约2min。
3.移入90%酒精中(二瓶),约2min。
4.移入80%酒精中(二瓶),约2min。
5.移入70%酒精中,约2min。
6.移入水中,洗去酒精,约2~3min。
7.移入蒸馏水中,约2min。
(二)染色:
1.移入苏mu素中,浸染8~15min,一般以稍深染为宜。
2.移入水中,洗去苏mu素和浮色,约1~2min。
3.移入分化液(1%盐酸酒精)中,分化几秒至30秒钟,使切片褪色至淡兰红色即可。分化的作用,可使细胞浆兰色脱去,而细胞核更加清晰,鲜丽,分化不足时,胞浆带兰,胞核过染,分化过度时,胞核太淡,难以辩认,可再退回苏mu素染液, 延长时间。
4.移入流水中,洗涤30~60min,使组织呈鲜兰色或天兰色(兰化)。
5.移入伊红液中,浸染2~5min,如着染缓慢 , 可在伊红液中加入冰cu酸 (100ml伊红液加1~2滴冰cu酸)以助染。
6.移入水中,洗去伊红浮液,并用纱布擦净玻片上的多余染料。
(三)脱水:
1.吸去玻片上的水分后多入80%酒精中,(二瓶)脱水,约1~2min, 如在酒精中褪色很快时,可迅速移入90%酒精或返回伊红液中复染。
2.移入90%酒精中(二瓶)脱水,约2~4min。
3.移入无水jiu精(酒精)(二瓶)脱水,约4~8min。
(四)透明
1.移入二甲苯Ⅰ中透明3~5min。
2.移入二甲苯Ⅱ中透明5~10min。
(五)封固:
用树胶封固,先从二甲苯Ⅱ中取出切片,将组织外围的二甲苯迅速擦去,在滴上一滴树胶于组织片上,然后取干净的盖玻片,仔细加在封固剂上,慢慢压平, 使盖片位置适中。切片封固后,放在温箱中烤干,或平置凉干后装盒。

风险提示:丁香通仅作为第三方平台,为商家信息发布提供平台空间。用户咨询产品时请注意保护个人信息及财产安全,合理判断,谨慎选购商品,商家和用户对交易行为负责。对于医疗器械类产品,请先查证核实企业经营资质和医疗器械产品注册证情况。
技术资料暂无技术资料 索取技术资料









