万千商家帮你免费找货
0 人在求购买到急需产品
- 详细信息
- 技术资料
- 提供商:
上海达为科生物科技有限公司
- 服务名称:
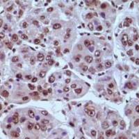
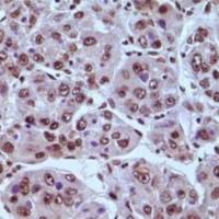
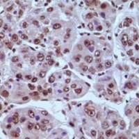
免疫组化实验
| 品牌 | 其他品牌 | 应用领域 | 医疗卫生,生物产业 |
|---|
细胞爬片免疫组化实验服务是达为科生物的基础服务项目之一,由专业的实验人员操作完成。
专业实验技术服务:
转录组学:microRNA芯片、LncRNA芯片、表达谱芯片、RNA-seq
基因检测:DNA/RNA提取、RT-PCR、Real-timePCR
蛋白质检测:Western blot、Co-ip EMSA、CHIP、免疫荧光、ELISA
基因组学:基因芯片、SNP检测、DNA甲基化检测、生物信息学分析
病理检测:HE染色、特殊染色、组织切片、免疫组化、流式细胞分选
蛋白质组学:2D-DIGE、SILAC、iTRAQ、TMT、Label-free、MRM
代谢组学:GC-MS、LC-MS、NMR
细胞及动物模型:原代细胞、细胞模型、动物模型构建等
上海达为科生物科技有限公司,公司位于上海长江软件园,实验室面积600多平方米。我们拥有专业的实验室、先进的实验设备和经验丰富的科研技术人员。技术团队包括研究员(博士后)2人,助理研究员(博士)4人,核心研究员(硕士)15人,主要致力于基因组学、转录组学、蛋白质组学、代谢组学、生物化学、病理检测、基因检测等技术在科研中的应用与推广。公司目前具备较好的生物学、医学技术服务平台,能够为广大客户提供医学科研样本检测、合作研究、开发及生产服务。
风险提示:丁香通仅作为第三方平台,为商家信息发布提供平台空间。用户咨询产品时请注意保护个人信息及财产安全,合理判断,谨慎选购商品,商家和用户对交易行为负责。对于医疗器械类产品,请先查证核实企业经营资质和医疗器械产品注册证情况。
技术资料暂无技术资料 索取技术资料
上海细胞爬片免疫组化实验
询价









