相关产品推荐更多 >
万千商家帮你免费找货
0 人在求购买到急需产品
- 详细信息
- 询价记录
- 文献和实验
- 技术资料
“一站式”生物技术综合服务:病理形态学试验,特殊样本制作,特殊染色试验,免疫学试验——免疫组化实验-IHC,免疫细胞学实验-ICC,免疫荧光实验-IF,原位杂交-IHS,荧光原位杂交实验-FISH,分子生物学试验——蛋白印迹实验-WB,酶联免疫吸附试验-Elisa,细胞凋亡试验-TUNEL,聚合酶链式反应-PCR。
在常规石蜡切片或组织芯片上为您代做免疫组化实验。在征得您的确认之后可代购抗体。
各种组织样本处理、HE染色、大样本制作、特殊染色、组织芯片设计制作、镜下拍照、结果分析。
严谨的态度,精湛的技术,热情的服务——我们追求的理想境界!
免疫组织化学实验(免疫组化-IHC)是利用抗原与抗体特异性结合的原理,通过化学反应及抗体的显色剂显色来确定组织细胞内抗原(多肽和蛋白质),对其进行定性、定位及半定量的研究,实验准备简捷、费用低廉、结果可靠、准确定性、准确定位是免疫组化实验的最大特点,在科研开发实验中拥有不可替代的优势。
组织芯片在免疫组化方面应用
目前国内外多家单位均已采用组织芯片进行免疫组织化学染色的质量控制和标准化。这种工作每年进行两次。每次由一个单位负责将组织芯片做成很多连续切片,分发给各个自愿参加质量控制及标准化的单位,并要求做一些抗体染色,然后,大家再聚在一起观察各单位的切片,讨论和评估结果。标准化的组织芯片能有效地评估抗体和探针的特异性和敏感性,以及组织固定,抗原修复和组织染色的情况。
组织芯片在免疫组化方面应用特点
高质量、易用性、完整性、多样化(不同点数芯片、不同组织点直径芯片、不同版式芯片、不同疾病芯片、不同种类芯片)、 样本量多、数据可靠。
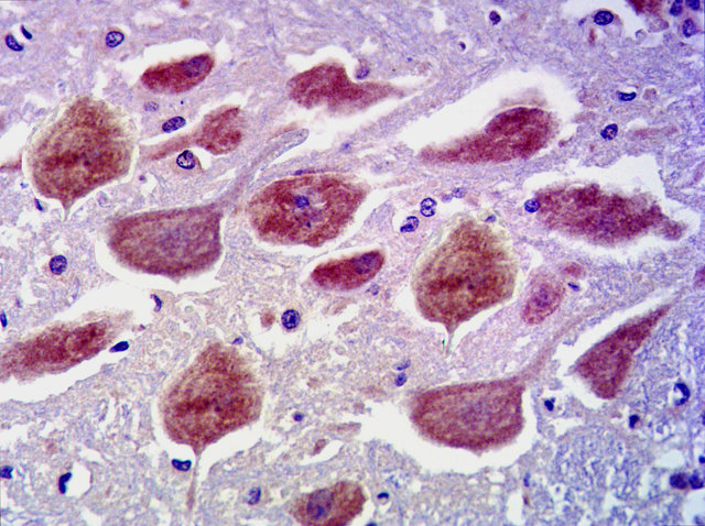
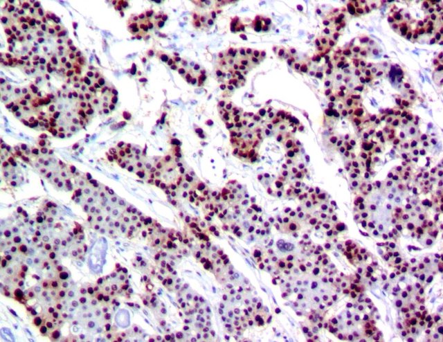
下图分别为细胞浆阳性表达,细胞核阳性表达,细胞膜阳性表达
在常规石蜡切片或组织芯片上为您代做免疫组化实验。在征得您的确认之后可代购抗体。
各种组织样本处理、HE染色、大样本制作、特殊染色、组织芯片设计制作、镜下拍照、结果分析。
严谨的态度,精湛的技术,热情的服务——我们追求的理想境界!
免疫组织化学实验(免疫组化-IHC)是利用抗原与抗体特异性结合的原理,通过化学反应及抗体的显色剂显色来确定组织细胞内抗原(多肽和蛋白质),对其进行定性、定位及半定量的研究,实验准备简捷、费用低廉、结果可靠、准确定性、准确定位是免疫组化实验的最大特点,在科研开发实验中拥有不可替代的优势。
组织芯片在免疫组化方面应用
目前国内外多家单位均已采用组织芯片进行免疫组织化学染色的质量控制和标准化。这种工作每年进行两次。每次由一个单位负责将组织芯片做成很多连续切片,分发给各个自愿参加质量控制及标准化的单位,并要求做一些抗体染色,然后,大家再聚在一起观察各单位的切片,讨论和评估结果。标准化的组织芯片能有效地评估抗体和探针的特异性和敏感性,以及组织固定,抗原修复和组织染色的情况。
组织芯片在免疫组化方面应用特点
高质量、易用性、完整性、多样化(不同点数芯片、不同组织点直径芯片、不同版式芯片、不同疾病芯片、不同种类芯片)、 样本量多、数据可靠。
下图分别为细胞浆阳性表达,细胞核阳性表达,细胞膜阳性表达
风险提示:丁香通仅作为第三方平台,为商家信息发布提供平台空间。用户咨询产品时请注意保护个人信息及财产安全,合理判断,谨慎选购商品,商家和用户对交易行为负责。对于医疗器械类产品,请先查证核实企业经营资质和医疗器械产品注册证情况。
- 作者
- 内容
- 询问日期
文献和实验相关实验
性笔在组织周围画圈,然后滴加稀释好的一抗,如果做阴性对照实验,就在对照组的组织上滴加 PBS。加完一抗后于 4 °C湿盒中孵育过夜。(抗体的最佳稀释比应预先通过实验确定,时间控制在 15h 以上)。 PBS 冲洗切片 3 次,每次 3 min,吸水纸擦干切片后滴加辣根过氧化物酶标记二抗 ,37 ℃ 孵育 30 min。 信号检测 PBS 冲洗切片 4 次,每次 3 min,甩去 PBS 液体后吸水纸擦干切片,每张切片滴加新鲜配制的 DAB 显色液,显微镜下观察,阳性信号为棕黄色或棕褐色,时间
免疫组化(IHC)实验流程。
免疫组化技术是病理科主要的辅助诊断技术之一,质量控制要求严格,目前病理技术人员关注的焦点一般在操作流程及抗体质量上,而一直忽视实验用水的质量问题。 免疫组化实验流程较多,常涉及烤片,脱蜡,水化,抗原修复,抗体孵育,显色,复染,脱水及封片。实验用水常为蒸馏水或纯水,其中蒸馏水是将水蒸馏后去除电解质及与水沸点相差较大的非电解质,如屈臣氏饮用水; 而纯水则利用反渗透法去掉了水中的全部非水物质(全部电解质与非电解质) ,是一种偏酸(pH 6.0) 、硬度及矿物元素水平极低的软水。
技术资料暂无技术资料 索取技术资料
代做免疫组化实验
¥800










