万千商家帮你免费找货
0 人在求购买到急需产品
- 详细信息
- 技术资料
- 提供商:
上海达为科生物科技有限公司
- 服务名称:
免疫组化实验
免疫组化实验
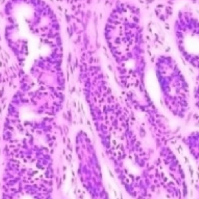
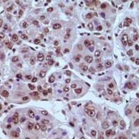
免疫组织化学 (IHC) 用来检测福尔马林固定、石蜡包埋 (FFPE) 组织样品中的蛋白质表达。可以通过显色法检测或荧光检测评估蛋白质表达。两种检测体系均依赖于一抗介导的抗原识别。显色 IHC 利用酶催化色原在抗原位置处的沉积,而荧光 IHC 利用荧光基团通过直接或间接免疫荧光法来辅助观察目的抗原。尽管两种检测系统均允许某种程度的多通道检测(检测两种或多种靶标),荧光方法特别适用于检测多靶标(多达 6 种或更多)。
免疫组化实验的分类: 免疫组织化学技术按照标记物的种类可分为免疫荧光法、免疫酶法、免疫铁蛋白法、免疫金法等。
主要步骤:
洗载玻片
包埋组织
切片
捞组织
脱蜡
抗原修复
血清封闭
加一抗
加二抗
加SABC
加显色剂
复染
脱水
封片
服务内容:包含抗体,包埋,切片,染色以及拍照。(每个样本提供一张照片包含阳性面积)加拍另外计费。
上海达为科生物科技有限公司,公司位于上海长江软件园,实验室面积600多平方米。我们拥有专业的实验室、先进的实验设备和经验丰富的科研技术人员。技术团队包括研究员(博士后)2人,助理研究员(博士)4人,核心研究员(硕士)15人,主要致力于基因组学、转录组学、蛋白质组学、代谢组学、生物化学、病理检测、基因检测等技术在科研中的应用与推广。公司目前具备较好的生物学、医学技术服务平台,能够为广大客户提供医学科研样本检测、合作研究、开发及生产服务。能为广大科研爱好者提供专业的生物实验技术服务,如动物实验、细胞实验、分子实验、病理实验等。
免疫组织化学 (IHC) 用来检测福尔马林固定、石蜡包埋 (FFPE) 组织样品中的蛋白质表达。可以通过显色法检测或荧光检测评估蛋白质表达。两种检测体系均依赖于一抗介导的抗原识别。显色 IHC 利用酶催化色原在抗原位置处的沉积,而荧光 IHC 利用荧光基团通过直接或间接免疫荧光法来辅助观察目的抗原。尽管两种检测系统均允许某种程度的多通道检测(检测两种或多种靶标),荧光方法特别适用于检测多靶标(多达 6 种或更多)。
免疫组化实验的分类: 免疫组织化学技术按照标记物的种类可分为免疫荧光法、免疫酶法、免疫铁蛋白法、免疫金法等。
主要步骤:
洗载玻片
包埋组织
切片
捞组织
脱蜡
抗原修复
血清封闭
加一抗
加二抗
加SABC
加显色剂
复染
脱水
封片
服务内容:包含抗体,包埋,切片,染色以及拍照。(每个样本提供一张照片包含阳性面积)加拍另外计费。
上海达为科生物科技有限公司,公司位于上海长江软件园,实验室面积600多平方米。我们拥有专业的实验室、先进的实验设备和经验丰富的科研技术人员。技术团队包括研究员(博士后)2人,助理研究员(博士)4人,核心研究员(硕士)15人,主要致力于基因组学、转录组学、蛋白质组学、代谢组学、生物化学、病理检测、基因检测等技术在科研中的应用与推广。公司目前具备较好的生物学、医学技术服务平台,能够为广大客户提供医学科研样本检测、合作研究、开发及生产服务。能为广大科研爱好者提供专业的生物实验技术服务,如动物实验、细胞实验、分子实验、病理实验等。
风险提示:丁香通仅作为第三方平台,为商家信息发布提供平台空间。用户咨询产品时请注意保护个人信息及财产安全,合理判断,谨慎选购商品,商家和用户对交易行为负责。对于医疗器械类产品,请先查证核实企业经营资质和医疗器械产品注册证情况。
技术资料暂无技术资料 索取技术资料
大鼠免疫组化实验
询价









