万千商家帮你免费找货
0 人在求购买到急需产品
- 详细信息
- 询价记录
- 文献和实验
- 技术资料
- 提供商:
中科光华(西安)智能生物科技有限公司
- 服务名称:
免疫组化服务
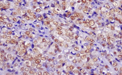
免疫组化(IHC)实验:免疫组化,是应用免疫学基本原理——抗原抗体反应,即抗原与抗体特异性结合的原理,通过化学反应使标记抗体的显色剂显色来确定组织细胞内抗原(多肽和蛋白质),对其进行定位、定性及相对定量的研究,称为免疫组织化学技术。
免疫组化实验特点: 实验周期短,预实验 1周/抗体,正式试验 1周/抗体。由病理主任级别的病理医生出具实验报告,内附3对检测片照片及对应的阴对照片。
免疫组化实验流程和注意事项如下,请仔细阅读:
(1)如果您提供的一抗是鼠抗或兔抗,则不需要提供二抗。如果是其他一抗,要将所对应的二抗一并寄来。若是商品化抗体,最好是该抗体有进行过IHC(人或某种动物的石蜡或冰冻组织)验证。(当然也有抗体没有进行过IHC的验证数据,但有WB/ICC/IF的结果也是可以进行IHC实验的。)
(2)一抗寄来后,首先开展预实验,每个抗体做完预实验,我们随机给您提供3张预实验结果数码照片(最佳抗体浓度结果),让您确认是否开展正式实验。预实验过程中的芯片最终是不寄回给您的,只寄正式实验后芯片。正式实验完成后,出具实验报告。
(3)附件有实验报告样本,试验周期:一般2周之内可以出预实验结果,若您时间紧迫,我们也可优先进行。我们是款到开展试验,确定需要开展后,请汇款并来信告知发票抬头、收货人详细地址及联系方式,以便将随后将试验后芯片和发票快递给您。
(4)发票提供的是3%普通发票。
(5)抗体的量根据效价决定,一般情况下,每个抗体寄40微升原液,若整个实验未用尽我们会回寄给您(冰袋回寄免快递费)。
免疫组化实验特点: 实验周期短,预实验 1周/抗体,正式试验 1周/抗体。由病理主任级别的病理医生出具实验报告,内附3对检测片照片及对应的阴对照片。
免疫组化实验流程和注意事项如下,请仔细阅读:
(1)如果您提供的一抗是鼠抗或兔抗,则不需要提供二抗。如果是其他一抗,要将所对应的二抗一并寄来。若是商品化抗体,最好是该抗体有进行过IHC(人或某种动物的石蜡或冰冻组织)验证。(当然也有抗体没有进行过IHC的验证数据,但有WB/ICC/IF的结果也是可以进行IHC实验的。)
(2)一抗寄来后,首先开展预实验,每个抗体做完预实验,我们随机给您提供3张预实验结果数码照片(最佳抗体浓度结果),让您确认是否开展正式实验。预实验过程中的芯片最终是不寄回给您的,只寄正式实验后芯片。正式实验完成后,出具实验报告。
(3)附件有实验报告样本,试验周期:一般2周之内可以出预实验结果,若您时间紧迫,我们也可优先进行。我们是款到开展试验,确定需要开展后,请汇款并来信告知发票抬头、收货人详细地址及联系方式,以便将随后将试验后芯片和发票快递给您。
(4)发票提供的是3%普通发票。
(5)抗体的量根据效价决定,一般情况下,每个抗体寄40微升原液,若整个实验未用尽我们会回寄给您(冰袋回寄免快递费)。





中科光华(西安)智能生物科技有限公司是一家专业为生命科学研究提供一站式服务的新型高科技企业。公司拥有独立的病理学实验平台、免疫学实验平台、生化实验平台和生物信息学等平台。提供各种组织生物样本技术服务、研发、产品开发、生产和销售。公司引进的全套先进设备仪器建立了一整套以生物组织为主的产品以及技术服务。与国家、省级公共实验平台及国内知名高校生命科学研究实验室建立了广泛的合作关系。
拥有庞大的石蜡、冰冻组织芯片及组织库,拥有专业的技术服务团队,无论是形态病理学服务还是分子生物学服务,尤其是具有丰富的免疫组化实验经验,公司拥有一批生物医学背景、热爱生命科学研究的留美博士和国内知名高校的博士、硕士研究生、高级技师和经验丰富的实验操作技术人员组成,并由主任级病理医生出具实验报告,为客户提供最可靠优质的服务体验。公司承接整体课题研究,可开展分子生物实验技术、细胞实验技术、病理实验技术、荧光原位杂交技术等服务,并提供有关技术攻关、研发等相关服务。我们将致力于全心全意为各大知名企业,高校,研究所及医院提供优质的服务。
我公司现已优惠的价格提供以下服务:
病理切片制作服务---取材、处理、包埋、切片、H&E染色、诊断。
组织芯片定制 --- 亦称组织微阵列,tissu microarray,TMA,是将数十个、数百个组织标本整齐地排列在同一张载玻片上的微缩组织切片。可根据客户的实验需求,由专业的芯片设计师为您量身定制各种点样和病例数的TMA。
免疫组化 --- 实验周期短,预实验 1周/抗体,正式试验 1周/抗体。由病理主任级别的病理医生出具实验报告,内附3对检测片照片及对应的阴对照片。
风险提示:丁香通仅作为第三方平台,为商家信息发布提供平台空间。用户咨询产品时请注意保护个人信息及财产安全,合理判断,谨慎选购商品,商家和用户对交易行为负责。对于医疗器械类产品,请先查证核实企业经营资质和医疗器械产品注册证情况。
- 作者
- 内容
- 询问日期
文献和实验相关实验
免疫组化(IHC)实验流程。
免疫组织化学(immunohistochemistry,IHC)是一门利用酶、荧光素、生物素、重金属离子等 作为示踪剂,通过免疫亲和(抗原抗体特异性结合),在组织切片或细胞薄片上原位显示追踪 生物体内大分子物质动态变化规律的实用性染色技术。按其主要示踪原理可以分为免疫组化(默 认酶标法)、免疫荧光法、胶体金法等 作用:通过颜色来显示蛋白质的有无、定位(胞外、胞膜、胞浆、胞核)、含量变化 样本种类: 按来源:①组织;②培养细胞 按制作方式:①石蜡片(IHC-P)②冰冻片(IHC-F)③细胞
什么是免疫组化? 实验流程及注意事项 实验结果分析及常见问题
技术资料免疫组化(IHC)实验
询价










