万千商家帮你免费找货
0 人在求购买到急需产品
- 详细信息
- 技术资料
- 提供商:
上海达为科生物科技有限公司
- 服务名称:
上海免疫组化实验
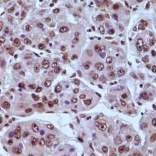
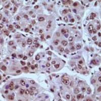
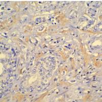
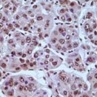
一、基本原理
- 抗原抗体特异性结合
利用已知抗体标记显色剂(如荧光素、酶、胶体金等),与组织或细胞中的抗原结合,通过化学反应显色,实现抗原的可视化。 - 标记物显色
根据标记物类型不同,显色方式包括荧光显微镜观察(荧光素)、酶催化底物显色(如DAB)或电子显微镜观察(胶体金)。
二、技术分类
- 按标记物分类
- 免疫荧光法:荧光素标记抗体,荧光显微镜下观察。
- 免疫酶法:酶(如HRP)标记抗体,催化底物生成有色产物(如DAB显 brown 色)。
- 免疫金法:胶体金标记抗体,电子显微镜下高分辨率定位。
- 按操作步骤分类
- 直接法:抗体直接标记显色剂,步骤简单但灵敏度低。
- 间接法:通过二抗或桥联物放大信号,灵敏度高(如PAP法、ABC法)。
三、主要应用
- 病理诊断
- 判断肿瘤类型(如腺癌、鳞癌)、良恶性鉴别及转移灶溯源。
- 辅助软组织肿瘤分类,解决形态学难以区分的问题。
- 治疗与预后评估
- 指导靶向治疗(如HER2检测)、预测药物敏感性。
- 评估肿瘤侵袭性及患者生存率。
- 科研与检测
- 分析细胞因子、激素受体分布(如ER/PR检测)。
- 研究蛋白质表达与疾病关联(如Ki67增殖指数)。
四、实验流程(以石蜡切片为例)
- 样本处理
- 脱蜡至水,抗原修复(微波或高压锅加热暴露抗原)。
- 免疫反应
- 封闭非特异性位点(如正常血清),孵育一抗(4℃过夜或37℃1-2小时)。
- 加二抗及酶标试剂(如HRP聚合物),显色(DAB/AEC)。
- 后处理
- 复染(苏木素染细胞核)、脱水封片,镜检分析。
五、关键注意事项
- 组织固定
- 及时使用4%多ju甲醛固定,避免抗原降解。
- 抗体选择
- 单克隆抗体特异性高,多克隆抗体灵敏度高,需根据抗原特性选择。
- 显色控制
- 显色时间需严格监控,过长导致背景染色,过短则信号弱。
- 背景干扰
- 灭活内源性酶(如H₂O₂)、优化封闭步骤以减少非特异性染色。

风险提示:丁香通仅作为第三方平台,为商家信息发布提供平台空间。用户咨询产品时请注意保护个人信息及财产安全,合理判断,谨慎选购商品,商家和用户对交易行为负责。对于医疗器械类产品,请先查证核实企业经营资质和医疗器械产品注册证情况。
技术资料暂无技术资料 索取技术资料
上海免疫组化实验
询价









