相关产品推荐更多 >

Apolipoprotein E4 Rabbit pAb, AP conjugated(bs-5038R-AP)-100ul
¥2980
PDE3B Rabbit pAb, HRP conjugated(bs-8621R-HRP)-100ul
¥2980
Caspase-9 Rabbit pAb(bs-0049R)-50ul/100ul/200ul
¥1180
HIF-1 Alpha Rabbit pAb, APC conjugated(bs-0737R-APC)-100ul
¥2980
phospho-TIRAP (Tyr86) Rabbit pAb, Cy7 conjugated(bs-7562R-Cy7)-100ul
¥2980
万千商家帮你免费找货
0 人在求购买到急需产品
- 详细信息
- 文献和实验
- 技术资料
- 应用范围:
产品信息以Bioss网站为准
- 规格:
50ul/100ul/200ul
| 规格: | 50ul | 产品价格: | ¥1180.0 |
|---|---|---|---|
| 规格: | 100ul | 产品价格: | ¥1980.0 |
| 规格: | 200ul | 产品价格: | ¥2800.0 |
| 产品编号 | bs-2592R |
| 英文名称 | JNK1+JNK2+JNK3 Rabbit pAb |
| 中文名称 | 氨基末端激酶1/2/3抗体 |
| 英文别名 | JNK1+JNK2+JNK3; JNK1/2/3; JNK1+2+3; JNK1+JNK2+JNK3; MAPK10; c Jun N terminal kinase 1; c Jun N terminal kinase 2; c Jun N terminal kinase 3; JNK; JNK1; JNK2; JNK2ALPHA; JNK2BETA; JNK3; MAPK8; MAPK9; Mitogen activated protein kinase 10; Mitogen activated protein kinase 8; Mitogen activated protein kinase 9; SAPK(beta); Stress activated protein kinase JNK1; Stress activated protein kinase JNK2; Stress activated protein kinase JNK3; SAPK; p54a; JNK2A; JNK2B; PRKM9; JNK-55; SAPK1a; JNK2BETA; p54aSAPK; JNK2ALPHA. |
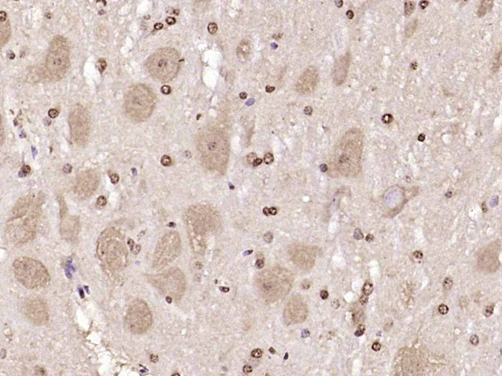
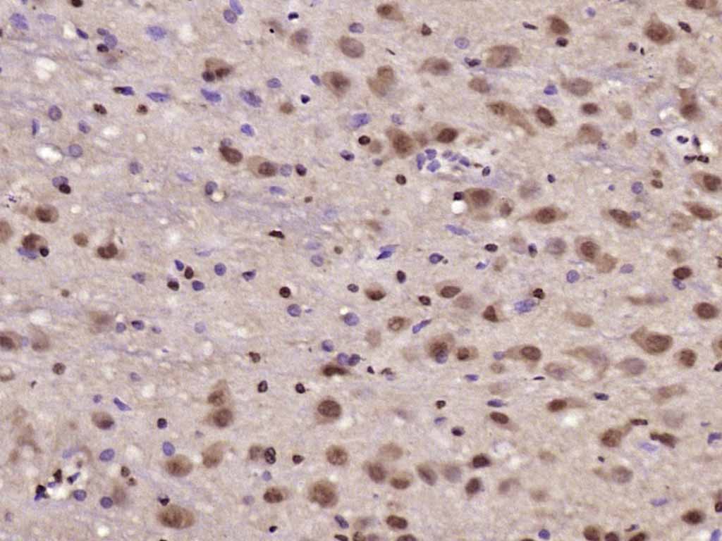
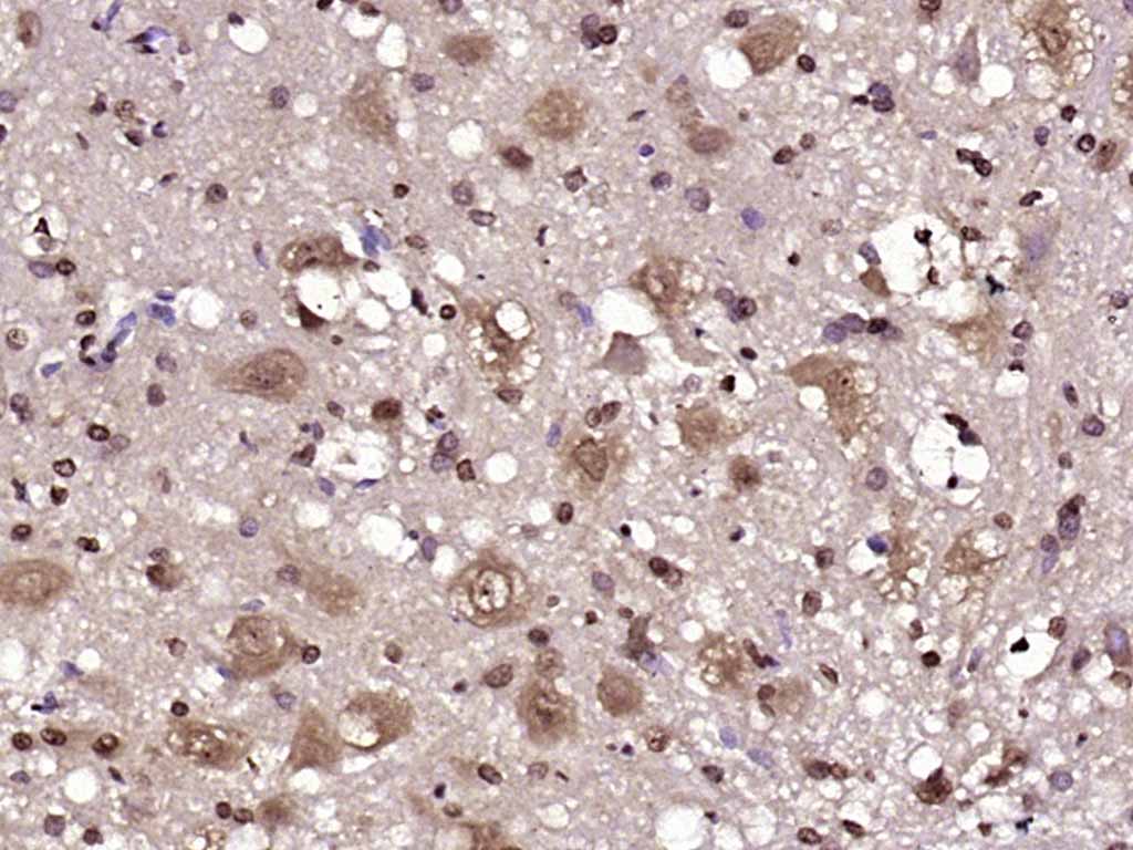
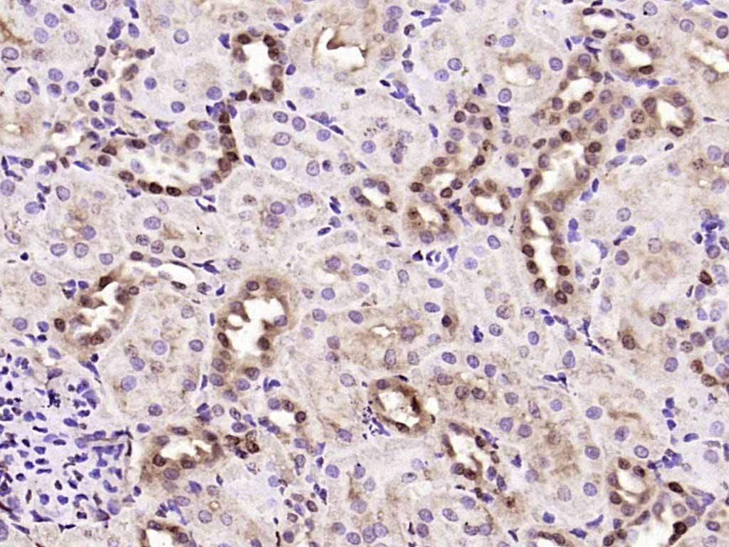
| 产品应用 | WB=1:500-2000, IHC-P=1:100-500, IHC-F=1:100-500, ICC/IF=1:100-500, IF=1:100-500, Flow-Cyt=1ug/Test Not yet tested in other applications. |
| 交叉反应 | Human, Mouse, Rat (Dog, Pig, Cow, Chicken) |
| 抗体来源 | Rabbit |
| 免疫原 | KLH conjugated synthetic peptide derived from human JNK1/2/3 |
| 亚型 | IgG |
| 性状 | Liquid |
| 纯化方法 | affinity purified by Protein A |
| 克隆类型 | Polyclonal |
| 理论分子量 | 42-47 kDa |
| 浓度 | 1mg/ml |
| 储存液 | 0.01M TBS (pH7.4) with 1% BSA, 0.02% Proclin300 and 50% Glycerol. |
| 研究领域 | Cancer > Signal transduction > Protein phosphorylation > Serine/threonine kinases > MAPK pathway Immunology > Innate Immunity > TLR Signaling Signal Transduction > Protein Phosphorylation > Ser / Thr Kinases > MAPK Pathway |
| 亚基 | Interacts with MECOM and DCLK2. Binds to at least four scaffolding proteins, MAPK8IP1/JIP-1, MAPK8IP2/JIP-2, MAPK8IP3/JIP-3/JSAP1 and SPAG9/MAPK8IP4/JIP-4. These proteins also bind other components of the JNK signaling pathway. Interacts with NFATC4. Interacts with ATF7; the interaction does not phosphorylate ATF7 but acts as a docking site for ATF7-associated partners such as JUN. Interacts with BCL10. Interacts with CTNNB1 and GSK3B. |
| 亚细胞定位 | Cytoplasm. Nucleus. |
| 翻译后修饰 | Dually phosphorylated on Thr-183 and Tyr-185 by MAP2K7 and MAP2K4, which activates the enzyme. Autophosphorylated in vitro. |
| 相似性 | Belongs to the protein kinase superfamily. CMGC Ser/Thr protein kinase family. MAP kinase subfamily.
Contains 1 protein kinase domain. |
| 功能 | Serine/threonine-protein kinase involved in various processes such as cell proliferation, differentiation, migration, transformation and programmed cell death. Extracellular stimuli such as proinflammatory cytokines or physical stress stimulate the stress-activated protein kinase/c-Jun N-terminal kinase (SAP/JNK) signaling pathway. In this cascade, two dual specificity kinases MAP2K4/MKK4 and MAP2K7/MKK7 phosphorylate and activate MAPK8/JNK1. In turn, MAPK8/JNK1 phosphorylates a number of transcription factors, primarily components of AP-1 such as JUN, JDP2 and ATF2 and thus regulates AP-1 transcriptional activity. Phosphorylates the replication licensing factor CDT1, inhibiting the interaction between CDT1 and the histone H4 acetylase HBO1 to replication origins. Loss of this interaction abrogates the acetylation required for replication initiation. Promotes stressed cell apoptosis by phosphorylating key regulatory factors including p53/TP53 and Yes-associates protein YAP1. In T-cells, MAPK8 and MAPK9 are required for polarized differentiation of T-helper cells into Th1 cells. Contributes to the survival of erythroid cells by phosphorylating the antagonist of cell death BAD upon EPO stimulation. Mediates starvation-induced BCL2 phosphorylation, BCL2 dissociation from BECN1, and thus activation of autophagy. Phosphorylates STMN2 and hence regulates microtubule dynamics, controlling neurite elongation in cortical neurons. In the developing brain, through its cytoplasmic activity on STMN2, negatively regulates the rate of exit from multipolar stage and of radial migration from the ventricular zone. Phosphorylates several other substrates including heat shock factor protein 4 (HSF4), the deacetylase SIRT1, ELK1, or the E3 ligase ITCH. |
| 保存条件 | Shipped at 4℃. Store at -20℃ for one year. Avoid repeated freeze/thaw cycles. |
| 注意事项 | This product as supplied is intended for research use only, not for use in human, therapeutic or diagnostic applications. |
| 背景资料 | phosphorylated at the Thr-Pro-Tyr phosphorylation motif instead of the characteristic MAP kinase Thr-Glu-Tyr motif. JNK2 (p54a, SAPK1a), along with JNK1 and JNK3, is thought to play an important role in nuclear signal transduction through its environmental stress activation and subsequent phosphorylation of the nuclear transcription factor p53. |
| 应用 | 推荐稀释比例 |
| {WB} | {1:500-2000} |
| {IHC-P} | {1:100-500} |
| {IHC-F} | {1:100-500} |
| {ICC/IF} | {1:100-500} |
| {IF} | {1:100-500} |
| {Flow-Cyt} | {1ug/Test} |


Kidney (Mouse) Lysate at 40 ug
Primary: Anti-JNK1+JNK2+JNK3 (bs-2592R) at 1/300 dilution
Secondary: IRDye800CW Goat Anti-Rabbit IgG at 1/20000 dilution
Predicted band size: 42-47 kD
Observed band size:42-52 kD






Primary Antibody (green line): Rabbit Anti-JNK1+JNK2+JNK3 antibody (bs-2592R)
Dilution: 1μg /10^6 cells;
Isotype Control Antibody (orange line): Rabbit IgG .
Secondary Antibody : Goat anti-rabbit IgG-AF647
Dilution: 1μg /test.
Protocol
The cells were fixed with 4% PFA (10min at room temperature)and then permeabilized with 90% ice-cold methanol for 20 min at-20℃. The cells were then incubated in 5%BSA to block non-specific protein-protein interactions for 30 min at room temperature .Cells stained with Primary Antibody for 30 min at room temperature. The secondary antibody used for 40 min at room temperature. Acquisition of 20,000 events was performed.


K562 (Human) Lysate at 30 ug
Primary: Anti-JNK1+JNK2+JNK3 (bs-2592R) at 1/300 dilution
Secondary: IRDye800CW Goat Anti-Rabbit IgG at 1/20000 dilution
Predicted band size: 42-47 kD
Observed band size:42-52 kD

Hela(Human) CellLysate at 30 ug
Primary: Anti-JNK1+JNK2+JNK3 (bs-2592R) at 1/300 dilution
Secondary: IRDye800CW Goat Anti-Rabbit IgG at 1/20000 dilution
Predicted band size: 42-47 kD
Observed band size:42-52 kD
风险提示:丁香通仅作为第三方平台,为商家信息发布提供平台空间。用户咨询产品时请注意保护个人信息及财产安全,合理判断,谨慎选购商品,商家和用户对交易行为负责。对于医疗器械类产品,请先查证核实企业经营资质和医疗器械产品注册证情况。
文献和实验[IF={{ 8.5 }}] {Liu-Lu Gao. et al. Acteoside suppresses hepatocellular carcinoma progression via modulation of macrophage migration inhibitory factor and mitogen-activated protein kinase proteins. INT J BIOL MACROMOL. 2025 Jun;:145579} {IHC,WB} {Human,Mouse}
[IF={{ 8.2 }}] {Xinyun Qin. et al. Regulation of the intestinal flora using polysaccharides from Callicarpa nudiflora Hook to alleviate ulcerative colitis and the molecular mechanisms involved. INT J BIOL MACROMOL. 2024 Feb;258:128887} {WB} {Mouse}
[IF={{ 8.2 }}] {Yun-shan Wei. et al. Regulation of the colon-targeted release rate of lactoferrin by constructing hydrophobic ethyl cellulose/pectin composite nanofibrous carrier and its effect on anti-colon cancer activity. INT J BIOL MACROMOL. 2024 Mar;261:129466} {WB} {Human}
[IF={{ 8.2 }}] {Jialei Tian. et al. Chondroitin sulphate modified MoS2 nanoenzyme with multifunctional activities for treatment of Alzheimer's disease. INT J BIOL MACROMOL. 2024 May;266:131425} {WB} {Human}
[IF={{ 8.039 }}] {Yifan Zhu. et al. Discovery of Selective P2Y6R Antagonists with High Affinity and In Vivo Efficacy for Inflammatory Disease Therapy. J MED CHEM. 2023;XXXX(XXX):XXX-XXX} {WB} {Mouse}
ANTIBODY BINDING TO PROTEIN A AND PROTEIN G
+/- ++ Hamster + ++ Guinea Pig ++++ ++ Rabbit ++++ +++ Horse ++ ++++ Cow ++ ++++ Pig +++ +++ Sheep
= NAL), appears to form upon oxidative cyclization of the nonfluorescent 2:1 lysine-HNE Michael adduct-Schiff base cross-link (Scheme 1). Polyclonal antibody (PAb) to the NAL-HNE fluorophore was raised in rabbit and found to be highly specific
GE Healthcare Benzamidine Sepharose™ 6B is p-aminobenzamidine covalently attached to Sepharose 6B by the epoxy coupling method. p-Aminobenzamidine (PAB), is a synthetic inhibitor of trypsin-like serine protease. Trypsin and trypsin
技术资料暂无技术资料 索取技术资料






