相关产品推荐更多 >
万千商家帮你免费找货
0 人在求购买到急需产品
- 详细信息
- 文献和实验
- 技术资料
- 免疫原:
Peptide sequence around aa.182~186 (M-T-P-Y-V) derived from Human JNK1 JNK2 JNK3.
- 形态:
liquid
- 保存条件:
Store at -20˚C
- 克隆性:
Polyclonal
- 适应物种:
Human;Mouse;Rat
- 保质期:
12 months
- 抗原来源:
Rabbit
- 供应商:
南京赛戈巍生物科技有限公司
- 宿主:
Rabbit
- 应用范围:
WB;IHC
- 靶点:
Uniprot:P45983
- 抗体英文名:
JNK1/JNK2/JNK3 Antibody
- 规格:
50ul/100ul
配方:Supplied at 1.0mg/mL in phosphate buffered saline (without Mg2+ and Ca2+), pH 7.4, 150mM NaCl, 0.02% sodium azide and 50% glycerol.
应用详情:
Predicted MW: 46/54kd
Western blotting: 1:500~1:1000
IHC 1:50-300
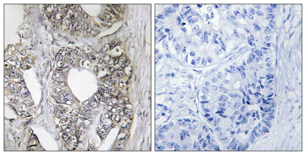
图片:

Western blot analysis of extracts from 293 and Hela cells using JNK1/JNK2/JNK3(Ab-183/185) Antibody #21504.
,

Immunohistochemistry analysis of paraffin-embedded human breast carcinoma tissue.
风险提示:丁香通仅作为第三方平台,为商家信息发布提供平台空间。用户咨询产品时请注意保护个人信息及财产安全,合理判断,谨慎选购商品,商家和用户对交易行为负责。对于医疗器械类产品,请先查证核实企业经营资质和医疗器械产品注册证情况。
文献和实验运用Cell Based Elisa检测信号通路蛋白和磷酸化蛋白
results of phosphorylated proteins磷酸化的试剂盒中的抗体是经过大量筛选,选取了高特异性和低背景的抗体。p-P38MAPK抗体是基于P38的磷酸化Thr180到Tyr182这个位点多肽片段所制备。P-JNK抗体是基于人的Thr183和Tyr185.这个抗体可以同时识别P-JNK1和P-JNK2.我们在运用Cell Based Elisa P38和JNK两个试剂盒做检测的同时,又用传统的WB方式来验证这个结果。经过反复验证,都得出了同样的结果, Cell Based
Generation of Antibody Molecules Through Antibody Engineering
been overcome to a large extent using genetic-engineering techniques to produce chimeric mouse/human and completely human antibodies. Such an approach is particularly suitable because of the domain structure of the antibody molecule ( 2 ), where functional
The importance of antibody molecules was first recognized in the 1890s, when it was shown that immunity to tetanus and diphtheria was caused by antibodies against the bacterial exotoxins (1 ). Around the same time, it was shown that antisera
技术资料暂无技术资料 索取技术资料





![GPANK1 Antibody[46566]](https://img1.dxycdn.com/p/s14/2025/0923/496/0462304380155040791.jpg!wh200)
![PMS2 Antibody[37216]](https://img1.dxycdn.com/p/s14/2025/0922/359/6146153295428599691.jpg!wh200)
![MDM2 (Phospho-Ser166) Conjugated Antibody[C14281]](https://img1.dxycdn.com/p/s14/2025/0922/632/2321321568067599691.jpg!wh200)
![Sox2 (phospho-Ser250/Ser251) rabbit pAb[13516]](https://img1.dxycdn.com/p/s14/2025/0922/498/0460884283108299691.jpg!wh200)

