万千商家帮你免费找货
0 人在求购买到急需产品
- 详细信息
- 文献和实验
- 技术资料
- 提供商:
上海达为科生物科技有限公司
- 服务名称:
油红O脂肪染色实验
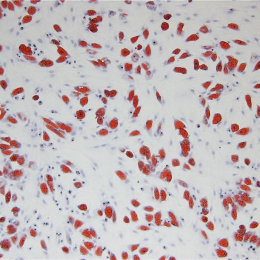
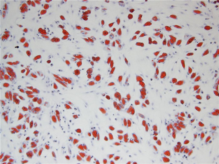
油红O染色是鉴定间充质干细胞向成脂细胞分化的一个重要指标。用特定的成脂诱导培养基(货号:CTCC-JD003)培养一段时间后 ,间充质干细胞可分化为成脂细胞,并在细胞中形成脂滴。油红O属于偶氮染料,是很强的脂溶剂和染脂剂,与甘油三酯结合呈小脂滴状。脂溶性染料能溶于细胞中的脂滴。当染料加入细胞中,染料则离开染液而溶于细胞内的脂滴中,使细胞内的脂滴星红色或橘红色。
油红O工作液制备:
油红染色液与染色稀释液按照3:2的比例进行稀释,混匀后室温静置10min,滤纸过滤;
移除孔内培养基,每孔加入2ml洗涤液1号静置1min后移除,洗涤2次;
每孔加入2ml固定液,37°C (或室温)固定30min ;
移除固定液。每孔加2ml洗涤液1号冲洗,洗涤2次;
每孔加入油红O工作液2ml,37°C (或室温)染色10-20min ;
每孔加入洗澡液3号2ml,快速移除,根据染色背景情况可重复1-2次;
每孔加洗涤液2号2ml,洗2次后显微镜下观察。
实验结果:脂滴呈橘红色至鲜红色,细胞核呈深蓝色。
风险提示:丁香通仅作为第三方平台,为商家信息发布提供平台空间。用户咨询产品时请注意保护个人信息及财产安全,合理判断,谨慎选购商品,商家和用户对交易行为负责。对于医疗器械类产品,请先查证核实企业经营资质和医疗器械产品注册证情况。
文献和实验小时后即可使用。 注:此液5天内失效,如此看来,浪费较大,建议配制70%酒精饱和液,或纯丙酮和70%酒精饱和液,它们使用方便,且不易失效。 结果:脂肪呈猩红色,比苏丹Ⅲ更为清晰。 三、油红染色法: 油红作为脂肪染色剂,其染色步骤简便,染色结果肯定,并且优于苏丹Ⅳ。 试剂配制: 油红O 0.5g 异丙醇(含量98%) 100ml 此为油红饱和液,可长期保存备用。 染色步骤: (1)冻切片 (2)蒸馏水充分洗涤
生化检测,又称临床化学,是在研究人体健康和疾病的生物化学过程变化的基础上,利用化学、生物学、病理学、免疫学、生物化学的理论与技术,通过检测人体血液、尿液、脑脊液等样本中化学物质的量与质的变化,为临床医生或研究者提供疾病诊断、病情监测等信息。 生化检测试剂盒,则为生化检测提供了便捷——将测定特定指标所需要的试剂制成可直接使用或简单配制即可使用的固体或液体,为广大科研工作者省去查询文献资料、采购各种化学试剂、摸索试验条件、优化实验体系等所需要的时间和精力,同时,也大大节约了样本量,获得更可靠
色或鲜红,核蓝色。 4、注意事项: (1)苏丹III IV是一种偶氮类染料,不溶于水,配制时只能用酒精或丙酮当溶剂。 (2)进入染液前,切片要经过酒精洗,但酒精浓度不能太高,这样染液可以减少沉淀。 (3)最好使用漂浮染色法。这样可充分显示脂类物质。 三、显示脂类的油红法: (1)操作步骤: 1、福尔马林固定后的恒冷箱切片附贴于载片上或游离切片,厚5-10nm, 2、60%异丙醇稍洗切片, 3、油红O液染5-15min, 4、60%异丙醇洗去多余染液, 5、自来水洗, 6、苏木
技术资料暂无技术资料 索取技术资料










