万千商家帮你免费找货
0 人在求购买到急需产品
- 详细信息
- 文献和实验
- 技术资料
- 提供商:
上海达为科生物科技有限公司
- 服务名称:
肺组织HE染色实验
-
取材和固定
-
取合适的肺组织样本,一般选择具有代表性的区域,如病变明显的部位或正常组织对照区域。组织块大小通常为 0.3 - 0.5cm × 0.3 - 0.5cm × 0.3 - 0.5cm。将组织放入 10% 的中性缓冲甲醛固定液中,固定时间一般为 12 - 24 小时。固定液的量应为组织体积的 10 - 20 倍,固定可以保存组织的形态,防止自溶和腐败。
-
-
脱水、透明和包埋
-
脱水:将固定后的肺组织依次放入 70%、80%、90%、95%(两次)和 100%(两次)乙醇中脱水,每次 1 - 2 小时。乙醇能逐渐替代组织中的水分,使组织变得硬实,便于切片。
-
透明:将脱水后的组织放入二甲苯中透明,一般先放入二甲苯 - 乙醇(1:1)混合液中 30 分钟左右,然后放入纯二甲苯中 1 - 2 小时。透明的目的是使组织变得透明,便于观察,同时为后续石蜡包埋做准备。
-
包埋:将透明后的组织放入熔化的石蜡中,等待石蜡凝固,形成蜡块。石蜡包埋可以将组织固定成一定的形状,便于切片。
-
-
切片
-
使用轮转式切片机将石蜡包埋好的肺组织切成厚度为 4 - 6μm 的切片。切片时要保持刀锋锐利,切片动作轻柔、均匀,以获得完整、平整的切片。
-
-
染色
-
脱蜡和水化:将切片放入二甲苯中脱蜡,每次 10 - 15 分钟,共 2 - 3 次,然后依次放入 100%、95%、80%、70% 乙醇中水化,每次 2 - 5 分钟,最后用蒸馏水冲洗。
-
苏木素染色:将切片放入苏木素染液中染色,一般染色 5 - 10 分钟。染色后用自来水冲洗片刻,再用盐酸酒精分化,分化至切片呈浅蓝色为止。分化后立即用自来水冲洗,终止分化反应,这一步是关键,分化过度会使细胞核颜色过浅,分化不足则会使切片整体呈蓝色。
-
伊红染色:将切片放入伊红染液中染色 2 - 5 分钟,然后用 70% 乙醇快速冲洗,去除多余的伊红染料。
-
-
脱水、透明和封片
-
脱水:依次将切片放入 70%、80%、90%、95%、100% 乙醇中脱水,每次 2 - 5 分钟。
-
透明:将切片放入二甲苯中透明,一般 2 - 3 次,每次 5 - 10 分钟,使切片变得透明。
-
封片:在切片上滴加适量的中性树胶,盖上盖玻片,用镊子轻轻压平,赶走气泡,使树胶均匀地填充在切片和盖玻片之间,树胶可以防止切片氧化变色,同时起到保护切片和便于显微镜观察的作用。
-
-
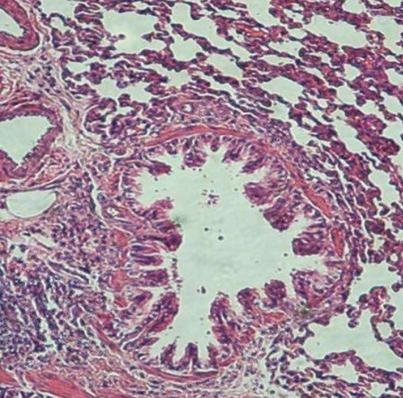
正常肺组织结构观察
-
通过 HE 染色可以清晰地观察到肺组织的各级支气管、肺泡、血管等结构。例如,可以观察支气管的管壁结构,包括上皮细胞、杯状细胞、平滑肌等;肺泡的结构,如肺泡壁、肺泡隔中的毛细血管等,这有助于了解肺组织的正常生理结构,为后续的研究和诊断提供基础。
-
-
肺部疾病诊断
-
在肺部炎症的诊断中,HE 染色可以显示炎症细胞的浸润情况,如中性粒细胞、淋巴细胞、巨噬细胞等在肺泡腔、肺间质中的分布。例如,在细菌性肺炎中,可以看到大量中性粒细胞浸润在肺泡腔内;在肺结核中,可以观察到典型的结核结节,其中包含上皮样细胞、朗罕巨细胞和淋巴细胞等。
-
对于肺部肿瘤,HE 染色可以帮助区分肿瘤的类型。例如,肺腺癌细胞排列成腺管状结构,细胞质染成淡粉色,细胞核较大且深染;肺鳞癌细胞呈巢状排列,细胞质嗜酸性,角化珠的形成是其特征之一;小细胞肺癌细胞较小,核染色质细,核仁不明显,细胞质少,呈弥漫性分布。
-
-
肺纤维化的研究
-
HE 染色可以显示肺间质中胶原纤维的增生情况,观察肺泡壁的增厚、纤维组织的沉积等病变。在研究肺纤维化的病因、发病机制和治疗效果等方面发挥重要作用。
-
-
切片质量控制
-
切片时要注意切片的厚度均匀,避免出现折叠、破裂等情况。如果切片过厚,会影响观察效果,过薄则容易破碎。同时,切片要完整,能够完整地展示肺组织的结构,特别是对于病变组织,要保证包含完整的病变区域。
-
-
染色时间优化
-
苏木素和伊红的染色时间要根据实际情况进行调整。染色时间过长会导致过染,颜色过深,影响观察;染色时间过短则会使颜色过浅,无法清晰显示组织结构。例如,在苏木素染色过程中,对于细胞核密集的区域,可能需要适当延长染色时间;而对于细胞质丰富的区域,伊红染色时间可能需要适当增加。
-
-
试剂质量保证
-
所使用的试剂,如苏木素染液、伊红染液、固定液等,要保证其质量和纯度。试剂的质量会直接影响染色效果,过期或变质的试剂会导致染色不准确。同时,要注意试剂的保存条件,如苏木素染液应密封保存,防止氧化。
-

风险提示:丁香通仅作为第三方平台,为商家信息发布提供平台空间。用户咨询产品时请注意保护个人信息及财产安全,合理判断,谨慎选购商品,商家和用户对交易行为负责。对于医疗器械类产品,请先查证核实企业经营资质和医疗器械产品注册证情况。
文献和实验相关专题 本篇文章主要介绍了采用苏木素(Hematoxylin)-伊红(Eosin)染色法对细胞染色的实验原理、实验用品和具体实验步骤。 HE染色法 一、原理 苏木素(Hematoxylin)-伊红(Eosin)染色法,简称HE染色法。 HE染色法采用两种染料即碱性染料苏木素和酸性染料伊红分别于细胞核 和细胞质发生作用,使细胞的微细结构通过颜色而改变它的折光率,从而在光镜下能清晰地呈现出细胞图像。该染色过程既有化学
清泓生物技术(上海)有限公司 1. 稳定高效的蛋白表达平台 真核表达系统 –哺乳细胞表达平台, - 有活性的蛋白:哺乳细胞表达平台有效保证目的蛋白正确折叠和正确修饰 - 蛋白复合物:多个蛋白共表达,表达和纯化制备蛋白复合体 - 哺乳细胞:众多蛋白,尤其是分泌蛋白最理想的宿主细胞 - 快速高效:一个月内得到目的蛋白 - 最优流程:细胞生长,蛋白表达和纯化工艺流程 - (可选)蛋白活性检测服务 真核表达系统 –昆虫细胞表达平台
2010 年 7 月 18 日应上海市公共卫生临床研究中心的邀请,上海锐赛生物技术有限公司组织参加了为上海市各大医院临床医生举办的上海市临床科研基本实验技能培训,培训的内容是细胞培养相关操作。细胞培养技术是生物医学研究领域的重要组成部分,安全稳定的细胞培养能够提供良好的实验依据。目前许多生物技术服务企业与科研单位都对如何更好的解决细胞培养问题存在很大疑问。就此基础问题上海锐赛技术部的黄博士结合多年的生物操作经验,详尽介绍了细胞培养技术,并将理论与实际操作作为课程的重点,向各单位
技术资料暂无技术资料 索取技术资料









