- 详细信息
- 询价记录
- 技术资料
- 服务名称:
HE染色
- 提供商:
中洪博元
- 规格:
片
支付说明:
实验周期:普通样本,1周内;骨头类坚硬样本,2-3周
产品简介
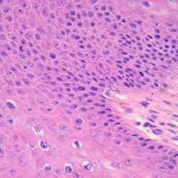
苏木精 — 伊红染色法 ( hematoxylin-eosin staining ) ,简称HE染色法 ,石蜡切片技术里常用的染色法之一 。苏木精染液为碱性 ,主要使细胞核内的染色质与胞质内的核糖体着紫蓝色 ;伊红为酸性染料 ,主要使细胞质和细胞外基质中的成分着红色 。HE染色法是组织学、胚胎学、病理学教学与科研中最基本、使用最广泛的技术方法。
苏木精染液为碱性 ,主要使细胞核内的染色质与胞质内的核糖体着紫蓝色 ;伊红为酸性染料 ,主要使细胞质和细胞外基质中的成分着红色 。
实验样本说明
组织样本
石蜡切片
取材要求::组织固定越新鲜越好,组织离体后,需及时固定。原则上动物死亡后15分钟内完成取材并及时固定组织。
:组织标本不宜过大。由于所有的固定液都具有穿透力不强、侵透度不大等特点,凡是需要固定的组织,都不应太大太厚。
固定要求::固定液的选择:10%福尔马林(4%多聚甲醛)或10%中性甲醛是病理切片常规使用的固定液,可以兼顾常规染色和免疫组织化学。
:固定液的用量:一般加入固定液的量与组织体积比为10:1~20:1。
:组织固定:固定时间不宜太短,也不宜太长。固定时间太短,会影响组织固定的效果;时间太长,福尔马林会形成聚甲醛,影响核的染色。固定时间主要根据材料块的大小及松密程度以及固定液的穿透速度而定,可以从1小时至数天,通常为数小时至24小时。
切片保存:做好的切片,经60℃烤片3-5小时后,可存放于4℃保存;若存放时间较长,最好存于-20℃。
冰冻切片
取材要求:对于将要做冰冻切片的组织,取材后需立即置于超低温冰箱或液氮中保存.
固定要求:样本冰冻切片后,应立即将切片放入甲醇、95%酒精、丙酮、4%多聚甲醛等固定液中固定
切片保存:固定好的切片,自然风干,密封好可置于-80℃、-20℃保存,但最好尽快用于后续实验。
细胞样本
细胞块石蜡切片:对于一些细胞量较多的样品,可离心分离所需细胞,用中性甲醛固定后,制作成琼脂细胞块。然后按照制作石蜡切片的操作流程进行切片。
细胞爬片:在孔板里做的细胞爬片,爬片取出后,用PBS洗涤2次,用4%多聚甲醛4℃固定15分钟,将表面液体吹干,置于-20℃保存。若短时间内开展实验,可在加固定液后,于4℃冰箱中放置一段时间。
细胞涂片:细胞学涂片常用的固定液有95%酒精、酒精-冰醋酸液、(C2H5)2O-酒精液和Carney’s液等,其中95%酒精较为常用。
2、软骨基质、钙盐颗粒呈深蓝色;
3、粘液呈灰蓝色;
4、细胞浆被伊红染成深浅不同的粉红色至桃红色;
5、胞浆内嗜酸性颗粒呈反光强的鲜红色;
6、胶原纤维呈淡粉红色,弹力纤维呈亮粉红色;
7、红血球呈橘红色,蛋白质类液体呈粉红色。
细胞或组织的着色情况与其种类有关,同时也随其生活周期及病理变化而发生改变。(例如:很多细胞在新生时期胞浆对伊红着色较淡或轻度嗜碱,当其衰老时或发生退行性变则呈现嗜伊红浓染。 胶原纤维在老化和出现透明变性时,伊红着色由浅变深。)
四.HE部分实例
肾HE(200倍)
肾小管无扩张,排列整齐,结构完整,无球后出血,无中性粒细胞浸润。
小肠HE(200倍)
小肠绒毛缺损,有溃疡形成,肿胀明显,血管周围出血明显,基底层断裂。
正常肝HE
肝小叶横切面中肝细胞以中央静脉为中心呈放射状排列
肝硬化HE
肝脏组织中出现明显的纤维化病变。
胃底腺HE(400倍)
腺体上半部多分布壁细胞,壁细胞胞体较大,多呈圆锥体形,核圆居中,有的可见双核,胞质强嗜酸性,染成红色。
公司简介
深圳中洪博元生物技术有限公司是国内领先的生物医学领域整套科研服务供应商,是提供医学实验技术服务、整体实验外包一站式服务的生物医学类高科技企业
公司内设细胞检测,蛋白检测,基因检测,组织学检测,病毒学服务,微生物服务,动物实验等专业实验室,进行相关领域的技术服务。公司在软、硬件投入上始终坚持高标准、高品质的要求,不断引进、消化、吸收国内外医学科研的先进技术,全力搭建一个优质的医学科研服务平台。公司科研团队具有丰富的科经验,在科学引文索引(SCI)杂志上发表数十篇文章。公司立足于生物医学领域,以客户需求为导向,建立了实验设计和评估、细胞检测,蛋白检测,基因检测,组织学检测,病毒学服务,微生物服务,动物实验、整体课题外包服务等平台,为客户提供最佳的实验设计服务和专业的实验解决方案,帮助客户缩短科研周期、节省试验成本,使客户的科学研究具有持续性。
公司的核心研发团队已经研制出涵盖分子诊断和免疫检测等领域的200多种产品,具体包括临床/科研类荧光定量PCR试剂盒、Elisa检测试剂盒、转基因鉴定系列检测试剂盒等产品。并已经在全国包括北京、上海、广州、成都、杭州、南京、西安、重庆、兰州、郑州、南昌、合肥、武汉、长沙、福州等十多个城市形成分销网络。
公司拥有一流的专业技术人员和雄厚的技术力量,公司现拥有数十位博士、硕士及海归人员,同时拥有多位具有高级职称的专业技术人员。公司目前已与近300余家医疗单位签约合作,分布于全国各地。同时也与多家医学院校展开合作,并得到相关医学院校的好评, 现已成为数所大学院校的实习与就业基地
服务流程:

深圳中洪博元生物技术有限公司
http://www.chinazglab.com/
0791-83837090
实验周期:普通样本,1周内;骨头类坚硬样本,2-3周
-
中洪博元强大的科研团队提供实验外包服务,科研人员 80%以上是硕博以上学历。
-
以下所列服务提供的报价均针对单个样品,促销价格在活动期间有效。
-
实验外包所需的实验周期是指确认样品到完成,不包括邮寄时间。
-
会有专门的技术人员指导你如何提交样品,针对你的贵重样品会签订相关协议,保护你的样品。
-
实验中相关的试剂,一般试剂均可提供,特殊试剂用户可以自行提供或由中洪博元代为有偿提供。
-
实验结束后,中洪博元提供实验原始数据和实验记录。
-
可签订保密协议,保障实验数据安全有效。
-
根据用户实际需求提供发票,签订协议后支付一半的款项,即可开全款发票,然后再补足尾款。
-
通过在丁香通平台上支付少量订金,享受丁香通带给你的双重保障,当出现问题,丁香通会全力保障你的权益。
产品简介
苏木精 — 伊红染色法 ( hematoxylin-eosin staining ) ,简称HE染色法 ,石蜡切片技术里常用的染色法之一 。苏木精染液为碱性 ,主要使细胞核内的染色质与胞质内的核糖体着紫蓝色 ;伊红为酸性染料 ,主要使细胞质和细胞外基质中的成分着红色 。HE染色法是组织学、胚胎学、病理学教学与科研中最基本、使用最广泛的技术方法。
- 简介及原理
苏木精染液为碱性 ,主要使细胞核内的染色质与胞质内的核糖体着紫蓝色 ;伊红为酸性染料 ,主要使细胞质和细胞外基质中的成分着红色 。
- 染色流程
实验样本说明
组织样本
石蜡切片
取材要求::组织固定越新鲜越好,组织离体后,需及时固定。原则上动物死亡后15分钟内完成取材并及时固定组织。
:组织标本不宜过大。由于所有的固定液都具有穿透力不强、侵透度不大等特点,凡是需要固定的组织,都不应太大太厚。
固定要求::固定液的选择:10%福尔马林(4%多聚甲醛)或10%中性甲醛是病理切片常规使用的固定液,可以兼顾常规染色和免疫组织化学。
:固定液的用量:一般加入固定液的量与组织体积比为10:1~20:1。
:组织固定:固定时间不宜太短,也不宜太长。固定时间太短,会影响组织固定的效果;时间太长,福尔马林会形成聚甲醛,影响核的染色。固定时间主要根据材料块的大小及松密程度以及固定液的穿透速度而定,可以从1小时至数天,通常为数小时至24小时。
切片保存:做好的切片,经60℃烤片3-5小时后,可存放于4℃保存;若存放时间较长,最好存于-20℃。
冰冻切片
取材要求:对于将要做冰冻切片的组织,取材后需立即置于超低温冰箱或液氮中保存.
固定要求:样本冰冻切片后,应立即将切片放入甲醇、95%酒精、丙酮、4%多聚甲醛等固定液中固定
切片保存:固定好的切片,自然风干,密封好可置于-80℃、-20℃保存,但最好尽快用于后续实验。
细胞样本
细胞块石蜡切片:对于一些细胞量较多的样品,可离心分离所需细胞,用中性甲醛固定后,制作成琼脂细胞块。然后按照制作石蜡切片的操作流程进行切片。
细胞爬片:在孔板里做的细胞爬片,爬片取出后,用PBS洗涤2次,用4%多聚甲醛4℃固定15分钟,将表面液体吹干,置于-20℃保存。若短时间内开展实验,可在加固定液后,于4℃冰箱中放置一段时间。
细胞涂片:细胞学涂片常用的固定液有95%酒精、酒精-冰醋酸液、(C2H5)2O-酒精液和Carney’s液等,其中95%酒精较为常用。
- 染色结果
2、软骨基质、钙盐颗粒呈深蓝色;
3、粘液呈灰蓝色;
4、细胞浆被伊红染成深浅不同的粉红色至桃红色;
5、胞浆内嗜酸性颗粒呈反光强的鲜红色;
6、胶原纤维呈淡粉红色,弹力纤维呈亮粉红色;
7、红血球呈橘红色,蛋白质类液体呈粉红色。
细胞或组织的着色情况与其种类有关,同时也随其生活周期及病理变化而发生改变。(例如:很多细胞在新生时期胞浆对伊红着色较淡或轻度嗜碱,当其衰老时或发生退行性变则呈现嗜伊红浓染。 胶原纤维在老化和出现透明变性时,伊红着色由浅变深。)
四.HE部分实例
肾HE(200倍)
肾小管无扩张,排列整齐,结构完整,无球后出血,无中性粒细胞浸润。
小肠HE(200倍)
小肠绒毛缺损,有溃疡形成,肿胀明显,血管周围出血明显,基底层断裂。
正常肝HE
肝小叶横切面中肝细胞以中央静脉为中心呈放射状排列
肝硬化HE
肝脏组织中出现明显的纤维化病变。
胃底腺HE(400倍)
腺体上半部多分布壁细胞,壁细胞胞体较大,多呈圆锥体形,核圆居中,有的可见双核,胞质强嗜酸性,染成红色。
公司简介
深圳中洪博元生物技术有限公司是国内领先的生物医学领域整套科研服务供应商,是提供医学实验技术服务、整体实验外包一站式服务的生物医学类高科技企业
公司内设细胞检测,蛋白检测,基因检测,组织学检测,病毒学服务,微生物服务,动物实验等专业实验室,进行相关领域的技术服务。公司在软、硬件投入上始终坚持高标准、高品质的要求,不断引进、消化、吸收国内外医学科研的先进技术,全力搭建一个优质的医学科研服务平台。公司科研团队具有丰富的科经验,在科学引文索引(SCI)杂志上发表数十篇文章。公司立足于生物医学领域,以客户需求为导向,建立了实验设计和评估、细胞检测,蛋白检测,基因检测,组织学检测,病毒学服务,微生物服务,动物实验、整体课题外包服务等平台,为客户提供最佳的实验设计服务和专业的实验解决方案,帮助客户缩短科研周期、节省试验成本,使客户的科学研究具有持续性。
公司的核心研发团队已经研制出涵盖分子诊断和免疫检测等领域的200多种产品,具体包括临床/科研类荧光定量PCR试剂盒、Elisa检测试剂盒、转基因鉴定系列检测试剂盒等产品。并已经在全国包括北京、上海、广州、成都、杭州、南京、西安、重庆、兰州、郑州、南昌、合肥、武汉、长沙、福州等十多个城市形成分销网络。
公司拥有一流的专业技术人员和雄厚的技术力量,公司现拥有数十位博士、硕士及海归人员,同时拥有多位具有高级职称的专业技术人员。公司目前已与近300余家医疗单位签约合作,分布于全国各地。同时也与多家医学院校展开合作,并得到相关医学院校的好评, 现已成为数所大学院校的实习与就业基地
服务流程:

深圳中洪博元生物技术有限公司
http://www.chinazglab.com/
0791-83837090
风险提示:丁香通仅作为第三方平台,为商家信息发布提供平台空间。用户咨询产品时请注意保护个人信息及财产安全,合理判断,谨慎选购商品,商家和用户对交易行为负责。对于医疗器械类产品,请先查证核实企业经营资质和医疗器械产品注册证情况。
- 作者
- 内容
- 询问日期
HE染色
¥5










