万千商家帮你免费找货
0 人在求购买到急需产品
- 详细信息
- 技术资料
- 提供商:
上海达为科生物科技有限公司
- 服务名称:
激光共聚焦实验
| 品牌 | 其他品牌 | 产地类别 | 国产 |
|---|---|---|---|
| 应用领域 | 医疗卫生,生物产业,综合 |
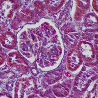
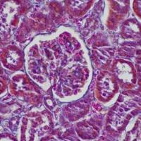
激光共聚焦实验(Confocal laser scanning microscope,CLSM)是近代先进的细胞生物医学分析仪器之一。
激光共聚焦实验
显微镜(Laser scanning confocal microscope)是20世纪80年代中期发展起来并得到广泛应用的新技术 ,它是激光、电子摄像和计算机图像处理等现代高科技手段渗透,并与传统的光学显微镜结合产生的先进的细胞分子生物学分析仪器,在生物及医学等领域的应用越来越广泛,已经成为生物医学实验研究的必备工具 。共聚焦显微镜用激光作为光源,采用共轭聚焦原理和装置,并利用计算机对所观察的对象进行数字图像处理观察、分析和输出。 其特点是可以对样品进行断层扫描和成像,进行无损伤观察和分析细胞的三维空间结构。
激光共聚焦实验是达为科生物的实验项目之一。上海达为科生物科技有限公司,公司位于上海长江软件园,实验室面积600多平方米。我们拥有专业的实验室、先进的实验设备和经验丰富的科研技术人员。技术团队包括研究员(博士后)2人,助理研究员(博士)4人,核心研究员(硕士)15人,主要致力于基因组学、转录组学、蛋白质组学、代谢组学、生物化学、病理检测、基因检测等技术在科研中的应用与推广。公司目前具备较好的生物学、医学技术服务平台,能够为广大客户提供医学科研样本检测、合作研究、开发及生产服务。
风险提示:丁香通仅作为第三方平台,为商家信息发布提供平台空间。用户咨询产品时请注意保护个人信息及财产安全,合理判断,谨慎选购商品,商家和用户对交易行为负责。对于医疗器械类产品,请先查证核实企业经营资质和医疗器械产品注册证情况。
激光共聚焦实验
询价










