万千商家帮你免费找货
0 人在求购买到急需产品
- 详细信息
- 文献和实验
- 技术资料
- 提供商:
上海达为科生物科技有限公司
- 服务名称:
茜素红染色
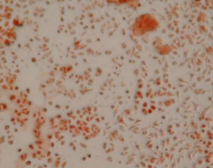
通过茜素红染色检测细胞成骨分化
实验原理
1、成骨诱导的过程是使钙离子能够以钙盐的方式沉淀下来,“钙结节”,鉴定钙结节的染色方法常用茜素红染色法。
2、茜素红:茜素磺酸钠,茜素S,茜素红S,茜素胭脂红,1,2-二羟基蒽醌-3-磺酸钠,1,2-二羟基蒽醌3-磺酸钠盐。橙黄色或黄棕色粉末。易溶于水,微溶于乙醇,不溶于苯。1%水溶液pH为2.15,其水溶液呈前黄褐色,加盐酸后变为黄色,加氢氧hua钠后则变成蓝紫色。有刺激性。能与许多金属离子生成有色化合物,能与锆、钍、铝、钛及钙发生显色反应。
茜素红染色实验步骤:
1、石蜡切片脱蜡至水:依次将切片放入二甲苯I20分钟,二甲苯Ⅱ20分钟,无水乙醇I5分钟,无水乙醇Ⅱ5分钟,75%酒精5分钟,自来水洗。
2、茜素红染色:切片用茜素红染液染5-10分钟,自来水洗,将切片放置烤箱内烤干。
3、透明封片:切片入干净的二甲苯透明5分钟,中性树胶封片。
4、显微镜镜检,图像采集分析。
结果判读:钙盐沉积出呈深红色,背景淡红色或者近无色。
风险提示:丁香通仅作为第三方平台,为商家信息发布提供平台空间。用户咨询产品时请注意保护个人信息及财产安全,合理判断,谨慎选购商品,商家和用户对交易行为负责。对于医疗器械类产品,请先查证核实企业经营资质和医疗器械产品注册证情况。
文献和实验茜素红S中文名称: 茜素红S英文名称:alizarin red S; sodium alizarin sulfonateCAS: 130-22-3分子式: C14H7NaO7•;H2O分子量: 360.28中文别名: 9,10-二氢-3,4-二羟基-9,10-二氧代-2-蒽磺酸单钠盐; 茜素红;(3)茜素磺酸钠 ;茜素S ;酸性媒介茜素红;酸性媒介红S-80(Acid Mordnat Reds-80);C.I.媒介红3(C.I.Mordant Red 3)。性质:橙黄色的针状体。溶于水,微
HE&尼式染色.pdf
的染色方法。组织中的糖原、中性粘液物质呈红色,酸性粘液物质呈蓝色,混合性粘液物质呈蓝紫色或紫蓝色。主要用于区分中性和酸性粘液,及二者的比率。有些癌细胞可以通过此染色方法进行区分属于什么性质的癌。 亚甲基蓝染色 染色 观察植物组织的形态结构清晰 苯胺蓝染色 染色 观察植物组织形态或组织内肥大细胞的数量及分布 荧光 DAPI染色 染色 荧光DAPI染色观察细胞核 茜素红染色 染色 观察











