万千商家帮你免费找货
0 人在求购买到急需产品
- 详细信息
- 询价记录
- 文献和实验
- 技术资料
- 提供商:
上海英拜生物科技有限公司
- 服务名称:
人原代细胞分离技术
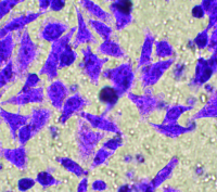
周细胞是具伸缩性的平滑肌细胞样的细胞,它们覆盖在微脉管的基底面。周细胞是小静脉的主要成分,并普遍存在于毛细血管中。在不同的组织和器官中,周细胞的数量和功能均呈现很大的差异。脑血管周细胞的主要功能包括参与中枢神经系统微血管收缩性,内皮细胞活性及巨噬细胞活性的调节。也有证据表明周细胞与血脑屏障的物质转运及血管渗透性的调节有关。病理学研究显示,周细胞与高血压,糖尿病视网膜病变,阿尔海默氏病,多发性硬化和中枢神经系统肿瘤的形成有关。
HBVP分离自人大脑组织,原代冻存,冰冻运输。每管细胞密度超过5×105/ml。细胞经α-smooth muscle actin免疫荧光鉴定。本细胞经检测不含HIV-1、HBV、HCV、支原体、细菌、酵母菌和真菌。如采用ScienCell 实验室特制的培养基,可保证此细胞达到15次或以上的倍增。
风险提示:丁香通仅作为第三方平台,为商家信息发布提供平台空间。用户咨询产品时请注意保护个人信息及财产安全,合理判断,谨慎选购商品,商家和用户对交易行为负责。对于医疗器械类产品,请先查证核实企业经营资质和医疗器械产品注册证情况。
- 作者
- 内容
- 询问日期
文献和实验周细胞质 cortical cytoplasm 亦称表层细胞质、皮质原生质(corical prot-oplasm)或表层原生质(protoplasmic corte-x)。一般认为,是位于细胞表面靠近细胞膜内侧的细胞质,在多数情况下为凝胶状态。在细胞学上称为皮质(cortex)的,就是指这一部分。由于在显微镜下看不到它与内质之间有明显的界限,所以从表面到达哪一部分才算是表层,对此各研究者的看法是多少有些不同的。从功能方面来看,已知周细胞质与内质有着明显不同的作用(如受精时的活化
三句话读懂一篇 CNS:慢性压力引发抑郁究竟为何?15 万中国人研究,为喝酒致癌又添新证
标志物的新方法,实为结直肠癌患者的福音 ! 图 7:来源 Nature Microbiology 8. Science:绘制出正常与畸形人脑血管的单细胞图谱 脑血管疾病是导致人体神经功能障碍甚至死亡的重要原因。 2022 年 1 月 28 日,加州大学旧金山分校的 Tomasz J. Nowakowski 教授团队等在 Science 上发表了研究论文 A single-cell atlas of the normal and malformed human brain
的[5],但细胞得率均较低,而近些年来国外大多数方法采用以大脑皮质为材料、酶消化及梯度离心分离脑微血管段并进行原代培养[6~9,11,12]。由于原代培养中无法避免地混杂成纤维细胞、周细胞、平滑肌细胞、星型胶质细胞等其他细胞的生长,而且工作量大、过程繁琐且费用高[1],进行较纯的大鼠脑微血管内皮细胞原代培养一直是国内外的一个难点。 本人参照文献[6]、[7]、[8]的方法,成功地摸索出大鼠脑微血管内皮细胞分离和原代培养的方法,并获得纯度较高的脑微血管内皮细胞。 1.材料与方法 1.1 实验动物 每次
技术资料暂无技术资料 索取技术资料










