万千商家帮你免费找货
0 人在求购买到急需产品
- 详细信息
- 询价记录
- 文献和实验
- 技术资料
- 提供商:
上海经科化学科技有限公司
- 服务名称:
Transwell迁移实验
- 规格:
个
一、实验简介
Transwell作为一项实验技术,其主要材料是transwell小室,其外形为一个可放置在孔板里的小杯子,杯子底层有一张具有通透性的膜,这层膜带有微孔,孔径大小从0.1-12μm不等。根据不同需要有不同材料,一般常用的是聚碳酸酯膜。将transwell小室放入培养板中,小室内称为上室,培养板内称为下室。上室装上层培养液,下室内装下层培养液,二者以transwell小室底部的聚碳酸酯膜相隔。细胞种在上室,可以研究下层培养液中的成分对细胞生长、运动等的影响。运用不同孔径和经过不同处理的聚碳酸酯膜,可以进行细胞共培养、细胞趋化、细胞迁移、细胞侵袭等各种研究。
Transwell细胞迁移实验
常用8.0、12.0μm孔径的膜,上室种细胞(一般为肿瘤细胞),下室加入FBS或者某些特定的趋化因子,肿瘤细胞会向营养成分高的下室迁移。对进入下室的细胞进行计数可反映肿瘤细胞的迁移能力。
Transwell细胞侵袭实验
常用8.0、12.0μm孔径的膜,原理与transwell迁移实验类似。上室种细胞(一般为肿瘤细胞),下室加入FBS或者某些特定的趋化因子,肿瘤细胞会向营养成分高的下室运动。但是与迁移实验不同的是,本实验中,聚碳酸酯膜上室侧铺有一层基质胶,用以模拟体内细胞外基质。细胞要想穿过透性膜进入下室,需要先分泌基质金属蛋白酶(MMPs)将基质胶降解,方能通过聚碳酸酯膜。对进入下室的细胞进行计数即可反应细胞的侵袭能力。
二、Transwell 细胞迁移实验步骤
1、配制结晶紫染液: 取结晶紫0.05g溶于甲醇制成0.5%的结晶紫溶液,用时用PBS溶液1:5稀释成0.1%的结晶紫染液。
2、细胞离心:将细胞消化、离心、无血清重悬、并稀释成1×105个/ml的细胞悬液。
3、下室加培养基:Transwell板中加入500μl 含20% FBS的完全培养基,将小室放入板中。
4、上室接种细胞:在transwell小室中加入200μl 的细胞悬液,将Transwell板37℃下于CO2 (含量5%)培养箱中培养24h。
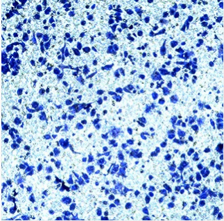
5、染色:将小室取出,用PBS洗去培养基,结晶紫染色10min;自来水将表面的结晶紫洗除干净,用棉签将上室中接种侧的细胞擦除干净,于显微镜下对非细胞接种侧拍照。
三、Transwell 细胞侵袭实验步骤
1、配制结晶紫染液: 取结晶紫0.05g溶于甲醇制成0.5%的结晶紫溶液,用时用PBS溶液1:5-8成0.1%的结晶紫染液。
2、transwell侵袭孔的制备:将BD matrigel和 无血清培养基以1:8的比例稀释,吸取80μl加入transwell的上室中,放置于培养箱中至少2h。
3、细胞离心:将细胞消化、离心、无血清重悬、并稀释成5×105个/ml 的细胞悬液。
4、下室加培养基:Transwell板中加入500μl 含20% FBS的完全培养基,将小室放入板中。
5、上室接种细胞:在transwell小室中加入200μl 的细胞悬液,将Transwell板37℃下于CO2 (含量5%)培养箱中培养48h。
6、染色:将小室取出,用PBS洗去培养基,结晶紫染色10min;自来水将表面的结晶紫洗除干净,用棉签将上室中接种侧的细胞擦除干净,于显微镜下对非细胞接种侧拍照。
本公司还提供
“病理学”、“分子生物学”、“细胞生物学”、“图像分析”
“免疫学”、“动物实验”、“蛋白质相关”、
等各项服务:
micro-CT
PET
PET-CT
活体成像
长毒实验
急毒实验
溶血实验
液相(HPLC)方法学开发
液相(HPLC)检测
液质方法学开发
液质(LC-MS)检测
I型糖尿病模型
II型糖尿病模型
动脉粥样硬化(As)动物模型
裸鼠成瘤
动物模型
肺纤维化模型
肝纤维化模型
肝硬化模型
高脂血症动物模型
急性肺损伤模型
急性肝损伤模型
老年痴呆AD小鼠实验
裸鼠皮下移植瘤
裸鼠血液肺转移瘤
mPDX
脑缺血再灌注动物模型
鼠源皮下移植瘤
鼠源血液肺转移瘤
非酒精性脂肪肝模型
细胞购买(冻存)
细胞购买(复苏)
动物购买
动物取材
饲料定制
细胞购买(代购)
其他动物实验
细胞培养
细胞爬片
成骨诱导
成脂诱导
活细胞内钙离子检测
平板克隆形成实验
成管实验
双荧光素酶报告基因
细胞划痕
Transwell迁移
Transwell侵袭
MTT
CCK8
细胞黏附实验
细胞BRDU
细胞EDU
细胞转染
RNA(siRNA,miRNA,shRNA)
质粒转染
RNA转染
病毒感染/病毒转染
稳转细胞系建立
流式-JC-1(培养细胞)
流式-ROS(培养细胞)
流式摄取
PI染色
ROS活性氧检测
流式细胞周期
流式细胞凋亡
流式表抗-单标
流式表抗-双标
流式表抗-三标
细胞浸袭
细胞生长曲线绘制
课题qPCR检测
课题WB检测
脱钙(快脱)
脱钙(慢脱)
植物标本软化(普通根、茎)
植物标本软化(种子、硬枝)
组织石蜡包埋
细胞石蜡包埋
组织芯片定位
组织芯片蜡块制作
琼脂包埋
特殊包埋
石蜡切片
组织芯片切片
冰冻切片
HE染色
番红-固绿染色(植物)
番红-固绿染色(软骨)
masson染色
天狼猩红染色
PAS糖原染色
阿利新蓝(AB)染色
AB-PAS染色
油红O(切片)染色
瑞士吉姆萨染色
甲苯胺蓝染色
尼氏染色
肥大细胞染色
苯胺蓝染色
LFB髓鞘染色
普鲁士蓝染色
EVG染色
苦未酸品红VG染色
Von kossa染色
茜素红染色
抗酸染色
富尔根染色
间苯二酚碱性品红染色
刚果红染色
快速革兰氏染色
亚甲基蓝染色
黑色素染色
碘-碘化钾染色
Goldner三色法染色
PAS-萘酚磺S染色
改良苯酚品红染色
网状纤维染色
Trap染色
β-半乳糖苷酶染色
油红O(大体)染色
镀银染色
PASM 六胺银染色
TTC染色
ATP染色
ALP碱性磷酸酶染色
movat五色染色
锇酸染色
高尔基染色(含多层染色)
维多利亚兰染色
树脂包埋(透射电镜)
半薄切片
超薄切片
负染
透射电镜(制片/拍照)
透射电镜全套(包埋+制片+拍照)
扫描电镜
扫描电镜观察
脱水干燥喷金
电镜分析
免疫荧光(单标)
免疫荧光(双标)
免疫荧光(单标,芯片)
免疫荧光(双标,芯片)
尼罗红染色(含荧光拍照)
免疫组化/IHC
免疫组化(芯片)
Tunel(白光)检测
Tunel(荧光)检测
原位杂交(DAB显色、NBT显色)
原位杂交(单标)
原位杂交(双标)
原位杂交(三标)
原位杂交白光
活细胞成像
激光共聚焦拍照
3D成像
拍照(白光)
芯片拍照(白光)
病理描述
形态分析(测量类)
组化分析
切片扫描+分析(组化)
普通切片扫描(白光)
普通切片扫描(荧光单标)
普通切片扫描(荧光双标)
组织芯片扫描(白光)
组织芯片扫描(荧光单标)
组织芯片扫描(荧光双标)
多层扫描,精细扫描(放大1000倍)
组织芯片扫描+分析(组化)
多层扫描(高尔基染色片)
多层扫描(油红O染色)
WB(普通蛋白)
WB(磷酸化蛋白)
WB(核蛋白、线粒体蛋白、膜蛋白)
IP
COIP
ELISA检测
生化检测
血常规(动物外周血)检测
化学发光
组织样本匀浆
引物合成
Real-time PCR检测
RT-PCR(电泳)
DNA/质粒
甲基化检测MSP
甲基化检测BSP
micRNA检测
质粒构建
质粒扩增
质粒提取
药效评价
IVC大鼠饲养
代谢笼实验
IVC小鼠饲养
排泄实验
普通小鼠饲养
普通大鼠饲养
高脂小鼠饲养
高脂大鼠饲养
实验要求、样本情况、收费标准、操作流程等详情请咨询我司客服!
风险提示:丁香通仅作为第三方平台,为商家信息发布提供平台空间。用户咨询产品时请注意保护个人信息及财产安全,合理判断,谨慎选购商品,商家和用户对交易行为负责。对于医疗器械类产品,请先查证核实企业经营资质和医疗器械产品注册证情况。
- 作者
- 内容
- 询问日期
文献和实验这里想明确两个概念,一个是 Transwell ,另一个是肿瘤细胞侵袭 模型 。 1 . Transwell trans- 这个词根有转移、转运、穿过等意思, well 有小室的意思,可以从字面上理解,这是一类有通透性的杯状的装置,根据 Corning 公司的 Transwell 说明书中的介绍,可以认为这是一种膜滤器 ( Membrane filters
实验和Transwell迁移实验,其他方面的Transwell应用我不太清楚,因此这里主要谈谈Transwell侵袭实验。1.实验用品:① Transwell小室:多种厂家可提供,论坛里常用的是Costar、Corning、BD生产的小室,我们实验室用的是Chemicon公司的ECM550系列,另有Boyden chamber、Millipore公司的millicell和雕弓满月射天狼战友介绍的Thincert。这些厂家提供的小室,有的已铺好基质胶,买来就可以用,很方便,但也比较贵,我们实验室用的Chemicon公司
1. 探针的标记:(1) 如下设置探针标记的反应体系:待标记探针 (1.75pmol/微升) 2微升T4 Polynucleotide Kinase Buffer (10X) 1微升Nuclease-Free Water 5微升[γ-32P]ATP(3,000Ci/mmol at 10mCi/ml) 1微升T4 Polynucleotide Kinase (5-10u/微升) 1微升总体积 10微升按照上述反应体系依次加入各种试剂,加入同位素后,Vortex混匀,再加入T
技术资料暂无技术资料 索取技术资料










