万千商家帮你免费找货
0 人在求购买到急需产品
- 详细信息
- 询价记录
- 技术资料
- 提供商:
上海英拜生物科技有限公司
- 服务名称:
人原代细胞分离技术
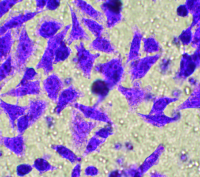
神经元是动态极化的细胞,并且是神经系统中的主要信号物质。人类大脑包含1x10^11神经元,而且每个神经元至少可与10000个其它神经元互通信息。
HN分离自人大脑,原代冻存,冰冻运输。每管细胞密度超过1×106/ml。细胞经neurofilament、MAP2和β-tubulinIII的免疫荧光鉴定。本细胞经检测不含HIV-1、HBV、HCV、支原体、细菌、酵母菌和真菌。HN不推荐长期培养或增殖培养。
风险提示:丁香通仅作为第三方平台,为商家信息发布提供平台空间。用户咨询产品时请注意保护个人信息及财产安全,合理判断,谨慎选购商品,商家和用户对交易行为负责。对于医疗器械类产品,请先查证核实企业经营资质和医疗器械产品注册证情况。
- 作者
- 内容
- 询问日期
技术资料暂无技术资料 索取技术资料
人神经元 HN
¥500 - 5000









