万千商家帮你免费找货
0 人在求购买到急需产品
- 详细信息
- 文献和实验
- 技术资料
- 提供商:
上海英拜生物科技有限公司
- 服务名称:
人原代细胞分离技术
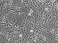
神经元是大脑的解剖、功能和营养单元。尽管大小和形状有很大的变化,所有的神经元有着共同的形态特征,是一个高度复杂通信网络的关键组分。作为神经系统的主要信号单元,神经元是动态极化的细胞。人类大脑中包含约1×1011神经元,每个神经元可以接触至少10000个其他神经元。脑干神经元主要通过调节心率、呼吸、睡眠循环、意识、意识等功能,提供主要的运动和感觉神经支配和综合功能。分离出的不同脑区的神经元作为区域特定的疾病和变性研究的优秀模型,可用于神经毒理学和大脑发育研究.
HN-bs分离自人的脑干,原代冻存,冰冻运输。每管细胞密度超过5×105/ml。细胞经neurofilament、MAP2和β-tubulin III的免疫荧光鉴定。本细胞经检测不含HIV-1、HBV、HCV、支原体、细菌、酵母菌和真菌。HN-bs不推荐长期培养或增值培养。
风险提示:丁香通仅作为第三方平台,为商家信息发布提供平台空间。用户咨询产品时请注意保护个人信息及财产安全,合理判断,谨慎选购商品,商家和用户对交易行为负责。对于医疗器械类产品,请先查证核实企业经营资质和医疗器械产品注册证情况。
文献和实验DNA Methylation Analysis by Bisulfite Sequencing (BS)
sequencing (BS) (Figure 2) Sequencing bisulfite-altered DNA is the simplest means of detecting cytosine methylation. After denaturation and bisulfite modification, double-stranded DNA is obtained by primer extension and the fragment
成分 蛋白胨 10g 牛肉膏 5g 葡萄糖 5g 硫酸亚铁 0.3g 磷酸氢二钠 4g 煌绿 0.025g 柠檬酸铋铵 2g 亚硫酸钠 6g 琼脂 18~20g 蒸馏水 1000mL pH7.5 制法 1 将前面5种成分溶解于300mL蒸馏水中。 2 将柠檬酸铋铵和亚硫酸钠另用50mL蒸馏
我养了三种贴壁的细胞,用同样的消化方法,都很好。这三种细胞是A549,ECV304,2BS。1、0.25%胰酶新鲜解冻,不需要预热。2、倒掉培养瓶中的培养基,并用预冷的D-Hank‘s洗两次(要冷,用前4度中取出)。3、加入约1-2ml的胰酶,晃动瓶子,使液体浸润瓶底。4、超净台上放置约1-2分钟(2BS需要的时间更短,约1分钟)5、镜下观察(我一般都省略了,因为每次的效果都很好),见细胞变圆或细胞间隙变大,即可加入含血清的培养基终止消化。(我们的胰酶都不去掉)6、从瓶口到瓶底吹打,可见细胞
技术资料暂无技术资料 索取技术资料










