相关产品推荐更多 >
万千商家帮你免费找货
0 人在求购买到急需产品
- 详细信息
- 询价记录
- 文献和实验
- 技术资料
- 规格:
具体价格请咨询
价格根据样本可能有差异,产品详情请咨询
核酸-蛋白互作研究系列产品:ChIP测序、 RIP测序、 CLIP测序、 MeRIP测序
简介
RIP-seq(RNA immunoprecipitation and high-throughput sequencing)是RNA免疫沉淀与高通量测序结合的技术,它通过免疫沉淀目标蛋白来捕获蛋白体内结合的RNA。将捕获的RNA进行高通量测序,可获得RNA结合蛋白(RBP)在体内与众多RNA靶标的结合模式,并对其结合强度进行精确定量,最终通过分析目的蛋白在体内结合RNA的动态变化,阐述出目的蛋白对基因表达调控的分子机制。
RIP-seq技术并不局限于miRNA与RBP(RNA结合蛋白)的传统研究,许多研究发现了lncRNA和蛋白的互作,而lncRNA通过多种的分子机制参与到广泛的生物学过程中,RBP与lncRNA的互作网络为lncRNA的细胞机制和疾病的发生、发展提供了新的研究线索和方向。
作为国内核酸-蛋白互作研究服务的领跑者,公司已完成1000多项ChIP-seq、RIP-seq、CLIP-seq实验及测序分析服务,包括动物(人、小鼠、大鼠、羊、鸡、斑马鱼等)、植物(水稻、拟南芥、小麦、二穗短柄草、马铃薯、番茄、苹果等)、微生物(大肠杆菌、禾谷镰刀菌等)近50余种物种的ChIP-seq和RIP-seq,其中组蛋白ChIP-seq成功率接近100%,转录因子ChIP-seq成功率超过95%,RIP-seq、CLIP-seq成功率接近95%。
康测技术优势
- 优化的RIP实验体系,RIP建库起始量低至30~50ng RNA
- 专攻IP(ChIP、RIP、CLIP)的博硕团队,拥有十年丰富的经验积累
- 为客户选择抗体提供辅助指导,并对抗体进行质检、效价分析,提供文章发表质量的IP报告
- 特有的Peak calling技术
- 提供个性化的分析报告,可根据客户需要提供关联分析、解析目的蛋白调控机制
建库方法 技术流程

分析结果展示

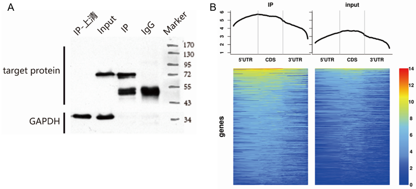
A)IP质检结果(IP-上清:抗体免疫沉淀上清中目的蛋白检测,Input:样品裂解液中目的蛋白检测,IP:抗体富集目的蛋白检测,IgG:IgG富集目的蛋白检测);
B)reads在所有基因功能区域的累积分布(上)和每个基因上reads的分布情况(下),红色代表覆盖度深;
C)Peak在基因各功能区的分布统计;
D)reads在基因上的覆盖情况:在peak区域,IP的reads覆盖度高于input, (横轴为基因位置,左边纵轴为覆盖度)。
武汉康测科技有限公司是由加州大学圣地亚哥分校(UCSD)、武汉大学、华中农业大学博士团队创建的高新技术企业。截至2017年底,团队核心成员已在Nature、Cell、Molecular Cell、Nat. Struct. Mol. Biol.、Proc Natl Acad Sci USA、Cell Reports等国际顶刊发表文章十余篇。公司秉承技术创新、服务至上的核心理念,与多所985/211院校、中国科学院的实验室建立了长期合作关系。
公司研发团队于2017年成功开发出绝对定量转录组(KC-DigitalRNA)、免疫组库(KC-IRQuant)、16S rDNA绝对定量、ctDNA检测(KC-SMP)等4项建库技术,并成功申请发明专利和配套数据分析系统的软件著作权。成为中国首.家UID(UMI)绝对定量高通量测序服务平台,为广大科研工作者提供转录组(mRNA、lncRNA)/TCR/BCR/ctDNA/肠道微生物多样性等多种绝对定量测序服务。
风险提示:丁香通仅作为第三方平台,为商家信息发布提供平台空间。用户咨询产品时请注意保护个人信息及财产安全,合理判断,谨慎选购商品,商家和用户对交易行为负责。对于医疗器械类产品,请先查证核实企业经营资质和医疗器械产品注册证情况。
- 作者
- 内容
- 询问日期
文献和实验比拟的。 能否以有限的成本用一台仪器产生足够数量的序列标记也是另一个需要改善的重要问题。这个问题已经被Roche公司解决了,应用他们的系统,仅花费阅读35bp或者更小片段的成本就能产生比35bp多10倍的序列标记。 一、高通量测序的应用 高通量测序可以帮助研究者跨过文库构建这一实验步骤,可以非常轻松完成基因组重测序(re-sequence)。但是也应该看到,由于高通量测序读取长度的限制,使其在对未知基因组进行从头测序(novo sequencing)的应用
文献速递:患者福音?宏基因组下一代测序用于尿路感染诊断提高诊断精度
/组织学和临床结果的离散特征。尿沉渣来源的 DNA 测序对 UTUC 具有很高的诊断价值,灵敏度为 82.2%,特异性为 100%。 病原微生物NGS检测是近年来的热点,但是从人体体液样本中提取的核酸十分有限,常规定量方法甚至可能检测不到核酸信号,这给感染源的准确检测带来了巨大挑战。上述两篇研究针对尿液提取核酸信息进行下游测序建库,采用的是QIAamp DNA Micro Kit。QIAamp DNA Micro Kit适用于从拭子和体液中纯化和富集细菌微生物组DNA。在纯化过程中,该试剂盒能高
这样的循环之后,已经获得延伸的 引物会变性脱落,再重新结合上新的引物从头开始新一轮测序,不过这一次可能获得的是第4号碱基、第9号 碱基、第14号碱基以及第19号碱基的信息。我们可以使用不同长度的引物(+1或者-1)或者使用在不同位点 (比如第2号碱基)标记荧光的8bp核酸探针片段达到这个目的。如此反复,最终就能获得整条模板片段的完 整序列信息。 AB SOLiD测序仪还有一个特点就是使用了双碱基编码技术(two-base encoding),该技术具有误差校 正功能,因为它是通过两个











