相关产品推荐更多 >

Vimentin Mouse mAb, FITC conjugated(bsm-33170M-FITC)-100ul
¥2980
Mono/Di-Methyl-Histone H3 (Lys56) Mouse mAb(bsm-60144M)-50ul/100ul
¥1580
Gemin 6 Rabbit pAb, HRP conjugated(bs-13333R-HRP)-100ul
¥2980
RPS6KA1 Rabbit pAb, Cy5.5 conjugated(bs-10365R-Cy5.5)-100ul
¥2980
Anti-human IL-6 / IFNb2 (Elsilimomab Biosimilar)(BIO0513SM)-1mg/5mg/20mg
¥3200
万千商家帮你免费找货
0 人在求购买到急需产品
- 详细信息
- 文献和实验
- 技术资料
- 应用范围:
产品信息以Bioss网站为准
- 规格:
50ul/100ul/200ul
| 规格: | 50ul | 产品价格: | ¥1180.0 |
|---|---|---|---|
| 规格: | 100ul | 产品价格: | ¥1980.0 |
| 规格: | 200ul | 产品价格: | ¥2800.0 |
| 产品编号 | bs-5180R |
| 英文名称 | AXL Rabbit pAb |
| 中文名称 | 粘附相关激酶抗体 |
| 英文别名 | Adhesion related kinase; AI323647; Ark; Axl; AXL oncogene; AXL receptor tyrosine kinase; AXL transforming gene; AXL transforming sequence/gene; EC 2.7.10.1; JTK11; Oncogene AXL; Tyro7; Tyrosine protein kinase receptor UFO; Tyrosine-protein kinase receptor UFO; UFO; UFO_HUMAN. |
| 产品应用 | WB=1:500-2000, IHC-P=1:100-500, IHC-F=1:100-500, IF=1:100-500 Not yet tested in other applications. |
| 交叉反应 | Human, Mouse (Rat, Dog, Horse, Rabbit) |
| 抗体来源 | Rabbit |
| 免疫原 | KLH conjugated synthetic peptide derived from human AXL |
| 亚型 | IgG |
| 性状 | Liquid |
| 纯化方法 | affinity purified by Protein A |
| 克隆类型 | Polyclonal |
| 理论分子量 | 95 kDa |
| 浓度 | 1mg/ml |
| 储存液 | 0.01M TBS (pH7.4) with 1% BSA, 0.02% Proclin300 and 50% Glycerol. |
| 研究领域 | Cancer > Cell cycle > Kinases/phosphatases Cancer > Oncoproteins/suppressors > Oncoproteins > Signal transducers Cancer > Signal transduction Cell Biology > Cell Cycle > Kinases/Phosphatases Signal Transduction > Protein Phosphorylation > Tyrosine Kinases > Receptor Tyrosine Kinases Tags & Cell Markers > Cell Type Markers > Tumor Associated |
| 亚基 | Heterodimer and heterotetramer with ligand GAS6. Interacts with CBL, GRB2, LCK, NCK2, PIK3R1, PIK3R2, PIK3R3, PLCG1, SOCS1 and TENC1. Part a complex including AXL, TNK2 and GRB2, in which GRB2 promotes AXL recruitment by TNK2. |
| 亚细胞定位 | Cell membrane; Single-pass type I membrane protein. |
| 组织特异性 | Highly expressed in metastatic colon tumors. Expressed in primary colon tumors. Weakly expressed in normal colon tissue. |
| 翻译后修饰 | Phosphorylated at tyrosine residues by autocatalysis, which activates kinase activity. |
| 相似性 | Belongs to the protein kinase superfamily. Tyr protein kinase family. AXL/UFO subfamily. Contains 2 fibronectin type-III domains. Contains 2 Ig-like C2-type (immunoglobulin-like) domains. Contains 1 protein kinase domain |
| 功能 | Receptor tyrosine kinase that transduces signals from the extracellular matrix into the cytoplasm by binding growth factor GAS6 and which is thus regulating many physiological processes including cell survival, cell proliferation, migration and differentiation. Ligand binding at the cell surface induces dimerization and autophosphorylation of AXL. Following activation by ligand, ALX binds and induces tyrosine phosphorylation of PI3-kinase subunits PIK3R1, PIK3R2 and PIK3R3; but also GRB2, PLCG1, LCK and PTPN11. Other downstream substrate candidates for AXL are CBL, NCK2, SOCS1 and TENC1. Recruitment of GRB2 and phosphatidylinositol-3 kinase regulatory subunits by AXL leads to the downstream activation of the AKT kinase. GAS6/AXL signaling plays a role in various processes such as endothelial cell survival during acidification by preventing apoptosis, optimal cytokine signaling during human natural killer cell development, hepatic regeneration, gonadotropin-releasing hormone neuron survival and migration, platelet activation, or regulation of thrombotic responses. Plays also an important role in inhibition of Toll-like receptors (TLRs)-mediated innate immune response. In case of filovirus infection, seems to function as a cell entry factor. |
| 保存条件 | Shipped at 4℃. Store at -20℃ for one year. Avoid repeated freeze/thaw cycles. |
| 注意事项 | This product as supplied is intended for research use only, not for use in human, therapeutic or diagnostic applications. |
| 背景资料 | The protein encoded by this gene is a member of the receptor tyrosine kinase subfamily. Although it is similar to other receptor tyrosine kinases, the Axl protein represents a unique structure of the extracellular region that juxtaposes IgL and FNIII repeats. It transduces signals from the extracellular matrix into the cytoplasm by binding growth factors such as vitamin K dependent protein growth arrest specific gene 6. It is involved in the stimulation of cell proliferation. This receptor can also mediate cell aggregation by homophilic binding. Axl is a chronic myelogenous leukemia associated oncogene and also associated with colon cancer and melanoma.The Axl gene is evolutionarily conserved between vertebrate species. This gene has two different alternatively spliced transcript variants (AXL1 and AXL2). |
| 应用 | 推荐稀释比例 |
| {WB} | {1:500-2000} |
| {IHC-P} | {1:100-500} |
| {IHC-F} | {1:100-500} |
| {IF} | {1:100-500} |

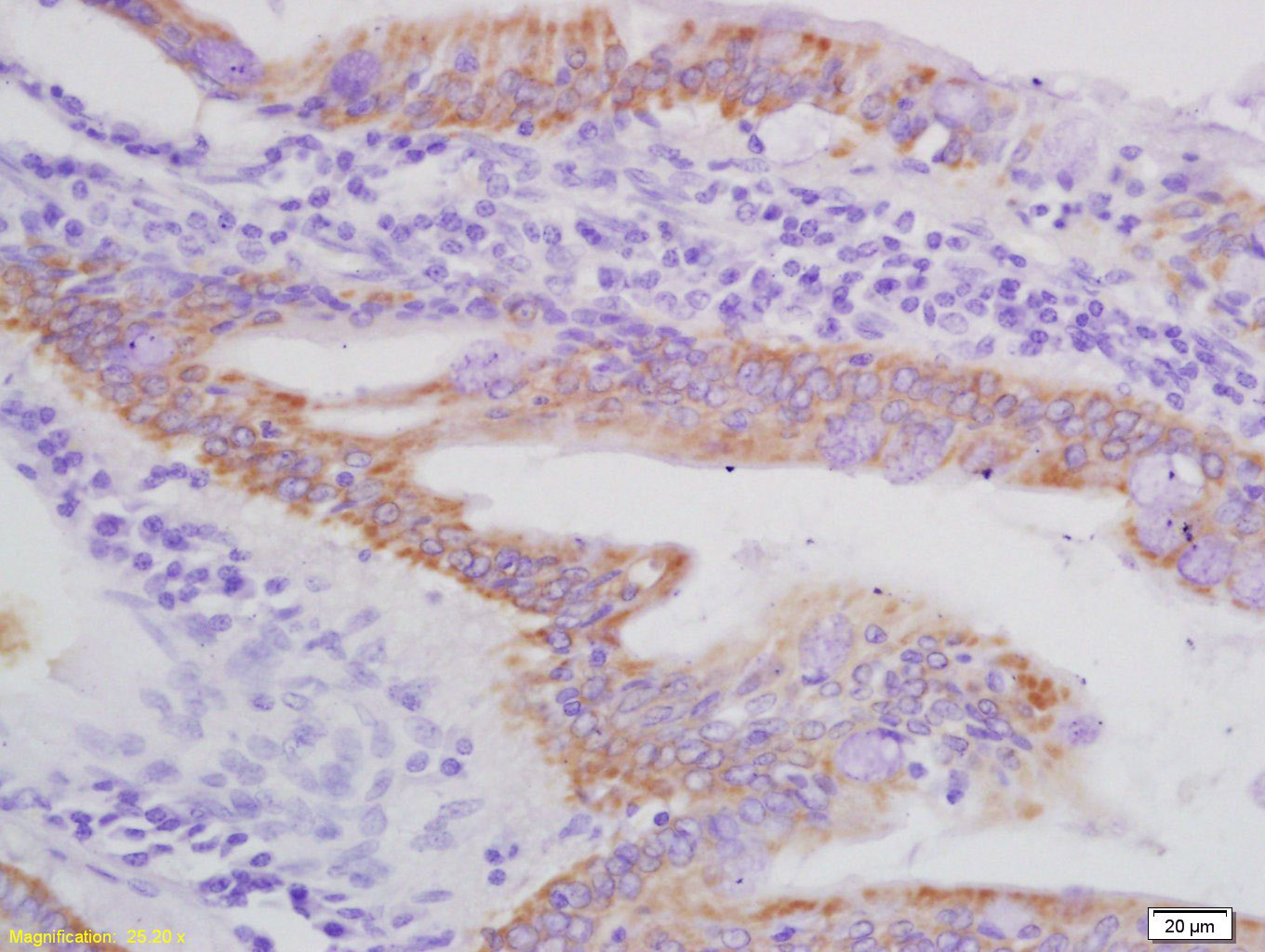
Antigen retrieval: citrate buffer ( 0.01M, pH 6.0 ), Boiling bathing for 15min; Block endogenous peroxidase by 3% Hydrogen peroxide for 30min; Blocking buffer (normal goat serum,C-0005) at 37℃ for 20 min;
Incubation: Anti-AXL/UFO Polyclonal Antibody, Unconjugated(bs-5180R) 1:200, overnight at 4°C, followed by conjugation to the secondary antibody(SP-0023) and DAB(C-0010) staining

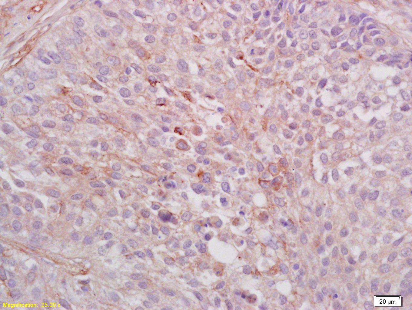
Antigen retrieval: citrate buffer ( 0.01M, pH 6.0 ), Boiling bathing for 15min; Block endogenous peroxidase by 3% Hydrogen peroxide for 30min; Blocking buffer (normal goat serum,C-0005) at 37℃ for 20 min;
Incubation: Anti-AXL/UFO Polyclonal Antibody, Unconjugated(bs-5180R) 1:200, overnight at 4°C, followed by conjugation to the secondary antibody(SP-0023) and DAB(C-0010) staining

MKN45(Human) Cell Lysate at 30 ug
SW480(Human) Cell Lysate at 30 ug
FHC(Human) Cell Lysate at 30 ug
Primary: Anti-AXL (bs-5180R) at 1/1000 dilution
Secondary: IRDye800CW Goat Anti-Rabbit IgG at 1/20000 dilution
Predicted band size: 140'120'98 kD
Observed band size: 120 kD

Testis (Mouse) Lysate at 40 ug
Hela (Human) Cell Lysate at 30 ug
Primary: Anti-AXL (bs-5180R) at 1/1000 dilution
Secondary: IRDye800CW Goat Anti-Rabbit IgG at 1/20000 dilution
Predicted band size: 140/120/65 kD
Observed band size: 120 kD

Lovo(Human) Cell Lysate at 40 ug
K562(Human) Cell Lysate at 40 ug
Primary: Anti-AXL (bs-5180R) at 1/500 dilution
Secondary: IRDye800CW Goat Anti-Rabbit IgG at 1/20000 dilution
Predicted band size: 95 kD
Observed band size: 95 kD
风险提示:丁香通仅作为第三方平台,为商家信息发布提供平台空间。用户咨询产品时请注意保护个人信息及财产安全,合理判断,谨慎选购商品,商家和用户对交易行为负责。对于医疗器械类产品,请先查证核实企业经营资质和医疗器械产品注册证情况。
文献和实验[IF={{ 8.786 }}] {Yongquan Han. et al. Axl promotes intracranial aneurysm rupture by regulating macrophage polarization toward M1 via STAT1/HIF-1α. FRONT IMMUNOL. 2023; 14: 1158758} {WB} {Mouse}
[IF={{ 8.322 }}] {Zhou, Hang. et al. AXL kinase-mediated astrocytic phagocytosis modulates outcomes of traumatic brain injury. J Neuroinflamm. 2021 Dec;18(1):1-17} {WB,IF} {Mouse}
[IF={{ 7.79 }}] {Xiaojie Zhang. et al. Bio-engineered Nano-vesicles for IR820 Delivery: A Therapy Platform for Cancer by Surgery and Photothermal Therapy. Nanoscale. 2021 Dec;:} {WB} {Human}
[IF={{ 7.7 }}] {Olivia Justynski. et al. Apoptosis recognition receptors regulate skin tissue repair in mice. ELIFE. 2023 Dec} {IF} {Mouse}
[IF={{ 7.4 }}] {Ting Ji. et al. GAS6 attenuates sepsis-induced cardiac dysfunction through a NLRP3 inflammasome-dependent mechanism. FREE RADICAL BIO MED. 2023 Nov;:} {CoIP} {Mouse}
= NAL), appears to form upon oxidative cyclization of the nonfluorescent 2:1 lysine-HNE Michael adduct-Schiff base cross-link (Scheme 1). Polyclonal antibody (PAb) to the NAL-HNE fluorophore was raised in rabbit and found to be highly specific
GE Healthcare Benzamidine Sepharose™ 6B is p-aminobenzamidine covalently attached to Sepharose 6B by the epoxy coupling method. p-Aminobenzamidine (PAB), is a synthetic inhibitor of trypsin-like serine protease. Trypsin and trypsin
Nucleic Acid Programmable Protein Arrays: Versatile Tools for Array‐Based Functional Protein Studies
.g., Sigma) 50 mg/ml bis‐sulfosuccinimdylsuberate (BS3 ;Pierce, cat. no. PI 21580) in dimethylsulfoxide (DMSO) 5 mg/ml
技术资料暂无技术资料 索取技术资料






