万千商家帮你免费找货
0 人在求购买到急需产品
- 详细信息
- 文献和实验
- 技术资料
- 提供商:
上海达为科生物科技有限公司
- 服务名称:
HE染色实验
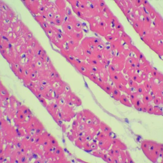
一、HE染色的基本原理
HE染色(苏mu精-伊红染色)是组织学中最经典的染色方法,其原理基于酸性/碱性染料与组织成分的化学结合:
- 苏mu精(碱性染料):与细胞核内的DNA(酸性)结合,通过金属离子(如铝)媒染后形成稳定的蓝紫色复合物。
- 伊红(酸性染料):与细胞质、胶原纤维等蛋白质(碱性)结合,呈现粉红色。
- 酸碱平衡调控:染色液的pH值影响染料亲和力,如分化步骤通过盐酸乙醇去除过染的苏mu精,返蓝液(碳酸锂或an水)中和酸性环境以恢复核的蓝色。
二、肝组织HE染色的标准化流程
(结合多篇文献的操作步骤优化)
-
样本前处理
- 固定:新鲜肝组织需立即用4%多ju甲醛固定≥48小时,防止自溶并维持结构。
- 脱水与包埋:梯度乙醇(70%-100%)脱水,二甲苯透明,石蜡浸透后包埋。肝组织推荐切片厚度4μm以清晰显示肝小叶结构。
-
染色步骤
步骤 试剂/操作 时间 关键参数 脱蜡 二甲苯Ⅰ、Ⅱ 各10分钟 需彻底溶解石蜡 复水 梯度乙醇(100%→70%) 各5分钟 防止组织收缩 苏mu精染色 10%苏木素染液 5-10分钟 染色深度需镜检调整 分化 0.5%盐酸乙醇 5-30秒 肝细胞核密集,需精准控制 返蓝 流水冲洗或1%碳酸锂 5分钟 恢复核的蓝色 伊红染色 1%伊红染液 1-5分钟 胞质过染需乙醇梯度洗脱 脱水封片 梯度乙醇→二甲苯→中性树胶 各2-5分钟 避免残留水分导致浑浊
特殊注意事项:
- 分化控制:肝组织细胞核密集,分化不足会导致核浆对比模糊,过度则核淡染。
- 返蓝替代方案:部分实验室用自来水长时间冲洗(≥15分钟)代替碳酸锂。
- 防脱片处理:肝组织含较多脂质,建议使用多聚赖氨酸包被载玻片。
三、肝组织的特殊处理要求
-
固定优化:
- 肝血窦丰富,需灌注固定(活体取材)或切薄块(≤5mm)以加速固定剂渗透。
- 脂肪肝样本需延长固定时间至72小时,防止脂质溶解影响染色。
-
染色调整:
- 脂肪变性区域:伊红染色时间缩短至15秒,避免脂滴溶解形成的空泡过染。
- 纤维化样本:苏mu精染色延长至8分钟,增强核与纤维结构的对比。
-
病理评估配套技术:
- Masson三色染色:联合用于评估肝纤维化程度,HE染色对早期纤维化不敏感。
- 天狼星红染色:鉴别Ⅰ/Ⅲ型胶原分布,辅助肝硬化的分期。

风险提示:丁香通仅作为第三方平台,为商家信息发布提供平台空间。用户咨询产品时请注意保护个人信息及财产安全,合理判断,谨慎选购商品,商家和用户对交易行为负责。对于医疗器械类产品,请先查证核实企业经营资质和医疗器械产品注册证情况。
文献和实验相关专题 本篇文章主要介绍了采用苏木素(Hematoxylin)-伊红(Eosin)染色法对细胞染色的实验原理、实验用品和具体实验步骤。 HE染色法 一、原理 苏木素(Hematoxylin)-伊红(Eosin)染色法,简称HE染色法。 HE染色法采用两种染料即碱性染料苏木素和酸性染料伊红分别于细胞核 和细胞质发生作用,使细胞的微细结构通过颜色而改变它的折光率,从而在光镜下能清晰地呈现出细胞图像。该染色过程既有化学
清泓生物技术(上海)有限公司 1. 稳定高效的蛋白表达平台 真核表达系统 –哺乳细胞表达平台, - 有活性的蛋白:哺乳细胞表达平台有效保证目的蛋白正确折叠和正确修饰 - 蛋白复合物:多个蛋白共表达,表达和纯化制备蛋白复合体 - 哺乳细胞:众多蛋白,尤其是分泌蛋白最理想的宿主细胞 - 快速高效:一个月内得到目的蛋白 - 最优流程:细胞生长,蛋白表达和纯化工艺流程 - (可选)蛋白活性检测服务 真核表达系统 –昆虫细胞表达平台
2010 年 7 月 18 日应上海市公共卫生临床研究中心的邀请,上海锐赛生物技术有限公司组织参加了为上海市各大医院临床医生举办的上海市临床科研基本实验技能培训,培训的内容是细胞培养相关操作。细胞培养技术是生物医学研究领域的重要组成部分,安全稳定的细胞培养能够提供良好的实验依据。目前许多生物技术服务企业与科研单位都对如何更好的解决细胞培养问题存在很大疑问。就此基础问题上海锐赛技术部的黄博士结合多年的生物操作经验,详尽介绍了细胞培养技术,并将理论与实际操作作为课程的重点,向各单位
技术资料暂无技术资料 索取技术资料









