万千商家帮你免费找货
0 人在求购买到急需产品
- 详细信息
- 询价记录
- 文献和实验
- 技术资料
- 提供商:
天津国晟中源科技有限责任公司
- 服务名称:
石蜡切片Masson染色
- 规格:
项
Masson染色
Masson染色,也称为马松染色,是一种广泛应用于观察组织纤维化的经典结缔组织染色方法。它通过特殊的染色步骤和染色剂,能够清晰地区分并显示组织中的胶原纤维和肌纤维,为研究人员提供了深入了解细胞和组织结构、形态及变化的重要工具。
一、染色原理:
Masson染色的原理主要基于不同组织成分对光线的吸收差异以及不同染色剂与组织成分的化学反应。具体来说,该染色方法利用了一系列化学处理和不同染色剂的作用,使得胶原纤维产生色素沉淀,从而呈现出与周围组织不同的颜色。
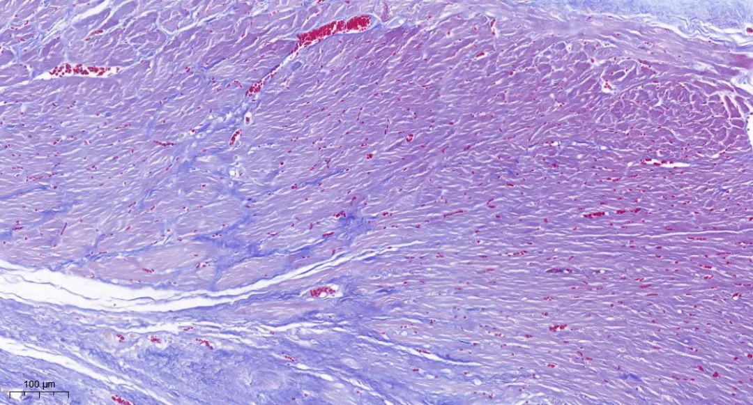
其中,胶原纤维通常呈现为蓝色,而肌纤维则呈现为红色。

masson染色·心
二、材料与仪器:
实验试剂:
无水乙醇、二甲苯、Masson 三色染色试剂盒、中性树胶
实验仪器:
LEiCA TP-1020脱水机、LEiCA HistoCore MULTICUT病理切片机、包埋机、冻台、组织摊片机、烤箱、载玻片、盖玻片、OLYMPUS CKX43-LP显微镜、3DHISTECHP250FLASH全景扫描仪
三、实验步骤:
1、 石蜡切片脱蜡至水:
依次将石蜡切片放入
❶二甲苯Ⅰ20min❷二甲苯Ⅱ20min
❸无水乙醇Ⅰ3min❹无水乙醇Ⅱ3min
❺90%乙醇3min❻80%乙醇3min
❼70%乙醇3min❽蒸馏水洗
2、媒染处理:
将切片浸入Bouin液中,于室温下静置过夜,或置于37℃温箱内加速处理2小时,以实现充分媒染。而后使用流水细致冲洗切片,直至黄色完全褪去。
3、天青石蓝染色:
使用天青石蓝染色液对切片进行滴染,持续2至3分钟,确保均匀着色。以少量蒸馏水轻轻冲洗切片,去除多余染液。
4、Mayer苏木素复染:
滴加Mayer苏木素染色液,持续2至3分钟,增强组织结构的对比度。用蒸馏水轻微水洗,去除浮色。
5、酸性乙醇分化:
将切片置于酸性乙醇分化液中短暂分化数秒,以精细调控苏木素染色深度。以蒸馏水冲洗切片约10分钟,确保分化液完全去除。
6、丽春红品红染色:
滴加丽春红品红染色液,染色时间控制在10分钟,以凸显特定组织结构。用蒸馏水轻轻冲洗切片,去除多余染液。
7、磷钼酸处理:
将切片置于磷钼酸溶液中处理约10分钟,以增强后续染色的对比度。
8、苯胺蓝染色:
倾去磷钼酸溶液后,无需水洗,直接滴加苯胺蓝染色液,染色5分钟,进一步丰富组织色彩。
9、弱酸处理:
使用弱酸溶液处理切片2分钟,以优化染色效果。
10、快速脱水:
首先以95%乙醇快速脱水,随后通过三次无水乙醇脱水处理,每次持续5至10秒,确保彻底脱水。
11、透明处理:
将切片置于二甲苯中透明三次,每次1至2分钟,以增强切片的透明度和光泽度。
12、封片:
最后,以中性树胶封固切片,完成整个Masson染色流程。
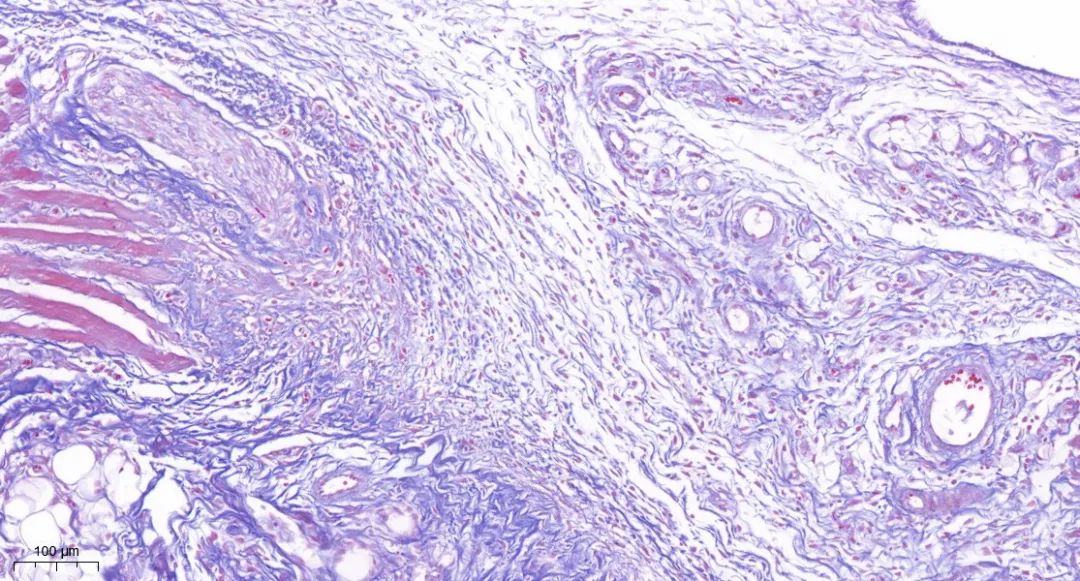
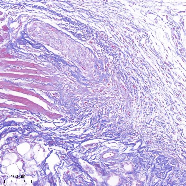
※实验结果示例:
胶原纤维通常呈现为蓝色,而肌纤维则呈现为红色。

masson染色·皮
四、注意事项
1、染色时间控制:
染色时间需要根据实验需求进行适当控制。过长的染色时间可能导致染色剂沉淀量增加,影响染色结果的准确性。
2、染色剂的使用:
苯胺蓝和丽春红等染色剂应充分溶解并过滤后使用,以避免杂质影响染色效果。
3、溶液更换:
1%的磷钼酸水溶液需要经常更换,一旦溶液明显变色即应更换,以确保染色效果。
风险提示:丁香通仅作为第三方平台,为商家信息发布提供平台空间。用户咨询产品时请注意保护个人信息及财产安全,合理判断,谨慎选购商品,商家和用户对交易行为负责。对于医疗器械类产品,请先查证核实企业经营资质和医疗器械产品注册证情况。
- 作者
- 内容
- 询问日期
文献和实验组蛋白的翻译后修饰过程对 DNA 转录,染色体功能以及维护细胞信号传导通路的正常运行具有重要的作用,瓜氨酸化是由称为蛋白质精氨酸脱亚胺酶(Protein Arginine Deiminases,PADs)的酶家族催化的许多关键组蛋白修饰手段之一。PADs 催化肽基精氨酸水解,在组蛋白上形成肽基瓜氨酸,调节与染色质结构相关的许多生化过程。PAD 家族由钙依赖性同工酶 PAD1, 2, 3, 4 和 6 的五个成员组成。组蛋白瓜氨酸化是通过在组蛋白上转化精氨酸而影响染色体结构,导致氢键的减少和染色
实验流程:多靶点免疫荧光染色的实验操作与普通单标记免疫组化流程相似。试剂盒中的荧光染料可以在HRP酶的作用下将信号共价结合到抗原上,随后即可衔接下一轮单标染色,直至全部标记完成,即可复染DAPI后封片观察。1.脱蜡水合:1)新鲜二甲苯浸片10min,重复3次。2)梯度乙醇浸片,100% 5min;95% 5min;70% 2min。3)灭菌水洗片1min,重复3次。4)10%中性福尔马林浸片10min,灭菌水洗片1min,重复3次。2.微波修复:1)将脱蜡水合后的玻片置于修复杯中,用抗原
大家在实验过程中,是不是经常会用到各种染色法?但是染色方法如此之多,其具体方法与步骤又有什么区别?学霸君非常的贴心,帮大家整理了各种染色方法,并作了汇总。以下是从 A 至 V 的染色大法一览表











