万千商家帮你免费找货
0 人在求购买到急需产品
- 详细信息
- 技术资料
- 提供商:
上海达为科生物科技有限公司
- 服务名称:
流式细胞实验
| 品牌 | 其他品牌 | 产地类别 | 国产 |
|---|---|---|---|
| 应用领域 | 医疗卫生,生物产业,综合 |
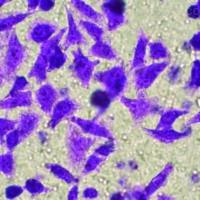
流式细胞实验是生物细胞平台实验组成之一, 作为常见细胞实验,日常实验之一。主要是进行组织形态观察,其结果通过照片形式展现。通过对组织形态观察,了解实验结果,验证实验结果,对后续实验进行把控等。
流式细胞实验是达为科生物细胞平台实验组成之一, 作为常见细胞实验,日常实验之一。细胞实验由从流式细胞实验主要是进行组织形态观察,其结果通过照片形式展现。通过对组织形态观察,了解实验结果,验证实验结果,对后续实验进行把控等。
通过高度细分、较好的的服务平台,为广大客户提供了完善的技术解决方案和服务。能够为广大客户提供更为专业的实验动物饲养及造模服务。 时光荏苒,通过全体员工的共同努力,公司具备从上游的高通量筛选到下游特定基因功能解析的完善整合技术平台,能够真正为客户提供专业、完善的技术解决方案和服务。
公司位于上海长江软件园,技术团队包括研究员(博士后)2人,助理研究员(博士)4人,核心研究员(硕士)15人,主要致力于基因组学、转录组学、蛋白质组学、代谢组学、生物化学、病理检测、基因检测等技术在科研中的应用与推广。
风险提示:丁香通仅作为第三方平台,为商家信息发布提供平台空间。用户咨询产品时请注意保护个人信息及财产安全,合理判断,谨慎选购商品,商家和用户对交易行为负责。对于医疗器械类产品,请先查证核实企业经营资质和医疗器械产品注册证情况。
流式细胞实验
询价










