万千商家帮你免费找货
0 人在求购买到急需产品
- 详细信息
- 文献和实验
- 技术资料
- 提供商:
上海达为科生物科技有限公司
- 服务名称:
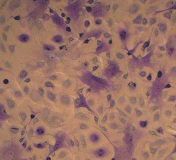
甲苯胺蓝染色
一、实验原理
甲苯胺蓝是常用的人工合成染料的一种,属于醌亚胺染料类,这类染料一般含有两个发色团,一个是胺基,一个是醌型苯环,来构成色原显色。染料除有发色团外,还要有能使色原对组织及其他被染物产生亲和力的原子团即助色。助色团能促使染料产生电离成盐类,帮助发色团对组织产生染色力, 使切片上的组织细胞着色。甲苯胺蓝不仅含有两个发色团,还含有两个助色团,为碱性染料,甲苯胺蓝中的阳离子有染色作用,组织细胞的酸性物质与其中的阳离子相结合而被染色。
二、染色步骤
(一)1.组织切片常规脱蜡至水。
2.入甲苯胺蓝液30min。
3.稍水洗。
4.入冰醋suan液分化,直到胞核和颗粒清晰。
5.稍水洗,用冷风吹干。
6.二甲苯透明,中性树胶封固。
(二)1、切片脱腊至水。
2、蒸馏水浸洗3次。
3、0.1%甲苯胺蓝液浸染10min。
4、水洗,洗去多余染液。
5、各级酒精脱水。
6、二甲苯透明,中性树胶封固。
上海达为科生物科技有限公司,公司位于上海长江软件园,实验室面积600多平方米。我们拥有专业的实验室、先进的实验设备和经验丰富的科研技术人员。公司目前具备较好的生物学、医学技术服务平台,能够为广大客户提供医学科研样本检测、合作研究、开发及生产服务。
风险提示:丁香通仅作为第三方平台,为商家信息发布提供平台空间。用户咨询产品时请注意保护个人信息及财产安全,合理判断,谨慎选购商品,商家和用户对交易行为负责。对于医疗器械类产品,请先查证核实企业经营资质和医疗器械产品注册证情况。
文献和实验切片3张以上免制备费 染色服务 类别 服务项目 备注 说明 染色 HE染色 染色 苏木精-伊红染色法,观察组织形态 冰冻HE染色 染色 苏木精-伊红染色法,观察组织形态 油红O染色 染色 4%多聚甲醛固定,冰冻切片。对组织内脂质(如脂滴)染色 番红固绿染色 染色 常用于植物、软骨
1.仪器装置 电泳室及直流电源同纸电泳。 2.试剂 (1) 醋酸-锂盐缓冲液(pH3.0) 取冰醋酸50ml,加水800ml混合后,用氢氧化锂调节pH至3.0,再加水至1000ml。 (2) 甲苯胺蓝溶液 取甲苯胺蓝0.1g,加水100ml使溶解。 3.操作 (1)制胶 取琼脂糖约0.2g,加水10ml,置水浴中加热使溶胀完全,加温热的醋酸-锂盐缓冲液(pH3.0)10ml,混匀,趁热将胶液涂布于大小适宜(2.5cm×7.5cm或4cm×9cm)的玻璃板上,厚度约
的水平式电泳室即可,电源为稳压直流电源,常压电泳一般在100-500V,高压电泳一般在500-10000V。 2 试剂 (1) 醋酸-锂盐缓冲液(pH3.0) 取冰醋酸50ml,加水800ml混合后,用氢氧化锂调节到pH值至3.0,在加水至1000ml。 (2) 甲苯胺蓝溶液 去甲苯胺蓝0.1g,加水100ml使溶解。 3 操作法 (1) 制胶 取琼脂糖约0.2g,加水10ml,置水浴中使溶胀完全,加温热的醋酸-锂盐缓冲溶液(pH3.0)10ml,混匀,趁热将胶液涂布于大小适宜











