万千商家帮你免费找货
0 人在求购买到急需产品
- 详细信息
- 文献和实验
- 技术资料
- 提供商:
上海达为科生物科技有限公司
- 服务名称:
甲苯胺蓝染色
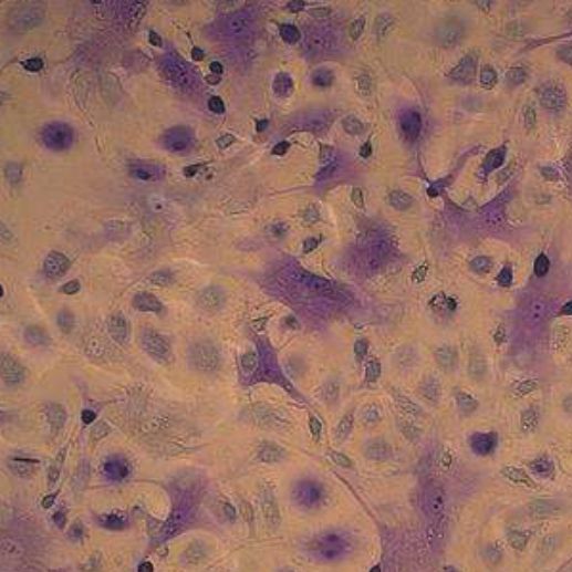
一、染色原理与特性
甲苯胺蓝(Toluidine Blue)是一种人工合成的醌亚胺类碱性染料,具有两个发色团(胺基和醌型苯环)和两个助色团,能与组织中的酸性物质(如核酸、酸性黏多糖、硫酸软骨素等)结合。其特性包括:
- 异染性:在特定条件下,染色结果与染料本身颜色不同(如肥大细胞颗粒呈紫红色,背景为蓝色)。
- 多靶点结合:
- 细胞核(DNA/RNA)呈蓝色;
- 肥大细胞颗粒(肝素/组胺)、软骨基质(硫酸软骨素)呈紫红色;
- 植物木质部呈蓝绿色,纤维素细胞壁呈蓝紫色。
- pH敏感性:染色特异性和强度受染液pH影响,强碱性环境(硼酸盐缓冲液)利于着色。
二、标准化实验流程
(一)通用操作步骤(以石蜡切片为例)
| 步骤 | 操作要点 | 关键技术参数 |
|---|---|---|
| 1. 样本制备 | 组织经4%多ju甲醛或10%福尔马林固定,石蜡包埋切片(4-6 μm) | 未脱钙硬组织需特殊处理,冷冻切片无需脱蜡 |
| 2. 脱蜡至水 | 二甲苯脱蜡2次(各10分钟)→梯度乙醇(100%→75%)复水→蒸馏水冲洗 | 脱蜡不彻底会导致染色不均,需显微镜验证 |
| 3. 染色 | 0.1%-1%甲苯胺蓝染液浸染10-30分钟(室温) | 软骨染色需延长至30分钟,肥大细胞染色可缩短至20分钟 |
| 4. 分化 | 1%盐酸酒精或bing酮分化1-5分钟,显微镜动态控制至背景透明、目标结构清晰 | 过度分化导致目标信号丢失,分化不足则背景过深 |
| 5. 脱水封片 | 梯度乙醇脱水→二甲苯透明→中性树胶封固 | 脱水不彻底会导致封片浑浊,树胶需覆盖组织外1-2 mm |

风险提示:丁香通仅作为第三方平台,为商家信息发布提供平台空间。用户咨询产品时请注意保护个人信息及财产安全,合理判断,谨慎选购商品,商家和用户对交易行为负责。对于医疗器械类产品,请先查证核实企业经营资质和医疗器械产品注册证情况。
文献和实验HE&尼式染色.pdf
常用于软骨组织或早幼粒细胞、巨核细胞染色 甲苯胺蓝染色 染色 观察软骨组织形态或组织内肥大细胞的数量及分布 Trap染色 染色 用于检测骨、骨细胞中破骨细胞的染色,使破骨细胞呈红色,细胞核浅蓝色,用以显示破骨细胞的分布及数量变化。 ALP染色 染色 用于检测骨细胞、骨组织、肾、肝碱性磷酸酶的染色方法,使碱性磷酸酶呈黑色,细胞核呈浅蓝色,这是成熟成骨细胞的标志性酶;也可用于肝炎和肾炎的检测
一、样本准备 详见流式细胞术样本制备技术、流式实验样本制备方法及注意事项 收集细胞,200 目筛网过滤,收集滤液,300 g 离心 5 min,弃上清 向细胞中加入适量细胞染色 buffer(或含 1%BSA 的 PBS),用移液枪轻轻吹打细胞重悬 二、细胞计数 用血球计数板或其他仪器对悬液进行计数后,调整细胞浓度约为 1 × 107/mL 三、设置实验分组 四、封闭 Fc 受体 封闭 Fc 受体能减少染色过程中的非特异性染色。 小鼠中,纯化的 CD16/CD32 单抗能和 Fc










