万千商家帮你免费找货
0 人在求购买到急需产品
- 详细信息
- 询价记录
- 技术资料
- 提供商:
武汉恒意赛生物科技有限公司
- 服务名称:
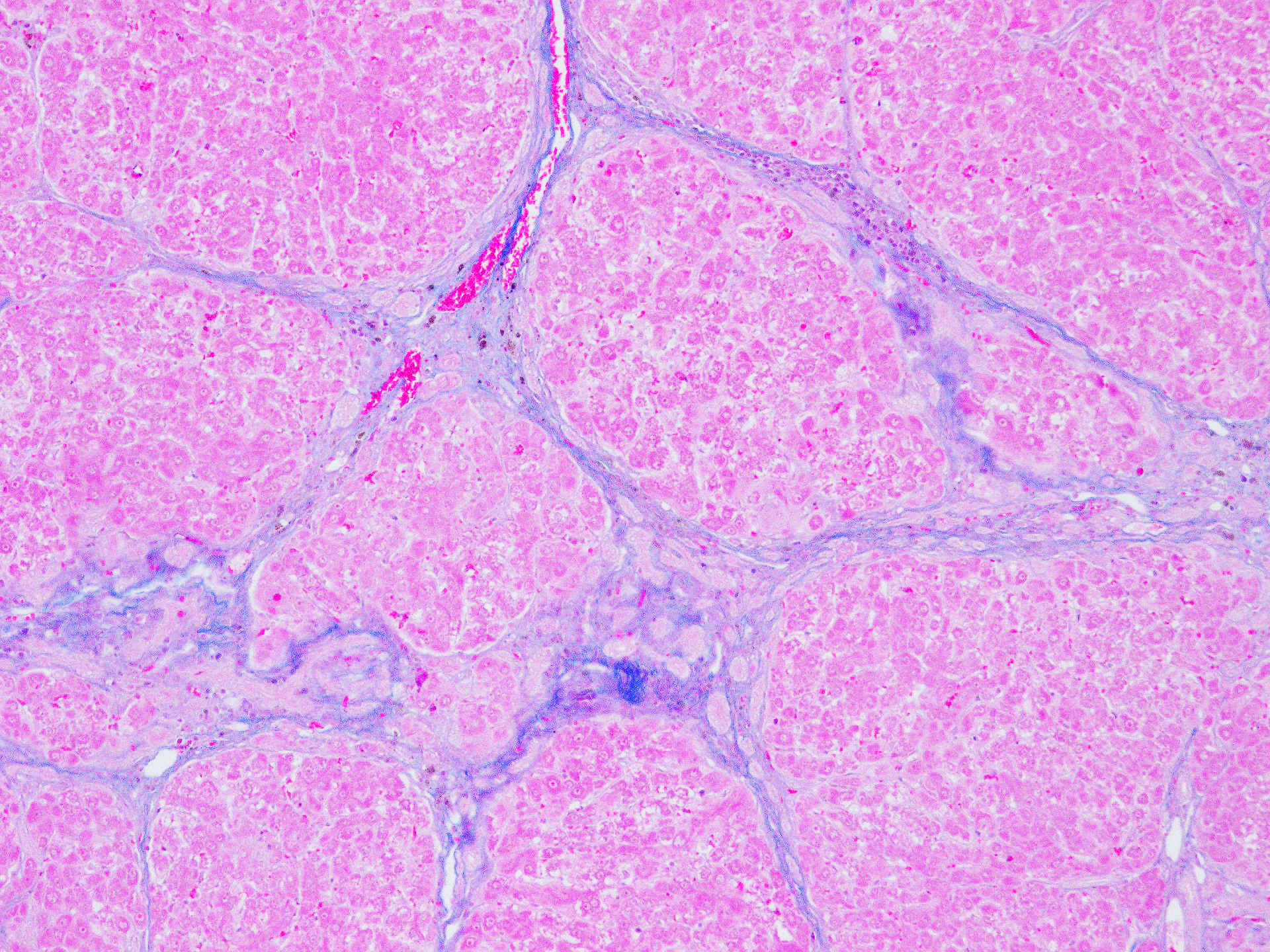
masson染色
masson染色实验步骤
1、 石蜡切片脱蜡至水:依次将切片放入二甲苯Ⅰ20min-二甲苯Ⅱ20min-无水乙醇Ⅰ10min-无水乙醇Ⅱ10武汉恒意赛生物科技有限公司 min-95%酒精5min-90%酒精5min-80%酒精5min-70%酒精5min-蒸馏水洗。
2、 铁苏木素染细胞核:将铁苏木素A液与B液按1:1配好滴加到组织上染3min,自来水洗,1%的盐酸酒精分化数秒,自来水冲洗,0.6%安水返蓝,流水冲洗。
3、 丽春红浸染:切片入丽春红染液中染色7min,蒸馏水稍洗。
4、 磷钼酸分化:切片入磷钼酸溶液分化3min。
5、 苯*胺蓝染液染胶原纤维:切片入苯*胺蓝染液浸染5min。
6、 冰醋*酸分化:切片入冰醋*酸溶液中分化1min。
脱水封片:将切片依次放入95%酒精I 3min -95%酒精II 3min-无水乙醇Ⅰ5min -无水乙醇Ⅱ5min -二甲苯Ⅰ5min -二甲苯Ⅱ5min中脱水透明,将切片从二甲苯拿出来稍晾干,中性树胶封片。
风险提示:丁香通仅作为第三方平台,为商家信息发布提供平台空间。用户咨询产品时请注意保护个人信息及财产安全,合理判断,谨慎选购商品,商家和用户对交易行为负责。对于医疗器械类产品,请先查证核实企业经营资质和医疗器械产品注册证情况。
- 作者
- 内容
- 询问日期
技术资料暂无技术资料 索取技术资料
masson染色
询价









