
Masson染色
万千商家帮你免费找货
0 人在求购买到急需产品
- 详细信息
- 询价记录
- 技术资料
- 提供商:
嘉兴硕玺生物有限公司
- 服务名称:
Masson染色
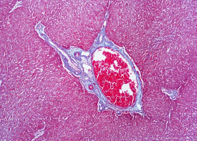
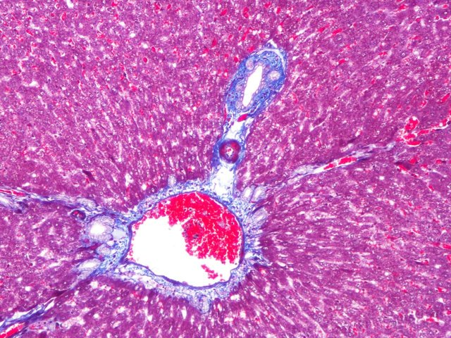
Masson氏染色时胶原纤维呈蓝色(被苯胺蓝所染)或绿色(被亮绿所染),肌纤维呈红色(被酸性品红和丽春红所染),这与阴离子染料分子的大小和组织的渗透性有关。如已固定的组织用一系列阴离子水溶性染料先后或混合染色,则可发现红细胞被 最小分子的阴离子染料着染,肌纤维与胞质被中等大小的阴离子染料着染,而胶原纤维则被大分子的阴离子染料着染。由此 说明了红细胞对阴离子染料的渗透性最小,肌纤维与胞质次之,而胶原纤维具有最大的渗透性。根据组织不同的渗透性能, 选择分子大小不同的阴离子染料进行染色,便可把不同组织成分显示出来。
Masson染色实验意义:
(1)可用于器官硬化性疾病的观察:如肝硬变、心肌瘢痕的观察,胶原染色更易于观察诊断。
(2)可用于瘢痕与淀粉样物质鉴别:前者胶原纤维染色为阳性,后者为阴性。
(3)可用于骨纤维异常增殖病与骨纤维化的鉴别:利用胶原纤维染色可较易观察前者胶原纤维紊乱,纵横交错,后者较规则。
实验步骤:
(1)烘片。
(2)二甲苯脱蜡。
(3)梯度酒精水化。
(4)苏木素浸染、盐酸酒精分化、丽春红染色。
(5)二甲苯透明。
(6)梯度酒精脱水。
(7)苯.胺蓝染液浸染、0.2%冰.醋.酸水溶液浸洗。
(8)2%冰.醋.酸水溶液浸洗,1%磷.钼.酸水溶液分化。
(9)中性树胶封固。
(10)完成。
实验结果:
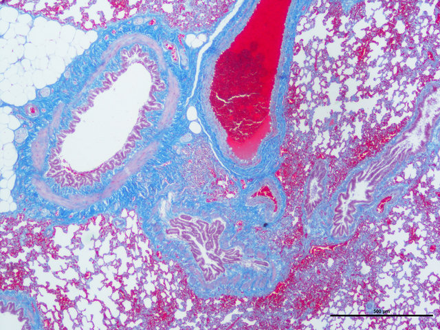
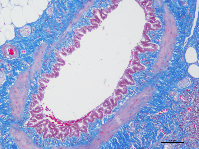
胶原纤维呈蓝色;胞质、肌纤维、红细胞呈红色;胞核黑蓝色。
实验技巧:
(1)控制好染色步骤。
(2)组织固定起着很重要的作用,根据不同的固定液可延长或缩短染色时间。
(3)0.2%冰.醋.酸水溶液洗,可使色调清晰鲜艳。
(4)磷钼酸水溶液对丽春红、酸性复红有分化作用,分化时镜下控制, 肌纤维和
纤维素呈红色,胶原纤维呈淡粉红色即可。
样片参考:




风险提示:丁香通仅作为第三方平台,为商家信息发布提供平台空间。用户咨询产品时请注意保护个人信息及财产安全,合理判断,谨慎选购商品,商家和用户对交易行为负责。对于医疗器械类产品,请先查证核实企业经营资质和医疗器械产品注册证情况。
- 作者
- 内容
- 询问日期
技术资料暂无技术资料 索取技术资料








