万千商家帮你免费找货
0 人在求购买到急需产品
- 详细信息
- 询价记录
- 技术资料
- 提供商:
晶莱生物
- 服务名称:
HE染色
- 规格:
HE染色
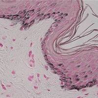
HE染色: 即苏木素-伊红染色法(hematoxylin-eosin staining),酸性染料伊红使细胞质以及胞外基质呈现红色,碱性染料苏木素则使细胞核内染色质和胞质中的核酸呈现蓝紫色。
实验意义
1. HE染色是石蜡切片技术中最基本、最常用的染色方法之一,可广泛应用于组织学、病理学检测及科学研究等。
2. HE染色可观察到组织、细胞成分以及病变的形态结构。
实验步骤
结果展示
HE染色结果展示
病理分析:肾小球轮廓不规则,弥漫性节段性硬化,大部分肾小囊腔狭窄或消失,球囊粘连,肾小囊内无异物,肾小球内及囊周可见少许淋巴细胞及中性粒细胞浸润,肾小管、集合管排列尚紧密整齐。肾小管上皮细胞部分空泡变性,完整胞核呈圆形。肾间质少许淋巴细胞浸润,小动脉管壁增厚,管腔狭窄,玻璃样变性、硬化。
实验完成周期及交付标准
1. 实验周期:2-5天
2. 交付标准:蜡块、切片、染色图片、实验报告(试剂、仪器、材料等)
需确认的信息
1. 样本种属?
2. 样本类型(固定液固定组织or蜡块or切片)
3. 取材要求?横切还是纵切?
4. 拍照要求,需要几个倍数,是否需要扫描?
晶莱生物服务流程
收费标准/服务周期/提供结果:
欢迎咨询详谈,我们会根据您的方案及需求制定详细的服务协议。
更多实验技术服务请浏览网站其他内容,或来电咨询!
做实验,找晶莱!您的科研生涯,我们一路相伴!
【平台项目开展范围】慢病毒,腺病毒,RNAi类,分子生物实验,病理实验,免疫学实验,细胞实验,动物实验,蛋白组学实验,芯片类实验,并为广大客户朋友们提供课题设计指导、基金申请指导等服务。
【北京公司】北京经济技术开发区科创十三街12号院德为科技园1号楼5层
【长沙公司】长沙市高新区麓谷大道627号新长海中心A1-1203室
【晶莱生物】已开展了数千个实验外包项目。我们专注于医学课题研究,已从课题申请、方案设计、试剂采购、模型构造、标本检测、数据分析,各个环节积累了数千个成功案例经验,为数千个来自临床的科研工作者解决了大量的科研问题。更多相关实验服务信息请咨询晶莱生物
晶莱生物服务流程
收费标准/服务周期/提供结果:
欢迎咨询详谈,我们会根据您的方案及需求制定详细的服务协议。
更多实验技术服务请浏览网站其他内容,或来电咨询!
做实验,找晶莱!您的科研生涯,我们一路相伴!
【平台项目开展范围】慢病毒,腺病毒,RNAi类,分子生物实验,病理实验,免疫学实验,细胞实验,动物实验,蛋白组学实验,芯片类实验,并为广大客户朋友们提供课题设计指导、基金申请指导等服务。
【北京公司】北京经济技术开发区科创十三街12号院德为科技园1号楼5层
【长沙公司】长沙市高新区麓谷大道627号新长海中心A1-1203室
【晶莱生物】已开展了数千个实验外包项目。我们专注于医学课题研究,已从课题申请、方案设计、试剂采购、模型构造、标本检测、数据分析,各个环节积累了数千个成功案例经验,为数千个来自临床的科研工作者解决了大量的科研问题。更多相关实验服务信息请咨询晶莱生物
风险提示:丁香通仅作为第三方平台,为商家信息发布提供平台空间。用户咨询产品时请注意保护个人信息及财产安全,合理判断,谨慎选购商品,商家和用户对交易行为负责。对于医疗器械类产品,请先查证核实企业经营资质和医疗器械产品注册证情况。
- 作者
- 内容
- 询问日期
技术资料暂无技术资料 索取技术资料
HE染色
¥60









