万千商家帮你免费找货
0 人在求购买到急需产品
- 详细信息
- 询价记录
- 文献和实验
- 技术资料
- 服务名称:
油红O染色实验服务
- 提供商:
晶莱生物
- 规格:
样本
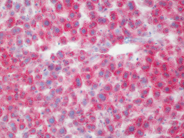
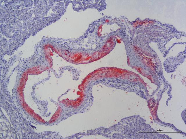
油红O染色简介:
油红O脂肪染色法是指在日常病理诊断和科研工作中为了显示组织内的脂肪常采用油红O进行染色的方法,油红O为脂溶性染料,在脂肪内能高度溶解,可特异性的使组织内甘油三酯等中性脂肪着色。
油红O染色实验意义:
正常情况下,除脂肪细胞外其他细胞内一般不见或仅见少量脂滴。在病理状态下如这些细胞中出现脂滴或脂滴明显增多,特别是在心、肝、肾等实质器官发生脂肪变性时,胞浆内出现大小不一的空泡,这时常需鉴别空泡性质,用脂肪染色来区分是脂肪变性还是水样变性或糖原贮留。在动脉粥样硬化时,内皮细胞下的脂质沉着,用脂肪染色能将脂质清晰地显示出来。由脂肪组织病变所引起的脂肪栓塞可用脂肪染色显示栓子内的脂质,从而确诊脂肪栓塞。用于肿瘤组织的鉴别诊断,由脂肪组织所发生的肿瘤在与其他组织来源的肿瘤相区分时,可以借助脂肪染色,脂肪组织所发生的肿瘤,脂肪染色为阳性。并可根据所显示的细胞形态特点与类似肿瘤进行鉴别,肾透明细胞癌与肾上腺瘤,卵巢纤维瘤与卵泡膜细胞瘤,皮脂腺瘤与鳞状细胞癌的鉴别诊断有意义。
实验步骤:
2、染色:入油红O工作液孵育10-15min;细胞爬片破膜10-15min,PBS漂洗3次,5min/次,入油红工作液37℃染色1-2h。
3、分化:75%酒精分化2s,水洗1min。
4、复染细胞核:Harris苏木素复染1-2min左右,自来水洗,1%的盐酸酒精分化数秒,自来水冲洗,氨.水返蓝,流水冲洗。
5、封片:用纸巾吸去周边水分,甘油明胶封片。
实验结果:
脂滴呈橘红色至鲜红色;细胞核呈深蓝色。
实验技巧:
1、油红O是对脂类物质进行染色,石蜡切片在处理过程中脂类物质无法保存,所以石蜡切片不能进行油红O染色。
2、油红O染液使用一段时间后,染出的脂滴颜色会偏黄,此时就需要更换染液。
3、油红染色时,动作要轻,因为脂滴易移位,并且在封片时应避免盖玻片滑动。
样片参考:


晶莱生物病理类实验服务总览表
| 类别 | 服务项目 | 备注 | 说明 |
| 制 片 前 处 理 |
石蜡包埋 | 包埋1块 | 固定后组织按客户要求取材,脱水,包埋成蜡块(进口石蜡) |
| 特殊包埋(细胞、材料、眼球等) | 包埋1块 | 包埋要求难度较高(含特殊位置取材) | |
| 石蜡组织芯片 | 阵列点位包埋 | 客户提供供体蜡块及标本信息 | |
| 软化(肝硬化、皮肤结痂、植物等) | 1块标本软化 | 较为坚硬组织软化处理 | |
| 骨组织脱钙(小) | 1块标本脱钙 | 最大面≤2cm²骨组织脱钙 | |
| 骨组织脱钙(大) | 1块标本脱钙 | 最大面>2cm²骨组织脱钙 | |
| 骨组织EDTA脱钙(小) | 1块标本脱钙 | 最大面≤2cm²骨组织EDTA脱钙 | |
| 骨组织EDTA脱钙(大) | 1块标本脱钙 | 最大面>2cm²骨组织EDTA脱钙 | |
| 石蜡白片 | 石蜡白片1片 | 组织防脱载玻片石蜡白片 | |
| 冰冻组织制备 | 冰冻包埋及前处理 | 4%多.聚.甲.醛固定的组织或OCT包裹的新鲜组织(-80℃或液氮内保存,干冰运输) | |
| 冰冻切片 | 冰冻组织切片1片 | 同一组织连续切片3张以上免制备费 | |
| 染 色 |
HE染色 | 染色含切片 | 苏木.精-伊红染色法,观察组织形态 |
| 油红O染色 | 染色含冰冻切片 | 4%多.聚.甲.醛固定,冰冻切片。对组织内脂质(如脂滴)染色 | |
| 番红O固绿染色 | 染色含切片 | 常用于植物、软骨组织形态染色 | |
| Masson染色 | 染色含切片 | 观察组织纤维化和肌纤维的鉴别及组织纤维化程度 | |
| 天狼猩红染色 | 染色含切片 | 观察组织纤维化程度,及偏振光进行胶原亚型的分区 | |
| PAS糖原染色 | 染色含切片 | 观察肝脏、肌肉等组织内糖原的变化;肠胃肺支气管等杯状细胞酸性粘液物质变化 | |
| 阿利新蓝染色 | 染色含切片 | 常用于软骨组织或早幼粒细胞、巨核细胞染色 | |
| 甲苯.胺蓝染色 | 染色含切片 | 观察软骨组织形态或组织内肥大细胞的数量及分布 | |
| 尼氏染色 | 染色含切片 | 观察脑或脊髓等中枢神经系统内神经元尼氏体的变化 | |
| LFB髓鞘染色 | 染色含切片 | 观察神经髓鞘的形态及变化 | |
| 普鲁士蓝染色 | 染色含切片 | 常用于吞噬细胞内铁粒子的含量和定位 | |
| VG染色 | 染色含切片 | 显示组织胶原纤维及肌纤维的形态及变化 | |
| EVG染色 | 染色含切片 | 观察血管弹性纤维的形态及变化 | |
| VonKossa染色 | 染色含切片 | 观察组织内病理性钙沉积情况 | |
| 刚果红染色 | 染色含切片 | 一般用于组织淀粉样变染色 | |
| 维多利亚蓝染色 | 染色含切片 | 用于弹力纤维染色 | |
| 免疫 组化 |
免疫组化预式 | 染色含切片 | 试两个一抗浓度后拍照 |
| 免疫组化正式 | 染色含切片 | 客户提供一抗,常用二抗公司提供 | |
| 免疫组化芯片 | 染色含切片 | 免疫组化组织芯片染色 | |
| 免疫荧光(石蜡-单标) | 染色含切片和拍照 | 需实验前商定拍照倍数及视野 | |
| 免疫荧光(石蜡-双标) | 染色含切片和拍照 | 需实验前商定拍照倍数及视野 | |
| 免疫荧光(冰冻-单标) | 染色含冰冻切片和拍照 | 需实验前商定拍照倍数及视野 | |
| 免疫荧光(冰冻-双标) | 染色含冰冻切片和拍照 | 需实验前商定拍照倍数及视野 | |
| 抗体代购 | 详情请咨询工作人员 | ||
| Tunel | Tunel(POD自带试剂盒) | 染色含切片 | 细胞凋亡染色,客户需提供Tunel试剂盒 |
| Tunel(公司提供试剂盒) | 细胞凋亡染色,公司提供罗氏POD Tunel试剂盒 | ||
| 凋亡试剂盒代购 | 染色含切片 | 详情请咨询工作人员 |
晶莱病理实验室:长沙实验室;北京实验室;提前预约免费上门取样!
更多病理学实验服务内容详情请咨询晶莱生物!
晶莱生物服务流程

收费标准/服务周期/提供结果:
欢迎咨询详谈,我们会根据您的方案及需求制定详细的服务协议。
更多实验技术服务请浏览网站其他内容,或来电咨询!
做实验,找晶莱!您的科研生涯,我们一路相伴!
【平台项目开展范围】慢病毒,腺病毒,RNAi类,分子生物实验,病理实验,免疫学实验,细胞实验,动物实验,蛋白组学实验,芯片类实验,并为广大客户朋友们提供课题设计指导、基金申请指导等服务。
【北京公司】北京经济技术开发区科创十三街12号院德为科技园1号楼5层
【长沙公司】长沙市高新区麓谷大道627号新长海中心A1-1203室
【晶莱生物】已开展了数千个实验外包项目。我们专注于医学课题研究,已从课题申请、方案设计、试剂采购、模型构造、标本检测、数据分析,各个环节积累了数千个成功案例经验,为数千个来自临床的科研工作者解决了大量的科研问题。更多相关实验服务信息请咨询晶莱生物
风险提示:丁香通仅作为第三方平台,为商家信息发布提供平台空间。用户咨询产品时请注意保护个人信息及财产安全,合理判断,谨慎选购商品,商家和用户对交易行为负责。对于医疗器械类产品,请先查证核实企业经营资质和医疗器械产品注册证情况。
- 作者
- 内容
- 询问日期
文献和实验油红 O属于偶氮染料,是很强的脂溶剂和染脂剂,与甘油三酯结合呈小脂滴状。脂溶性染料能溶于组织和细胞中的脂类,它在脂类中的溶解度比在溶剂中大。当组织切片置人染液时,染料则离开染液而溶于组织内的脂质(如脂滴)中,使组织内的脂滴呈橘红色。 一、油红O染液的配制 1.油红O 1g 异丙醇 100ml 2.油红O 足量 异丙醇 100ml 配成油红O饱和溶液,使用时以油红O饱和液一份加蒸馏水两份,过滤后使用。 二、染色程序 1.切片用甲醛―钙
HE&尼式染色.pdf
切片3张以上免制备费 染色服务 类别 服务项目 备注 说明 染色 HE染色 染色 苏木精-伊红染色法,观察组织形态 冰冻HE染色 染色 苏木精-伊红染色法,观察组织形态 油红O染色 染色 4%多聚甲醛固定,冰冻切片。对组织内脂质(如脂滴)染色 番红固绿染色 染色 常用于植物、软骨
技术资料暂无技术资料 索取技术资料










