万千商家帮你免费找货
0 人在求购买到急需产品
- 详细信息
- 询价记录
- 文献和实验
- 技术资料
- 服务名称:
LFB髓鞘染色实验服务
- 提供商:
晶莱生物
- 规格:
样本
LFB髓鞘染色简介:
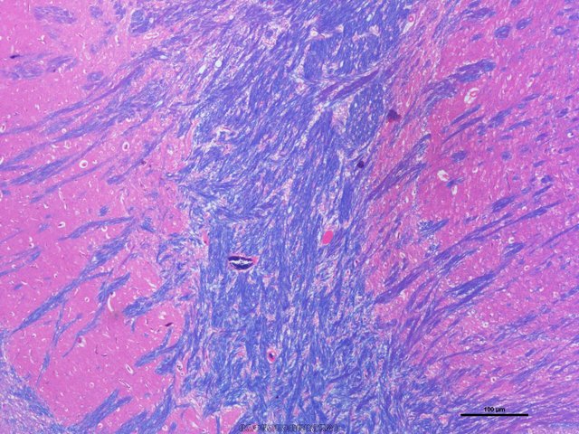
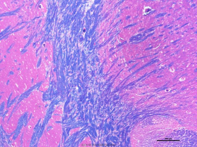
劳克坚牢蓝(LFB)属于铜-酞箐染料,在酒精溶液中具有与髓鞘磷脂结合的染色特性。应用LFB髓鞘染色可以很好地显示出神经组织的髓鞘结构。
LFB髓鞘染色实验意义:
LFB染色观察染色阳性纤维的深浅和多少,还可用来定量分析脱髓鞘病变及髓鞘再生等有关髓鞘改变情况。
实验步骤:
(1)石蜡切片脱蜡至水:依次将切片放入二甲苯Ⅰ20min-二甲苯Ⅱ20min-无水乙醇Ⅰ10min-无水乙醇Ⅱ10min-95%酒精5min-90%酒精5min-80%酒精5min-70%酒精5min-蒸馏水洗。
(2)染色:切片置于0.1% LFB染液60℃孵育过夜,自来水冲洗。
(3)分化:切片放入70%乙醇中(无固定时间);切片浸入0.05% 碳酸锂中,镜下控制分色时间至分色完全(可见灰质部分颜色变淡);如分化不好这两步交替进行几次至镜检满意,水洗。
(4)伊红复染:0.1%伊红复染1min,水洗。
(5)封片:电吹风吹干或烘箱吹干;二甲苯透明数分钟,中性树胶封片。
(6)显微镜镜检,图像采集分析。
实验结果:
经髓鞘呈蓝色;其他成分呈红色。
实验技巧:
(1)切片若为石蜡切片,要在二甲苯中先脱蜡,再至无水乙醇。
(2)0.05%碳酸锂水溶液分色应该在显微镜下进行,至背景呈灰色为止。70%酒精再次分色时,至背景无色为止。
(3) LFB染色完后,可用焦油紫溶液或苏木素-伊红复染,这样能更好地显示出细胞的形态。
(4) 复染之后要入正丁醇漂洗脱水,这样染色效果更佳。
(5) 溶液配制:劳克坚牢蓝1g,95%酒精100ml,10%冰.醋.酸0.5ml。混匀后过滤,室温保存。
LFB髓鞘染色样片参考:


晶莱生物病理类实验服务总览表
| 类别 | 服务项目 | 备注 | 说明 |
| 制 片 前 处 理 |
石蜡包埋 | 包埋1块 | 固定后组织按客户要求取材,脱水,包埋成蜡块(进口石蜡) |
| 特殊包埋(细胞、材料、眼球等) | 包埋1块 | 包埋要求难度较高(含特殊位置取材) | |
| 石蜡组织芯片 | 阵列点位包埋 | 客户提供供体蜡块及标本信息 | |
| 软化(肝硬化、皮肤结痂、植物等) | 1块标本软化 | 较为坚硬组织软化处理 | |
| 骨组织脱钙(小) | 1块标本脱钙 | 最大面≤2cm²骨组织脱钙 | |
| 骨组织脱钙(大) | 1块标本脱钙 | 最大面>2cm²骨组织脱钙 | |
| 骨组织EDTA脱钙(小) | 1块标本脱钙 | 最大面≤2cm²骨组织EDTA脱钙 | |
| 骨组织EDTA脱钙(大) | 1块标本脱钙 | 最大面>2cm²骨组织EDTA脱钙 | |
| 石蜡白片 | 石蜡白片1片 | 组织防脱载玻片石蜡白片 | |
| 冰冻组织制备 | 冰冻包埋及前处理 | 4%多.聚.甲.醛固定的组织或OCT包裹的新鲜组织(-80℃或液氮内保存,干冰运输) | |
| 冰冻切片 | 冰冻组织切片1片 | 同一组织连续切片3张以上免制备费 | |
| 染 色 |
HE染色 | 染色含切片 | 苏木.精-伊红染色法,观察组织形态 |
| 油红O染色 | 染色含冰冻切片 | 4%多.聚.甲.醛固定,冰冻切片。对组织内脂质(如脂滴)染色 | |
| 番红O固绿染色 | 染色含切片 | 常用于植物、软骨组织形态染色 | |
| Masson染色 | 染色含切片 | 观察组织纤维化和肌纤维的鉴别及组织纤维化程度 | |
| 天狼猩红染色 | 染色含切片 | 观察组织纤维化程度,及偏振光进行胶原亚型的分区 | |
| PAS糖原染色 | 染色含切片 | 观察肝脏、肌肉等组织内糖原的变化;肠胃肺支气管等杯状细胞酸性粘液物质变化 | |
| 阿利新蓝染色 | 染色含切片 | 常用于软骨组织或早幼粒细胞、巨核细胞染色 | |
| 甲苯.胺蓝染色 | 染色含切片 | 观察软骨组织形态或组织内肥大细胞的数量及分布 | |
| 尼氏染色 | 染色含切片 | 观察脑或脊髓等中枢神经系统内神经元尼氏体的变化 | |
| LFB髓鞘染色 | 染色含切片 | 观察神经髓鞘的形态及变化 | |
| 普鲁士蓝染色 | 染色含切片 | 常用于吞噬细胞内铁粒子的含量和定位 | |
| VG染色 | 染色含切片 | 显示组织胶原纤维及肌纤维的形态及变化 | |
| EVG染色 | 染色含切片 | 观察血管弹性纤维的形态及变化 | |
| VonKossa染色 | 染色含切片 | 观察组织内病理性钙沉积情况 | |
| 刚果红染色 | 染色含切片 | 一般用于组织淀粉样变染色 | |
| 维多利亚蓝染色 | 染色含切片 | 用于弹力纤维染色 | |
| 免疫 组化 |
免疫组化预式 | 染色含切片 | 试两个一抗浓度后拍照 |
| 免疫组化正式 | 染色含切片 | 客户提供一抗,常用二抗公司提供 | |
| 免疫组化芯片 | 染色含切片 | 免疫组化组织芯片染色 | |
| 免疫荧光(石蜡-单标) | 染色含切片和拍照 | 需实验前商定拍照倍数及视野 | |
| 免疫荧光(石蜡-双标) | 染色含切片和拍照 | 需实验前商定拍照倍数及视野 | |
| 免疫荧光(冰冻-单标) | 染色含冰冻切片和拍照 | 需实验前商定拍照倍数及视野 | |
| 免疫荧光(冰冻-双标) | 染色含冰冻切片和拍照 | 需实验前商定拍照倍数及视野 | |
| 抗体代购 | 详情请咨询工作人员 | ||
| Tunel | Tunel(POD自带试剂盒) | 染色含切片 | 细胞凋亡染色,客户需提供Tunel试剂盒 |
| Tunel(公司提供试剂盒) | 细胞凋亡染色,公司提供罗氏POD Tunel试剂盒 | ||
| 凋亡试剂盒代购 | 染色含切片 | 详情请咨询工作人员 |
晶莱病理实验室:长沙实验室;北京实验室;提前预约免费上门取样!
更多病理学实验服务内容详情请咨询晶莱生物!
晶莱生物服务流程
收费标准/服务周期/提供结果:
欢迎咨询详谈,我们会根据您的方案及需求制定详细的服务协议。
更多实验技术服务请浏览网站其他内容,或来电咨询!
做实验,找晶莱!您的科研生涯,我们一路相伴!
【平台项目开展范围】慢病毒,腺病毒,RNAi类,分子生物实验,病理实验,免疫学实验,细胞实验,动物实验,蛋白组学实验,芯片类实验,并为广大客户朋友们提供课题设计指导、基金申请指导等服务。
【北京公司】北京经济技术开发区科创十三街12号院德为科技园1号楼5层
【长沙公司】长沙市高新区麓谷大道627号新长海中心A1-1203室
【晶莱生物】已开展了数千个实验外包项目。我们专注于医学课题研究,已从课题申请、方案设计、试剂采购、模型构造、标本检测、数据分析,各个环节积累了数千个成功案例经验,为数千个来自临床的科研工作者解决了大量的科研问题。更多相关实验服务信息请咨询晶莱生物
风险提示:丁香通仅作为第三方平台,为商家信息发布提供平台空间。用户咨询产品时请注意保护个人信息及财产安全,合理判断,谨慎选购商品,商家和用户对交易行为负责。对于医疗器械类产品,请先查证核实企业经营资质和医疗器械产品注册证情况。
- 作者
- 内容
- 询问日期
文献和实验。 尼氏染色 染色 观察脑或脊髓等中枢神经系统内神经元尼氏体的变化 LFB髓鞘染色 染色 观察神经髓鞘的形态及变化 普鲁士蓝染色 染色 常用于吞噬细胞内铁粒子的含量和定位 VG染色 染色 显示组织胶原纤维及肌纤维的形态及变化 EVG染色 染色 观察血管弹性纤维的形态及变化 VonKossa染色 染色 观察组织内病理性钙沉积情况
脊髓约2 cm,运用冻融+化学萃取(3%脱氧胆酸钠和1 KU/ml DNaseI、RNaseA)的 组织工程 学方法处理大鼠脊髓组织,并对处理后的脊髓支架分别进行组织学检查,了解脱细胞情况及 细胞外基质 支架形态.[结果]经过脱细胞处理后,光镜下HE染色脊髓横断面呈网状结构,未见细胞成分存留,纵切面上呈互相交错的管状通路;未见 轴突 、髓鞘和细胞核.髓鞘染色可见髓鞘脱除彻底,未见髓鞘成分.[结论]本实验采用冻融+化学萃取的组织工程学方法
;Millon的米伦法显示蛋白质(1849年);Bencke(1862年)将甲苯胺蓝等苯胺染料用于组织学研究;Heidenhain发现细胞的嗜铬反应(1870年);Miescher用甲基绿显示细胞核的染色质(1873年);Weigert(1884年)和Mar―chi(1892年)提出髓鞘染色法;Daddi(1896年)首次应用苏丹Ⅲ(sudan m)进行离体脂肪染色;Klebs(1868年)和Stuve(1872年)的过氧化物酶显示法:Ehrlich(1885年)发现细胞色素氧化酶。Mann自1902
技术资料暂无技术资料 索取技术资料










