相关产品推荐更多 >
万千商家帮你免费找货
0 人在求购买到急需产品
- 详细信息
- 文献和实验
- 技术资料
- 应用范围:
产品信息以Bioss网站为准
- 规格:
50ul/100ul/200ul
| 规格: | 50ul | 产品价格: | ¥1180.0 |
|---|---|---|---|
| 规格: | 100ul | 产品价格: | ¥1980.0 |
| 规格: | 200ul | 产品价格: | ¥2800.0 |
| 产品编号 | bs-5986R |
| 英文名称 | AIM2 Rabbit pAb |
| 中文名称 | 干扰素诱导蛋白AIM2抗体 |
| 英文别名 | Absent in melanoma 2; AIM 2; Aim2; AIM2_MOUSE; Interferon-inducible protein AIM2; OTTHUMP00000035296; PYHIN4. |
| 产品应用 | WB=1:500-2000, IHC-P=1:100-500, IHC-F=1:100-500, IF=1:100-500 Not yet tested in other applications. |
| 交叉反应 | Human, Mouse (Rat) |
| 抗体来源 | Rabbit |
| 免疫原 | KLH conjugated synthetic peptide derived from mouse AIM2. |
| 亚型 | IgG |
| 性状 | Liquid |
| 纯化方法 | affinity purified by Protein A |
| 克隆类型 | Polyclonal |
| 理论分子量 | 40 kDa |
| 浓度 | 1mg/ml |
| 储存液 | 0.01M TBS (pH7.4) with 1% BSA, 0.02% Proclin300 and 50% Glycerol. |
| 研究领域 | Cancer > Oncoproteins/suppressors > Tumor suppressors Epigenetics and Nuclear Signaling > Transcription > Cancer susceptibility > Tumor Suppressors |
| 亚基 | Self-associates; forms homooligomers in response to cytosolic dsDNA and the dsDNA seems to serve as oligomerization platform. Component of the AIM2 inflammasome complex. Interacts with PYCARD. Interacts with IFI16 (By similarity). Interacts with EIF2AK2/PKR (By similarity). |
| 亚细胞定位 | Nucleus (By similarity). Cytoplasm. |
| 组织特异性 | Expressed in spleen, small intestine, peripheral blood leukocytes, and testis. |
| 相似性 | Belongs to the HIN-200 family. Contains 1 DAPIN domain. Contains 1 HIN-200 domain. |
| 功能 | Involved in innate immune response by recognizing cytosolic double-stranded DNA and inducing caspase-1-activating inflammasome formation in macrophages. Upon binding to DNA is thought to undergo oligomerization and to associate with PYCARD initiating the recruitment of caspase-1 precusrsor and processing of interleukin-1 beta and interleukin-18. Detects cytosolic dsDNA of viral and bacterial origin in a non-sequence-specific manner. Can also trigger PYCARD-dependent, caspase-1-independent cell death that involves caspase-8. |
| 保存条件 | Shipped at 4℃. Store at -20℃ for one year. Avoid repeated freeze/thaw cycles. |
| 注意事项 | This product as supplied is intended for research use only, not for use in human, therapeutic or diagnostic applications. |
| 背景资料 | AIM2 is a member of the IFI20X /IFI16 family. It plays a putative role in tumorigenic reversion and may control cell proliferation. Interferon-gamma induces expression of AIM2. |
| 应用 | 推荐稀释比例 |
| {WB} | {1:500-2000} |
| {IHC-P} | {1:100-500} |
| {IHC-F} | {1:100-500} |
| {IF} | {1:100-500} |

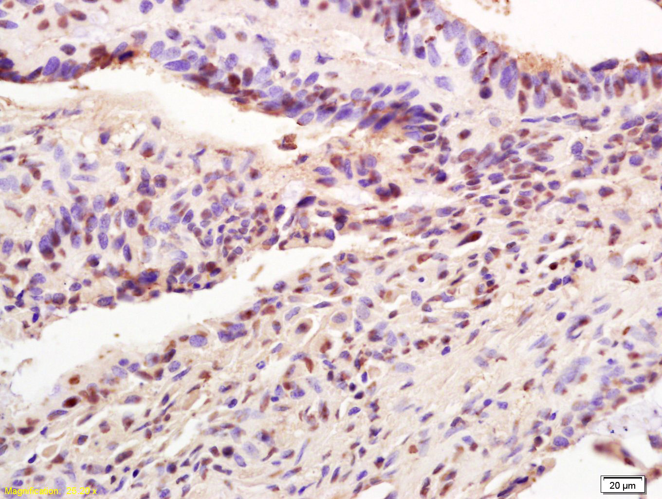
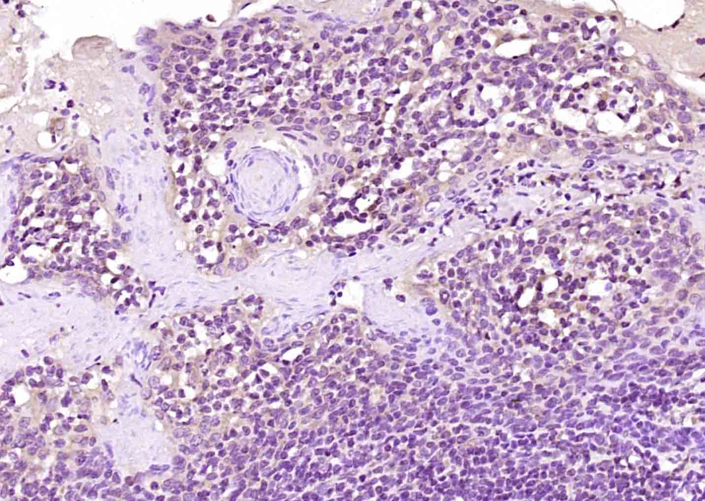
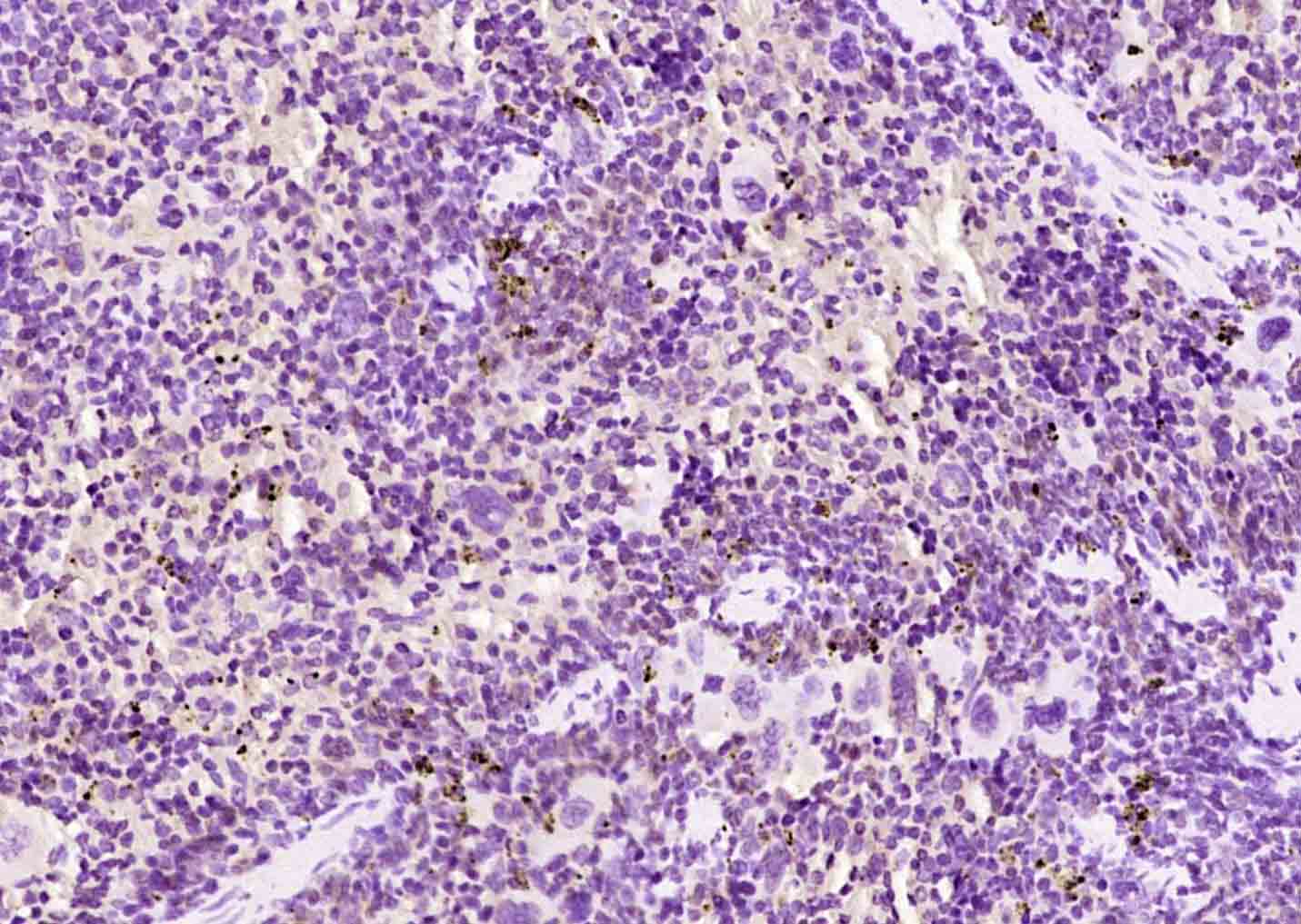
Antigen retrieval: citrate buffer ( 0.01M, pH 6.0 ), Boiling bathing for 15min; Block endogenous peroxidase by 3% Hydrogen peroxide for 30min; Blocking buffer (normal goat serum,C-0005) at 37℃ for 20 min;
Incubation: Anti-AIM2 Polyclonal Antibody, Unconjugated(bs-5986R) 1:200, overnight at 4°C, followed by conjugation to the secondary antibody(SP-0023) and DAB(C-0010) staining




Lane 1: Human MCF-7 cell lysates
Lane 2: Human A549 cell lysates
Lane 3: Human U87MG cell lysates
Lane 4: Human A431 cell lysates
Primary: Anti-AIM2 (bs-5986R) at 1/1000 dilution
Secondary: IRDye800CW Goat Anti-Rabbit IgG at 1/20000 dilution
Predicted band size: 40 kDa
Observed band size: 46 kDa
风险提示:丁香通仅作为第三方平台,为商家信息发布提供平台空间。用户咨询产品时请注意保护个人信息及财产安全,合理判断,谨慎选购商品,商家和用户对交易行为负责。对于医疗器械类产品,请先查证核实企业经营资质和医疗器械产品注册证情况。
文献和实验[IF={{ 6.8 }}] {Zhang Hongrong. et al. Multi-omics analysis deciphers intercellular communication regulating oxidative stress to promote oral squamous cell carcinoma progression. NPJ PRECIS ONCOL. 2024 Nov;8(1):1-18} {IF} {Human}
[IF={{ 6.3 }}] {Syed Afroz Ali. et al. Berberine Inhibits the Disruption of the Blood–Brain Barrier and Glial Cell Activation in a Rat Model of Acute Hepatic Encephalopathy. PHYTOTHER RES. 2025 Jan;:} {WB} {Rat}
[IF={{ 6 }}] {Pikria Ketelauri. et al. Acute Circadian Disruption Due to Constant Light Promotes Caspase 1 Activation in the Mouse Hippocampus. CELLS-BASEL. 2023 Jan;12(14):1836} {WB} {Mouse}
[IF={{ 5.959 }}] {Yuan B et al. Inhibition of AIM2 inflammasome activation alleviates GSDMD-induced pyroptosis in early brain injury after subarachnoid haemorrhage. Cell Death Dis. 2020 Jan 30;11(1):76.} {IF,ICC} {Mouse}
[IF={{ 45.5 }}] {Longyong Xu. et al. IRE1α silences dsRNA to prevent taxane-induced pyroptosis in triple-negative breast cancer. CELL. 2024 Oct 16} {IF} {Mouse}
= NAL), appears to form upon oxidative cyclization of the nonfluorescent 2:1 lysine-HNE Michael adduct-Schiff base cross-link (Scheme 1). Polyclonal antibody (PAb) to the NAL-HNE fluorophore was raised in rabbit and found to be highly specific
GE Healthcare Benzamidine Sepharose™ 6B is p-aminobenzamidine covalently attached to Sepharose 6B by the epoxy coupling method. p-Aminobenzamidine (PAB), is a synthetic inhibitor of trypsin-like serine protease. Trypsin and trypsin
Nucleic Acid Programmable Protein Arrays: Versatile Tools for Array‐Based Functional Protein Studies
.g., Sigma) 50 mg/ml bis‐sulfosuccinimdylsuberate (BS3 ;Pierce, cat. no. PI 21580) in dimethylsulfoxide (DMSO) 5 mg/ml
技术资料暂无技术资料 索取技术资料










