相关产品推荐更多 >

TEM7R Rabbit pAb, FITC conjugated(bs-6300R-FITC)-100ul
¥2980
Anti-human IL-6 / IFNb2 (Medarex patent Anti-IL-6 Biosimilar)(BIO0671SM)-1mg/5mg/20mg
¥3200
Growth hormone receptor Rabbit pAb, HRP conjugated(bs-0654R-HRP)-100ul
¥2980
ELK1 Rabbit pAb, BF405 conjugated(bs-1398R-BF405)-100ul
¥2980
phospho-IRS1 (Ser616) Rabbit pAb(bs-12710R)-50ul/100ul/200ul
¥1180
万千商家帮你免费找货
0 人在求购买到急需产品
- 详细信息
- 文献和实验
- 技术资料
- 应用范围:
产品信息以Bioss网站为准
- 规格:
50ul/100ul/200ul
| 规格: | 50ul | 产品价格: | ¥1180.0 |
|---|---|---|---|
| 规格: | 100ul | 产品价格: | ¥1980.0 |
| 规格: | 200ul | 产品价格: | ¥2800.0 |
| 产品编号 | bs-1243R |
| 英文名称 | TPM2 Rabbit pAb |
| 中文名称 | 原肌球蛋白抗体 |
| 英文别名 | AMCD1; beta tropomyosin muscle; BETA-TM; DA1; DA2B; EPITHELIAL TROPOMYOSIN; FIBROBLAST MUSCLE TYPE TROPOMYOSIN; MGC109519; NEM4; TM2; TMSB; TPM2; TROP-2; TROPOMYOSIN 2; Tropomyosin 2(beta chain); TPM2_MOUSE; TPM2_HUMAN. |
| 产品应用 | WB=1:500-2000, IHC-P=1:100-500, IHC-F=1:100-500, IF=1:100-500 Not yet tested in other applications. |
| 交叉反应 | Human, Mouse (Rat, Chicken, Dog, Cow, Rabbit) |
| 抗体来源 | Rabbit |
| 免疫原 | KLH conjugated synthetic peptide derived from human TPM2 |
| 亚型 | IgG |
| 性状 | Liquid |
| 纯化方法 | affinity purified by Protein A |
| 克隆类型 | Polyclonal |
| 理论分子量 | 33 kDa |
| 浓度 | 1mg/ml |
| 储存液 | 0.01M TBS (pH7.4) with 1% BSA, 0.02% Proclin300 and 50% Glycerol. |
| 研究领域 | Signal Transduction > Cytoskeleton / ECM > Cytoskeleton > Microfilaments > Actin etc > Tropomyosin |
| 亚基 | Heterodimer of an alpha and a beta chain. |
| 亚细胞定位 | Cytoplasm, cytoskeleton. |
| 组织特异性 | Present in primary breast cancer tissue, absent from normal breast tissue. |
| 翻译后修饰 | Phosphorylated on Ser-61 by PIK3CG. Phosphorylation on Ser-61 is required for ADRB2 internalization. |
| 相似性 | Belongs to the tropomyosin family. |
| 功能 | Binds to actin filaments in muscle and non-muscle cells. Plays a central role, in association with the troponin complex, in the calcium dependent regulation of vertebrate striated muscle contraction. Smooth muscle contraction is regulated by interaction with caldesmon. In non-muscle cells is implicated in stabilizing cytoskeleton actin filaments. The non-muscle isoform may have a role in agonist-mediated receptor internalization. |
| 保存条件 | Shipped at 4℃. Store at -20℃ for one year. Avoid repeated freeze/thaw cycles. |
| 注意事项 | This product as supplied is intended for research use only, not for use in human, therapeutic or diagnostic applications. |
| 背景资料 | Tropomyosin is a dimeric coiled coil protein that binds along the length of actin filaments. It is associated with the thin filaments of muscle cells and the microfilaments of nonmuscle cells. Chicken embryo fibroblasts (CEF) contain five isoforms of tropomyosin (a, b, 1, 2, and 3), identified as such by their different apparent molecular masses after separation by SDS-PAGE, but similar biochemical properties, such as resistance to heat and organic solvents, the ability to bind to F actin filaments, and the lack of proline and tryptophan. |
| 应用 | 推荐稀释比例 |
| {WB} | {1:500-2000} |
| {IHC-P} | {1:100-500} |
| {IHC-F} | {1:100-500} |
| {IF} | {1:100-500} |

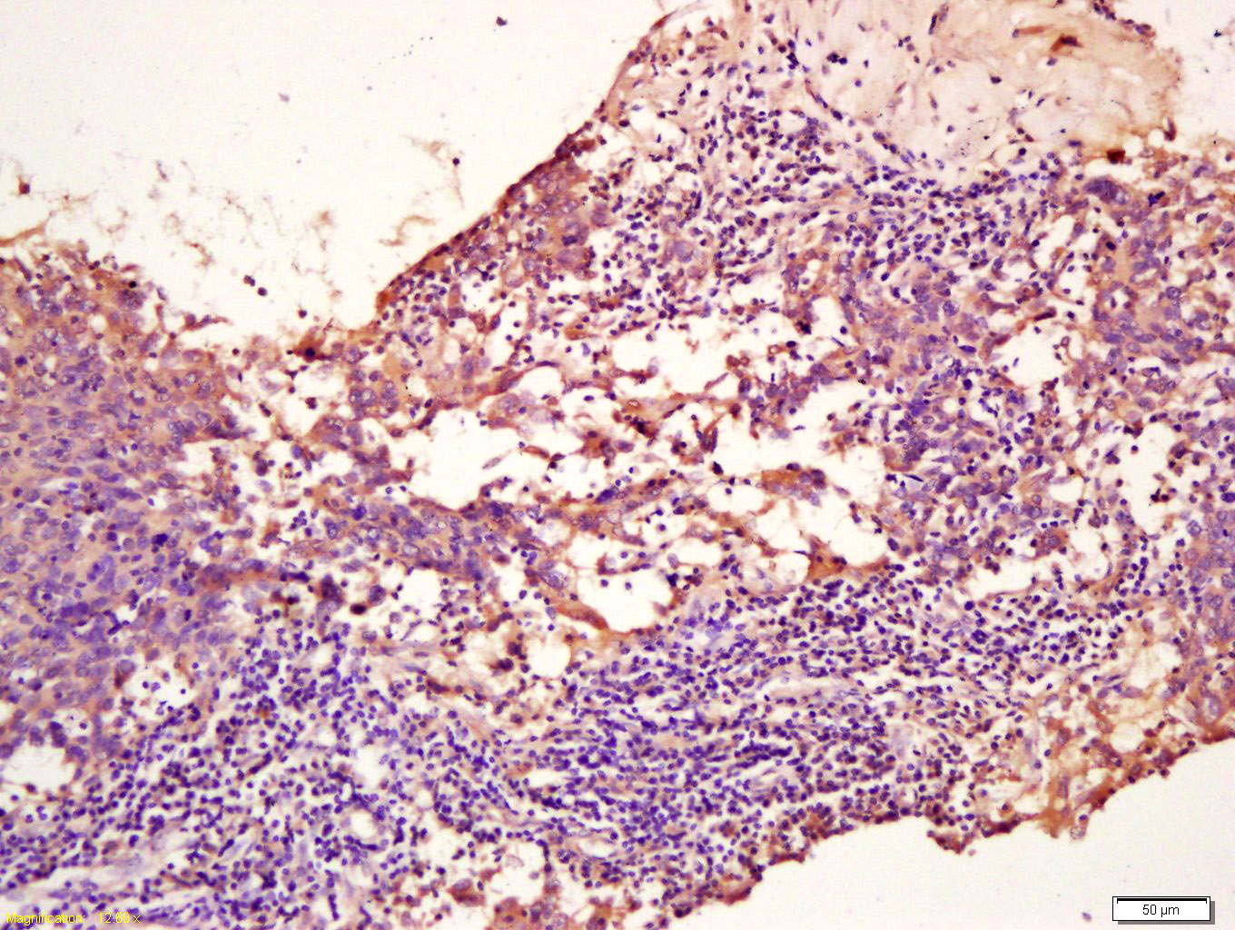
Antigen retrieval: citrate buffer ( 0.01M, pH 6.0 ), Boiling bathing for 15min; Block endogenous peroxidase by 3% Hydrogen peroxide for 30min; Blocking buffer (normal goat serum,C-0005) at 37℃ for 20 min;
Incubation: Anti-TPM2 Polyclonal Antibody, Unconjugated(bs-1243R) 1:200, overnight at 4°C, followed by conjugation to the secondary antibody(SP-0023) and DAB(C-0010) staining

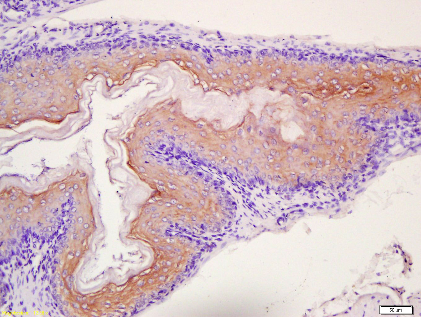
Antigen retrieval: citrate buffer ( 0.01M, pH 6.0 ), Boiling bathing for 15min; Block endogenous peroxidase by 3% Hydrogen peroxide for 30min; Blocking buffer (normal goat serum,C-0005) at 37℃ for 20 min;
Incubation: Anti-TPM2 Polyclonal Antibody, Unconjugated(bs-1243R) 1:200, overnight at 4°C, followed by conjugation to the secondary antibody(SP-0023) and DAB(C-0010) staining

Small intestine (Mouse) Lysate at 40 ug
Primary: Anti- TPM2 (bs-1243R) at 1/1000 dilution
Secondary: IRDye800CW Goat Anti-Rabbit IgG at 1/20000 dilution
Predicted band size: 33 kD
Observed band size: 35 kD

Small intestine (Mouse) Lysate at 40 ug
Primary: Anti- TPM2 (bs-1243R) at 1/1000 dilution
Secondary: IRDye800CW Goat Anti-Rabbit IgG at 1/20000 dilution
Predicted band size: 33 kD
Observed band size: 35 kD
风险提示:丁香通仅作为第三方平台,为商家信息发布提供平台空间。用户咨询产品时请注意保护个人信息及财产安全,合理判断,谨慎选购商品,商家和用户对交易行为负责。对于医疗器械类产品,请先查证核实企业经营资质和医疗器械产品注册证情况。
文献和实验[IF={{ 4.1 }}] {Seunghoon Kim. et al. Multiregional single-cell transcriptomics reveals an association between partial EMT and immunosuppressive states in oral squamous cell carcinoma. ISCIENCE. 2025 六月 23} {IF} {Human}
= NAL), appears to form upon oxidative cyclization of the nonfluorescent 2:1 lysine-HNE Michael adduct-Schiff base cross-link (Scheme 1). Polyclonal antibody (PAb) to the NAL-HNE fluorophore was raised in rabbit and found to be highly specific
Expanding Mouse Ventricular Cardiomyocytes Through GSK‐3 Inhibition
.A. , Eisenberg, S.R. , Vunjak‐Novakovic, G. , and Freed, L.E. 2003. Cultivation in rotating bioreactors promotes maintenance of cardiac myocyte electrophysiology and molecular properties. Tissue Eng. 9:1243‐1253.
GE Healthcare Benzamidine Sepharose™ 6B is p-aminobenzamidine covalently attached to Sepharose 6B by the epoxy coupling method. p-Aminobenzamidine (PAB), is a synthetic inhibitor of trypsin-like serine protease. Trypsin and trypsin
技术资料暂无技术资料 索取技术资料






