相关产品推荐更多 >
万千商家帮你免费找货
0 人在求购买到急需产品
- 详细信息
- 文献和实验
- 技术资料
- 应用范围:
产品信息以Bioss网站为准
- 规格:
50ul/100ul/200ul
| 规格: | 50ul | 产品价格: | ¥1180.0 |
|---|---|---|---|
| 规格: | 100ul | 产品价格: | ¥1980.0 |
| 规格: | 200ul | 产品价格: | ¥2800.0 |
| 产品编号 | bs-6763R |
| 英文名称 | MSR1 Rabbit pAb |
| 中文名称 | 巨噬细胞清道夫受体1抗体 |
| 英文别名 | CD204; SP-A; CD204 antigen; Macrophage acetylated LDL receptor I and II; Macrophage scavenger receptor 1; Macrophage Scavenger Receptor I; Macrophage scavenger receptor type III; Macrophage scavenger receptor types I and II; Msr 1; MSR1; MSRE_HUMAN; phSR1; phSR2; SCARA 1; SCARA1; Scavenger receptor class A member 1; Scavenger receptor type A; Scvr; SR A; SRA. |
| 产品应用 | WB=1:500-2000 Not yet tested in other applications. |
| 交叉反应 | Mouse, Rat |
| 抗体来源 | Rabbit |
| 免疫原 | KLH conjugated synthetic peptide derived from human MSR1/CD204 |
| 亚型 | IgG |
| 性状 | Liquid |
| 纯化方法 | affinity purified by Protein A |
| 克隆类型 | Polyclonal |
| 理论分子量 | 50 kDa |
| 浓度 | 1mg/ml |
| 储存液 | 0.01M TBS (pH7.4) with 1% BSA, 0.02% Proclin300 and 50% Glycerol. |
| 研究领域 | Cardiovascular > Atherosclerosis > Lipoprotein metabolism Cardiovascular > Atherosclerosis > Vascular Inflammation > Innate and adaptive immunity Immunology > Innate Immunity > Macrophage / Inflamm. Metabolism > Pathways and Processes > Metabolic signaling pathways > Lipid and lipoprotein metabolism > Lipoprotein metabolism Metabolism > Types of disease > Heart disease |
| 亚基 | Homotrimer. |
| 亚细胞定位 | Membrane; Single-pass type II membrane protein. |
| 组织特异性 | Isoform I, isoform II and isoform III are expressed in monocyte-derived macrophages. |
| 相似性 | Contains 1 collagen-like domain.
Contains 1 SRCR domain. |
| 功能 | Membrane glycoproteins implicated in the pathologic deposition of cholesterol in arterial walls during atherogenesis. Two types of receptor subunits exist. These receptors mediate the endocytosis of a diverse group of macromolecules, including modified low density lipoproteins (LDL). Isoform III does not internalize actetylated LDL. |
| 保存条件 | Shipped at 4℃. Store at -20℃ for one year. Avoid repeated freeze/thaw cycles. |
| 注意事项 | This product as supplied is intended for research use only, not for use in human, therapeutic or diagnostic applications. |
| 背景资料 | This gene encodes the class A macrophage scavenger receptors, which include three different types (1, 2, 3) generated by alternative splicing of this gene. These receptors or isoforms are macrophage-specific trimeric integral membrane glycoproteins and have been implicated in many macrophage-associated physiological and pathological processes including atherosclerosis, Alzheimer's disease, and host defense. The isoforms type 1 and type 2 are functional receptors and are able to mediate the endocytosis of modified low density lipoproteins (LDLs). The isoform type 3 does not internalize modified LDL (acetyl-LDL) despite having the domain shown to mediate this function in the types 1 and 2 isoforms. It has an altered intracellular processing and is trapped within the endoplasmic reticulum, making it unable to perform endocytosis. The isoform type 3 can inhibit the function of isoforms type 1 and type 2 when co-expressed, indicating a dominant negative effect and suggesting a mechanism for regulation of scavenger receptor activity in macrophages. [provided by RefSeq, Jul 2008] |
| 应用 | 推荐稀释比例 |
| {WB} | {1:500-2000} |

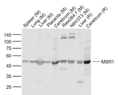
Lane 1: Spleen (Mouse) Lysate at 40 ug
Lane 2: Lung (Mouse) Lysate at 40 ug
Lane 3: Liver (Mouse) Lysate at 40 ug
Lane 4: Placenta (Mouse) Lysate at 40 ug
Lane 5: Cerebrum (Mouse) Lysate at 40 ug
Lane 6: Raw264.7 (Mouse) Cell Lysate at 30 ug
Lane 7: NIH/3T3 (Mouse) Cell Lysate at 30 ug
Lane 8: Liver (Rat) Lysate at 40 ug
Lane 9: Cerebrum (Rat) Lysate at 40 ug
Primary: Anti-MSR1 (bs-6763R) at 1/1000 dilution
Secondary: IRDye800CW Goat Anti-Rabbit IgG at 1/20000 dilution
Predicted band size: 50/39 kD
Observed band size: 50 kD
风险提示:丁香通仅作为第三方平台,为商家信息发布提供平台空间。用户咨询产品时请注意保护个人信息及财产安全,合理判断,谨慎选购商品,商家和用户对交易行为负责。对于医疗器械类产品,请先查证核实企业经营资质和医疗器械产品注册证情况。
文献和实验[IF={{ 8.097 }}] {Ye M et al. SR-A-Targeted Phase-Transition Nanoparticles for the Detection and Treatment of AtheroscleroticVulnerable Plaques. ACS Appl Mater Interfaces. 2019 Mar 13;11(10):9702-9715.} {IHC} {Mouse}
[IF={{ 7.666 }}] {Ryo Honma. et al. Immunomodulatory Macrophages Enable E-MNC Therapy for Radiation-Induced Salivary Gland Hypofunction. CELLS-BASEL. 2023 Jan;12(10):1417} {ICC} {Mouse}
[IF={{ 6.832 }}] {Yanhong Li. et al. Therapeutic potential of human umbilical cord mesenchymal stem cells on aortic atherosclerotic plaque in a high-fat diet rabbit model. Stem Cell Res Ther. 2021 Dec;12(1):1-14} {IHC} {Rabbit}
[IF={{ 6 }}] {Yanhong Li. et al. Allogeneic Adipose-Derived Mesenchymal Stem Cell Transplantation Alleviates Atherosclerotic Plaque by Inhibiting Ox-LDL Uptake, Inflammatory Reaction and Endothelial Damage in Rabbits. CELLS-BASEL. 2023 Jan;12(15):1936} {IHC} {Rabbit}
[IF={{ 5.442 }}] {Boxing Su. et al. Let-7d inhibits intratumoral macrophage M2 polarization and subsequent tumor angiogenesis by targeting IL-13 and IL-10. 2020 Nov 25} {IHC} {Human}
= NAL), appears to form upon oxidative cyclization of the nonfluorescent 2:1 lysine-HNE Michael adduct-Schiff base cross-link (Scheme 1). Polyclonal antibody (PAb) to the NAL-HNE fluorophore was raised in rabbit and found to be highly specific
GE Healthcare Benzamidine Sepharose™ 6B is p-aminobenzamidine covalently attached to Sepharose 6B by the epoxy coupling method. p-Aminobenzamidine (PAB), is a synthetic inhibitor of trypsin-like serine protease. Trypsin and trypsin
Nucleic Acid Programmable Protein Arrays: Versatile Tools for Array‐Based Functional Protein Studies
.g., Sigma) 50 mg/ml bis‐sulfosuccinimdylsuberate (BS3 ;Pierce, cat. no. PI 21580) in dimethylsulfoxide (DMSO) 5 mg/ml
技术资料暂无技术资料 索取技术资料











