相关产品推荐更多 >

Anti-human IL-13 (Dectrekumab Biosimilar)(BIO0640SM)-1mg/5mg/20mg
¥3200
LRRC17 Rabbit pAb, Biotin conjugated(bs-18368R-Bio)-100ul
¥2980
NOD26/NLRX1 Rabbit pAb(bs-8511R)-50ul/100ul/200ul
¥1180
ADAM23 Rabbit pAb(bs-5853R)-50ul/100ul/200ul
¥1180
phospho-c-Abl (Tyr89) Rabbit pAb(bs-3071R)-50ul/100ul/200ul
¥1180
万千商家帮你免费找货
0 人在求购买到急需产品
- 详细信息
- 文献和实验
- 技术资料
- 应用范围:
产品信息以Bioss网站为准
- 规格:
50ul/100ul/200ul
| 规格: | 50ul | 产品价格: | ¥1180.0 |
|---|---|---|---|
| 规格: | 100ul | 产品价格: | ¥1980.0 |
| 规格: | 200ul | 产品价格: | ¥2800.0 |
| 产品编号 | bs-1206R |
| 英文名称 | GLI1 Rabbit pAb |
| 中文名称 | 脑胶质瘤相关蛋白抗体(锌指蛋白5) |
| 英文别名 | Gli 1; Gli1; Gli-1; GLI; GLI Kruppel family member 1; Glioma associated oncogene; Glioma associated oncogene homolog 1(zinc finger protein); Oncogene GLI; Zfp 5; Zfp5; Zinc finger protein GLI 1; Zinc finger protein GLI1; GLI1_HUMAN. |
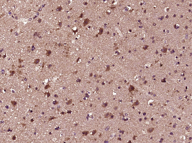
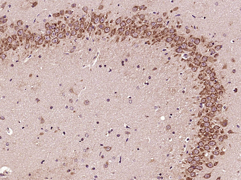
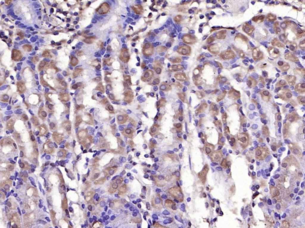
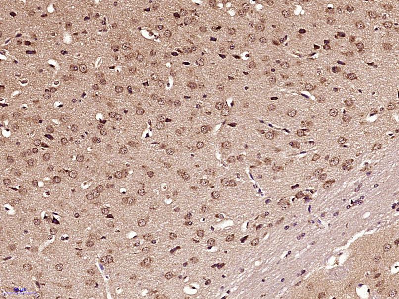
| 产品应用 | WB=1:500-2000, IHC-P=1:100-500, IHC-F=1:100-500, IF=1:100-500, Flow-Cyt=1ug/Test Not yet tested in other applications. |
| 交叉反应 | Human, Mouse, Rat (Dog, Cow, Horse, Rabbit) |
| 抗体来源 | Rabbit |
| 免疫原 | KLH conjugated synthetic peptide derived from human GLI1/Zfp5 |
| 亚型 | IgG |
| 性状 | Liquid |
| 纯化方法 | affinity purified by Protein A |
| 克隆类型 | Polyclonal |
| 理论分子量 | 118 kDa |
| 浓度 | 1mg/ml |
| 储存液 | 0.01M TBS (pH7.4) with 1% BSA, 0.02% Proclin300 and 50% Glycerol. |
| 研究领域 | Cancer > Oncoproteins/suppressors > Tumor suppressors > PTC & Wnt pathway Epigenetics and Nuclear Signaling > Transcription > Domain Families > Krueppel like factor Epigenetics and Nuclear Signaling > Transcription > Domain Families > Zinc Finger Neuroscience > Neurology process > Neural Signal Transduction Stem Cells > Signaling Pathways > Hedgehog > Nuclear |
| 亚细胞定位 | Cytoplasm. Nucleus. Tethered in the cytoplasm by binding to SUFU. Activation and translocation to the nucleus is promoted by interaction with STK36. Phosphorylation by ULK3 may promote nuclear localization. Translocation to the nucleus is promoted by interaction with ZIC1. |
| 组织特异性 | Testis, myometrium and fallopian tube. Also expressed in the brain with highest expression in the cerebellum, optic nerve and olfactory tract. |
| 功能 | Acts as a transcriptional activator. May regulate the transcription of specific genes during normal development. May play a role in craniofacial development and digital development, as well as development of the central nervous system and gastrointestinal tract. Mediates SHH signaling and thus cell proliferation and differentiation. |
| 保存条件 | Shipped at 4℃. Store at -20℃ for one year. Avoid repeated freeze/thaw cycles. |
| 注意事项 | This product as supplied is intended for research use only, not for use in human, therapeutic or diagnostic applications. |
| 背景资料 | This gene encodes a member of the Kruppel family of zinc finger proteins. The encoded transcription factor is activated by the sonic hedgehog signal transduction cascade and regulates stem cell proliferation. The activity and nuclear localization of this protein is negatively regulated by p53 in an inhibitory loop. Multiple transcript variants encoding different isoforms have been found for this gene. [provided by RefSeq, May 2009] |
| 应用 | 推荐稀释比例 |
| {WB} | {1:500-2000} |
| {IHC-P} | {1:100-500} |
| {IHC-F} | {1:100-500} |
| {IF} | {1:100-500} |
| {Flow-Cyt} | {1ug/Test} |

Primary: Anti-GLI1(bs-1206R)at 1/300 dilution
Secondary: IRDye800CW Goat Anti-RabbitIgG at 1/20000 dilution
Predicted band size: 118kD
Observed band size: 130kD


Uterus(Mouse)Lysate at 40 ug
Ovary (Mouse)Lysate at 40 ug
Primary: Anti-GLI1(bs-1206R)at 1/300 dilution
Secondary: IRDye800CW Goat Anti-RabbitIgG at 1/20000 dilution
Predicted band size: 118kD
Observed band size: 130kD


Isotype Control Antibody: Rabbit IgG(orange) ;
Secondary Antibody: Goat anti-rabbit IgG-PE(white blue), Dilution: 1:200 in 1 X PBS containing 0.5% BSA .
Primary Antibody Dilution: 1μg in 100 μL1X PBS containing 0.5% BSA(green).


Primary Antibody (green line): Rabbit Anti-GLI1 antibody (bs-1206R)
Dilution: 1ug/Test;
Secondary Antibody : Goat anti-rabbit IgG-FITC
Dilution: 0.5ug/Test.
Protocol
The cells were fixed with 4% PFA (10min at room temperature)and then permeabilized with 90% ice-cold methanol for 20 min at -20℃.The cells were then incubated in 5%BSA to block non-specific protein-protein interactions for 30 min at room temperature .Cells stained with Primary Antibody for 30 min at room temperature. The secondary antibody used for 40 min at room temperature. Acquisition of 20,000 events was performed.


风险提示:丁香通仅作为第三方平台,为商家信息发布提供平台空间。用户咨询产品时请注意保护个人信息及财产安全,合理判断,谨慎选购商品,商家和用户对交易行为负责。对于医疗器械类产品,请先查证核实企业经营资质和医疗器械产品注册证情况。
文献和实验[IF={{ 5.923 }}] {Liang Hu. et al. Transient Activation of Hedgehog Signaling Inhibits Cellular Senescence and Inflammation in Radiated Swine Salivary Glands through Preserving Resident Macrophages. Int J Mol Sci. 2021 Jan;22(24):13493} {WB} {Pig}
[IF={{ 5.682 }}] {Qi, Yan. et al. Neuroprotective Effect of Sonic Hedgehog Mediated PI3K/AKT Pathway in Amyotrophic Lateral Sclerosis Model Mice. MOL NEUROBIOL. 2022 Sep;:1-12} {WB} {Mouse}
[IF={{ 5.6 }}] {Yuka Okada. et al. Essential roles of sensory nerve in maintenance of cornea-phenotype in mice. OCUL SURF. 2025 Jul;37:80} {IHC} {Mouse}
[IF={{ 5.458 }}] {Xin Chen. et al. 4-(methylnitrosamino)-1-(3-pyridyl)-1-butanone provokes progression from chronic pancreatitis to pancreatic intraepithelial neoplasia. Iscience. 2021 Dec;:103647} {IHC} {Rat}
[IF={{ 5.2 }}] {Lanyan Hu. et al. Triptolide inhibits epithelial ovarian tumor growth by blocking the hedgehog/Gli pathway.. AGING-US. 2023 Oct;15(20):11131-11151} {IF,WB,IHC} {Mouse,Human}
= NAL), appears to form upon oxidative cyclization of the nonfluorescent 2:1 lysine-HNE Michael adduct-Schiff base cross-link (Scheme 1). Polyclonal antibody (PAb) to the NAL-HNE fluorophore was raised in rabbit and found to be highly specific
are needed to reveal the important role of the members of the Wnt signaling pathway in the RA pathogenesis and treatment. Rspo 1 promotes osteoblast differentiation via Wnt signaling pathway. 作者:Sharma AR, Choi BS, Park JM, Lee DH, Lee JE, Kim HS
GE Healthcare Benzamidine Sepharose™ 6B is p-aminobenzamidine covalently attached to Sepharose 6B by the epoxy coupling method. p-Aminobenzamidine (PAB), is a synthetic inhibitor of trypsin-like serine protease. Trypsin and trypsin
技术资料暂无技术资料 索取技术资料






