相关产品推荐更多 >

PAGE1 Rabbit pAb, Biotin conjugated(bs-6561R-Bio)-100ul
¥2980
Factor I light chain Rabbit pAb(bs-24314R)-50ul/100ul/200ul
¥1180
Creatine kinase B type Rabbit pAb, APC-Cy5.5 conjugated(bs-11989R-APC-Cy5.5)-100ul
¥2980
phospho-TBC1D4 (Ser588) Rabbit pAb, HRP conjugated(bs-4322R-HRP)-100ul
¥2980
14-3-3 Rabbit pAb, PerCP-Cy5.5 conjugated(bs-9654R-PerCP-Cy5.5)-100ul
¥2980
万千商家帮你免费找货
0 人在求购买到急需产品
- 详细信息
- 询价记录
- 文献和实验
- 技术资料
- 应用范围:
产品信息以Bioss网站为准
- 规格:
50ul/100ul/200ul
| 规格: | 50ul | 产品价格: | ¥1180.0 |
|---|---|---|---|
| 规格: | 100ul | 产品价格: | ¥1980.0 |
| 规格: | 200ul | 产品价格: | ¥2800.0 |
| 产品编号 | bs-0608R |
| 英文名称 | ICAM1 Rabbit pAb |
| 中文名称 | 细胞间粘附分子-1(CD54)抗体 |
| 英文别名 | BB2; CD54 antigen; ICAM 1; ICAM-1; Cell surface glycoprotein P3.58; Human rhinovirus receptor; Intercellular adhesion molecule 1; Major group rhinovirus receptor; MALA2; MyD10; P3.58; Surface antigen of activated B cells; ICAM1_HUMAN; MALA-2; MyD10; intercellular adhesion molecule 1 precursor; intercellular adhesion molecule 1(CD54), human rhinovirus receptor; major group rhinovirus receptor. |
| 产品应用 | IHC-P=1:100-500, IHC-F=1:100-500, IF=1:100-500, WB=1:500-2000 Not yet tested in other applications. |
| 交叉反应 | Human |
| 抗体来源 | Rabbit |
| 免疫原 | KLH conjugated synthetic peptide derived from human CD54 |
| 亚型 | IgG |
| 性状 | Liquid |
| 纯化方法 | affinity purified by Protein A |
| 克隆类型 | Polyclonal |
| 理论分子量 | 56 kDa |
| 实际分子量 | 58/100kDa |
| 浓度 | 1mg/ml |
| 储存液 | 0.01M TBS (pH7.4) with 1% BSA, 0.02% Proclin300 and 50% Glycerol. |
| 研究领域 | Cardiovascular > Angiogenesis > Endothelial Cell Markers Cardiovascular > Atherosclerosis > Vascular Inflammation > Leukocyte recruitment > Cell adhesion molecules Immunology > Adaptive Immunity > Regulatory T Cells Immunology > Cell Type Markers > CD > Adhesion Microbiology > Organism > Virus > RNA Virus > ssRNA positive strand virus > SARS Coronavirus Stem Cells > Hematopoietic Progenitors > Lymphoid > B Lymphocytic Lineage Stem Cells > Hematopoietic Progenitors > Lymphoid > T Lymphocytic Lineage |
| 亚基 | Homodimer (Probable). Interacts with human herpesvirus 8 MIR2 protein (Probable). Interacts with MUC1 and promotes cell aggregation in epithelial cells. Interacts with ARHGEF26/SGEF. Binds to coxsackievirus A21 capsid proteins and acts as a receptor for this virus. |
| 亚细胞定位 | Membrane; Single-pass type I membrane protein. |
| 翻译后修饰 | Monoubiquitinated, which is promoted by MARCH9 and leads to endocytosis. |
| 相似性 | Belongs to the immunoglobulin superfamily. ICAM family. ontains 5 Ig-like C2-type (immunoglobulin-like) domains. |
| 功能 | ICAM proteins are ligands for the leukocyte adhesion protein LFA-1 (integrin alpha-L/beta-2). During leukocyte trans-endothelial migration, ICAM1 engagement promotes the assembly of endothelial apical cups through ARHGEF26/SGEF and RHOG activation. In case of rhinovirus infection acts as a cellular receptor for the virus. |
| 保存条件 | Shipped at 4℃. Store at -20℃ for one year. Avoid repeated freeze/thaw cycles. |
| 注意事项 | This product as supplied is intended for research use only, not for use in human, therapeutic or diagnostic applications. |
| 背景资料 | This gene encodes a cell surface glycoprotein which is typically expressed on endothelial cells and cells of the immune system. It binds to integrins of type CD11a / CD18, or CD11b / CD18 and is also exploited by Rhinovirus as a receptor. [provided by RefSeq, Jul 2008]. |
| 应用 | 推荐稀释比例 |
| {IHC-P} | {1:100-500} |
| {IHC-F} | {1:100-500} |
| {IF} | {1:100-500} |
| {WB} | {1:500-2000} |








风险提示:丁香通仅作为第三方平台,为商家信息发布提供平台空间。用户咨询产品时请注意保护个人信息及财产安全,合理判断,谨慎选购商品,商家和用户对交易行为负责。对于医疗器械类产品,请先查证核实企业经营资质和医疗器械产品注册证情况。
- 作者
- 内容
- 询问日期
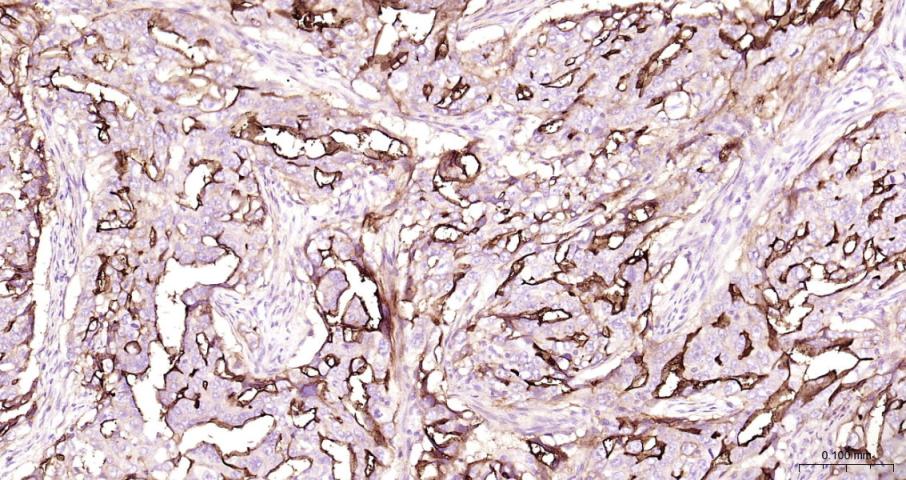
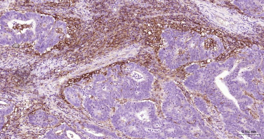
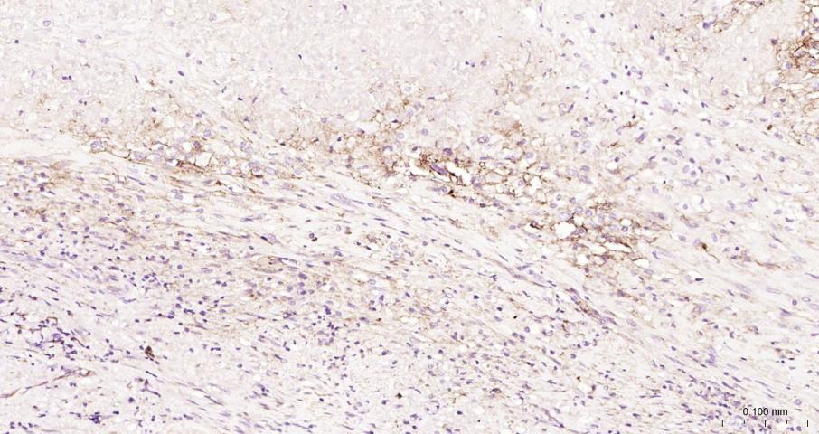
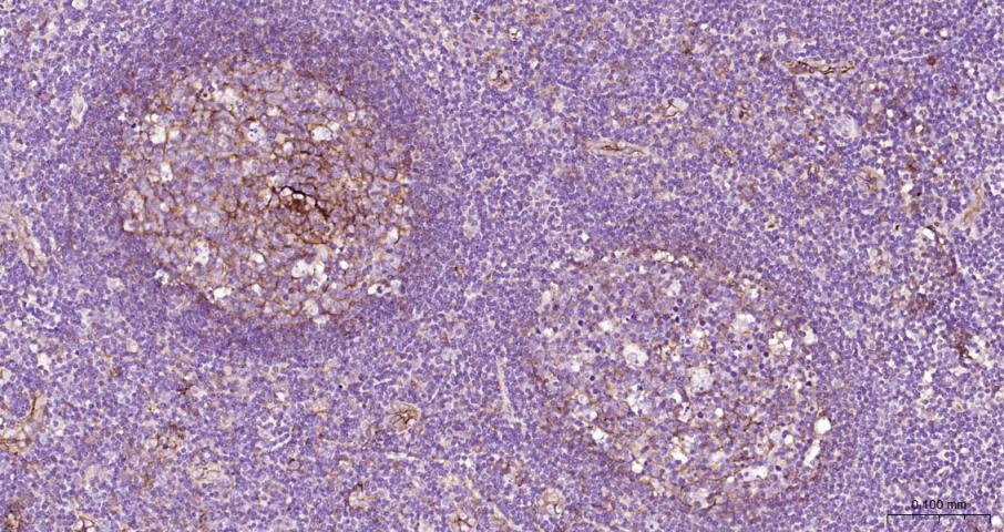
文献和实验[IF={{ 7.901 }}] {Shim W et al. Catechin solubilization by spontaneous hydrogen bonding with poly(ethylene glycol) for dry eyetherapeutics. J Control Release. 2019 May 20.} {IHC} {Mouse}
[IF={{ 7.5 }}] {Xiangke Ma. et al. Salvia miltiorrhiza and Tanshinone IIA reduce endothelial inflammation and atherosclerotic plaque formation through inhibiting COX-2. BIOMED PHARMACOTHER. 2023 Nov;167:115501} {WB} {Mouse,Human}
[IF={{ 6.7 }}] {Lijuan Shi. et al. Vascularized characteristics and functional regeneration of three-dimensional cell reconstruction of oral mucosa equivalents based on vascular homeostasis phenotypic modification. J TISSUE ENG. ;():} {WB} {Human}
[IF={{ 5.201 }}] {Qian Liet al. LOX-1 Regulates P. gingivalis-Induced Monocyte Migration and Adhesion to Human Umbilical Vein Endothelial Cells. Front Cell Dev Biol . 2020 Jul 14;8:596.} {WB} {Human}
[IF={{ 4.9 }}] {Mey-Fann Lee. et al. The Anti-Inflammatory Effect of Lactococcus lactis-Ling-Zhi 8 on Ameliorating Atherosclerosis and Nonalcoholic Fatty Liver in High-Fat Diet Rabbits. INT J MOL SCI. 2024 Jan;25(20):11278} {IHC} {Rabbit}
= NAL), appears to form upon oxidative cyclization of the nonfluorescent 2:1 lysine-HNE Michael adduct-Schiff base cross-link (Scheme 1). Polyclonal antibody (PAb) to the NAL-HNE fluorophore was raised in rabbit and found to be highly specific
GE Healthcare Benzamidine Sepharose™ 6B is p-aminobenzamidine covalently attached to Sepharose 6B by the epoxy coupling method. p-Aminobenzamidine (PAB), is a synthetic inhibitor of trypsin-like serine protease. Trypsin and trypsin
Nucleic Acid Programmable Protein Arrays: Versatile Tools for Array‐Based Functional Protein Studies
.g., Sigma) 50 mg/ml bis‐sulfosuccinimdylsuberate (BS3 ;Pierce, cat. no. PI 21580) in dimethylsulfoxide (DMSO) 5 mg/ml
技术资料暂无技术资料 索取技术资料





