万千商家帮你免费找货
0 人在求购买到急需产品
- 详细信息
- 询价记录
- 文献和实验
- 技术资料
- 服务名称:
阿利新蓝染色实验服务
- 提供商:
晶莱生物
- 规格:
样本
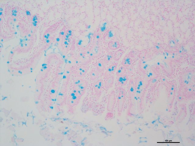
阿利新蓝染色简介:
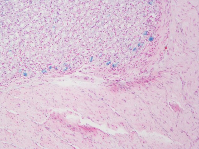
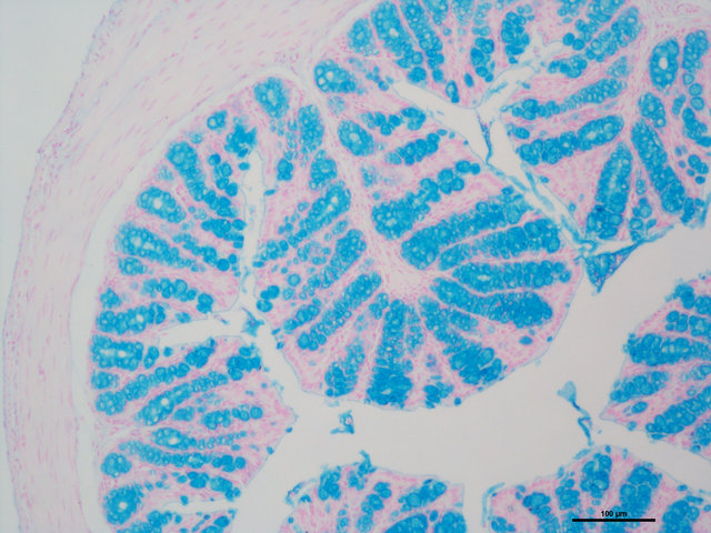
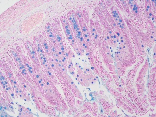
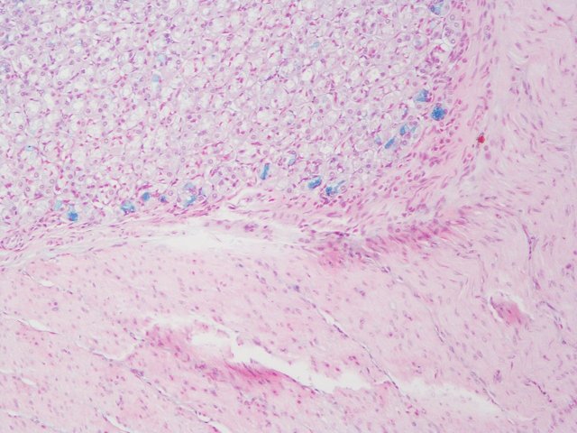
阿利新蓝(Alcian)又称爱先蓝或阿尔辛蓝等,是一种类铜钛花青共轭染料,该染料分子中带正电荷的盐键和酸性黏液物质中带负电荷的酸性基团结合呈蓝色。常用于软骨组织或早幼粒细胞、巨核细胞染色。
阿利新蓝染色实验意义:
颗粒增多的早幼粒细胞和Auer小体呈强阳性反应,有助于急性早幼粒细胞白血病的诊断。巨核细胞阳性反应对发现MDS中的小巨核细胞有一定的价值。
实验步骤:
(1)二甲苯脱蜡,通过梯度乙醇后,入蒸馏水再水化。
(2)入阿利新蓝酸化液浸泡3min。
(3)入阿利新蓝染色液染色30min。
(4)流水冲洗5min。
(5)入核固染色液复染5-10min。
(6)流水冲洗1min。
实验结果:
酸性黏蛋白(硫酸黏蛋白和唾液黏蛋白)呈蓝色;蛋白多糖和透明质酸呈蓝色;细胞核呈红色。
实验技巧:
(1)固定液采用10%中性福尔马林。
(2)若要选择性鉴别硫酸黏蛋白和蛋白多糖,应使用PH值低(PH=1)的阿利新蓝,即调PH值为1.0。染色程序和孵育时间与PH值为2.5的阿利新蓝操作相同,染色时间应相应延长。
晶莱生物服务流程
收费标准/服务周期/提供结果:
欢迎咨询详谈,我们会根据您的方案及需求制定详细的服务协议。
更多实验技术服务请浏览网站其他内容,或来电咨询!
做实验,找晶莱!您的科研生涯,我们一路相伴!
【平台项目开展范围】慢病毒,腺病毒,RNAi类,分子生物实验,病理实验,免疫学实验,细胞实验,动物实验,蛋白组学实验,芯片类实验,并为广大客户朋友们提供课题设计指导、基金申请指导等服务。
【北京公司】北京经济技术开发区科创十三街12号院德为科技园1号楼5层
【长沙公司】长沙市高新区麓谷大道627号新长海中心A1-1203室
【晶莱生物】已开展了数千个实验外包项目。我们专注于医学课题研究,已从课题申请、方案设计、试剂采购、模型构造、标本检测、数据分析,各个环节积累了数千个成功案例经验,为数千个来自临床的科研工作者解决了大量的科研问题。更多相关实验服务信息请咨询晶莱生物
风险提示:丁香通仅作为第三方平台,为商家信息发布提供平台空间。用户咨询产品时请注意保护个人信息及财产安全,合理判断,谨慎选购商品,商家和用户对交易行为负责。对于医疗器械类产品,请先查证核实企业经营资质和医疗器械产品注册证情况。
- 作者
- 内容
- 询问日期
文献和实验HE&尼式染色.pdf
组织形态染色 苏丹黑B染色 染色含切片 4%多聚甲醛固定,冰冻切片。对组织内脂质(如脂滴)染色 Masson染色 染色 观察组织纤维化和肌纤维的鉴别及组织纤维化程度 天狼猩红染色 染色 观察组织纤维化程度,及偏振光进行胶原亚型的分区 PAS糖原染色 染色 观察肝脏、肌肉等组织内糖原的变化; 肠胃肺支气管等杯状细胞酸性粘液物质变化 阿利新蓝染色 染色
一、样本准备 详见流式细胞术样本制备技术、流式实验样本制备方法及注意事项 收集细胞,200 目筛网过滤,收集滤液,300 g 离心 5 min,弃上清 向细胞中加入适量细胞染色 buffer(或含 1%BSA 的 PBS),用移液枪轻轻吹打细胞重悬 二、细胞计数 用血球计数板或其他仪器对悬液进行计数后,调整细胞浓度约为 1 × 107/mL 三、设置实验分组 四、封闭 Fc 受体 封闭 Fc 受体能减少染色过程中的非特异性染色。 小鼠中,纯化的 CD16/CD32 单抗能和 Fc
技术资料暂无技术资料 索取技术资料










